症例詳細
Case detail
部分矯正を併用した奥歯のインプラント治療
治療症例の内容
- 患者様
- 30代女性
- 矯正装置
- アンカースクリュー
- 治療期間
- 1年1ヶ月
- 治療回数
- 5-10回
- 治療計画
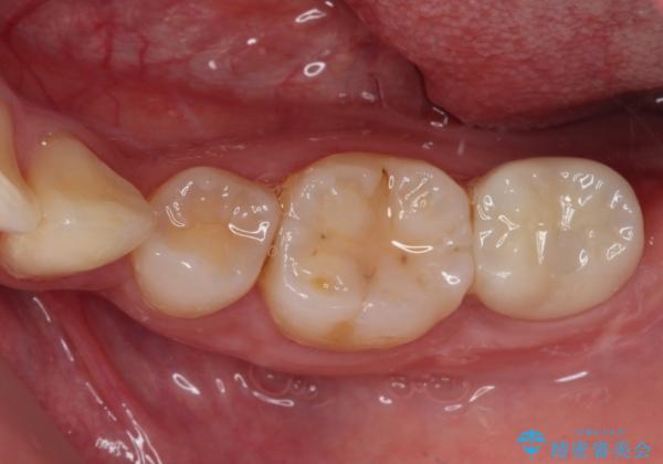
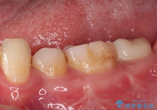
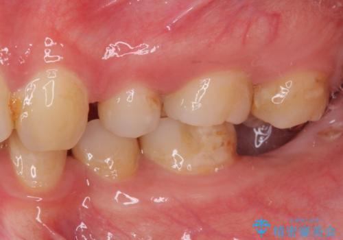
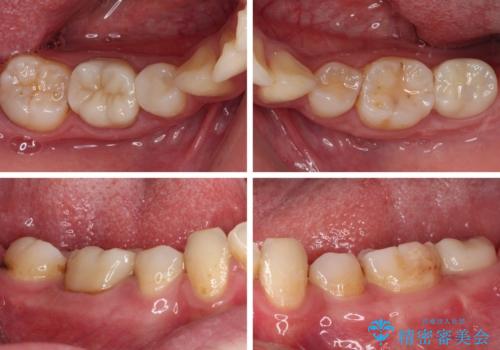
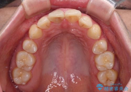
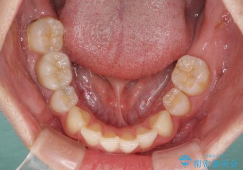
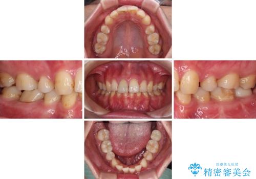
- 左下欠損部のインプラント治療と、右下の歯の痛みを気にして来院された患者様です。
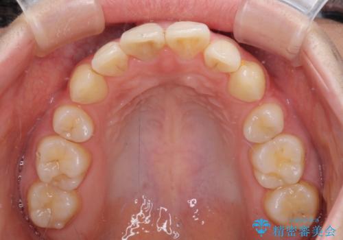
 左下の欠損部は、世界中で高い信頼を得ているストローマンインプラントを用いて治療を行うこととしました。
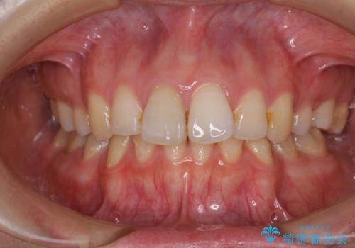
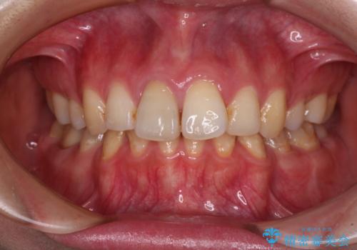
 ただし、長期間欠損を放置していたことで、咬み合う上の奥歯が動いてしまっていたので、まずは上顎奥歯の部分矯正を行い、より理想的な咬み合わせを目指すこととしました。
 右下の歯は、レントゲン上歯髄組織まで虫歯が及んでいるように見えましたが、痛みの症状は強くなかったため、歯髄組織の一部を断ち歯根部分の組織を保存する生活歯髄療法を第一選択に処置を進めて行くこととしました。
- 費用(概算)
- 治療費の目安: 60万円(税込)費用は治療当時の料金となります
治療について
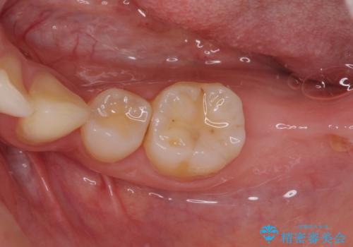
