症例詳細
Case detail
金属の見えてしまったクラウン セラミッククラウンで自然に
治療症例の内容
- 担当医
- 藤巻太一朗(ドクタープロフィール)
- 患者様
- 30代女性
- 治療期間
- 2ヶ月
- 治療回数
- 2-5回
- 治療計画
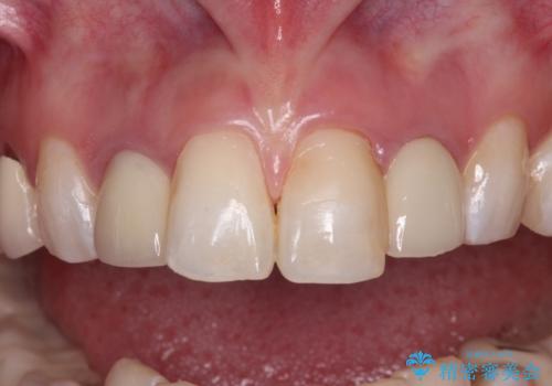
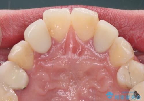