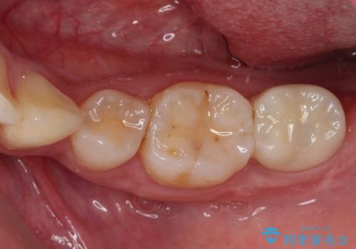
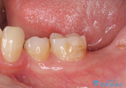
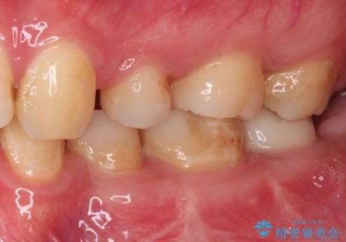
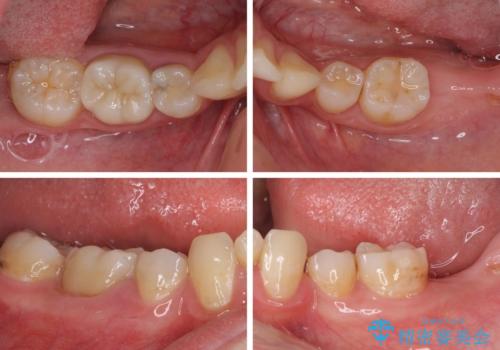
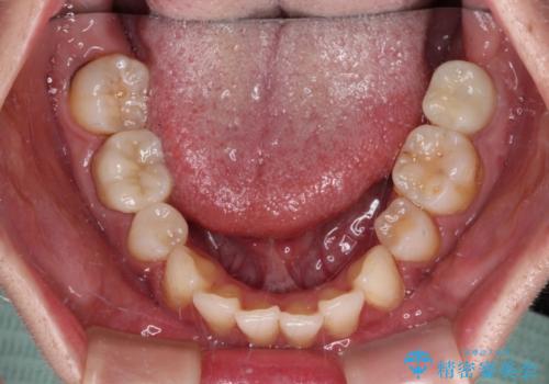
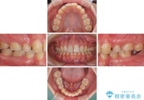
まず生活歯髄療法を行い、その後部分矯正やインプラント処置を行いましたが、最初の処置から1年以上経っても右下奥の処置歯の神経組織に異常は認められませんでした。
部分矯正を行ったことで、違和感のない咬み合わせを達成することができました。
インプラント治療の注意事項(リスク・副作用など)
- 外科手術のため、術後に痛みや腫れ、違和感を伴います
- メンテナンスを怠ったり喫煙により、お口の中に大きな悪影響を及ぼすインプラント周囲炎等にかかる可能性があります
- 糖尿病、肝硬変、心臓病等の場合、インプラント治療ができない可能性があります
- 高血圧、貧血・不整脈等の場合、インプラント治療後に治癒不全を招く可能性があります
- 自費診療(保険適用外治療)となります
セラミック治療の注意事項(リスク・副作用など)
- 天然歯を削ります
- 硬い素材は天然歯を傷つけてしまう場合があります
- かみ合わせや歯ぎしりが強すぎる方はセラミックが割れてしまう可能性があります
- 自費診療(保険適用外治療)となります
当サイトの内容、テキスト、画像等の無断転載、複製、複写、盗用を固く禁じます。








 
                       
                                                          





















 
                   
                   
                  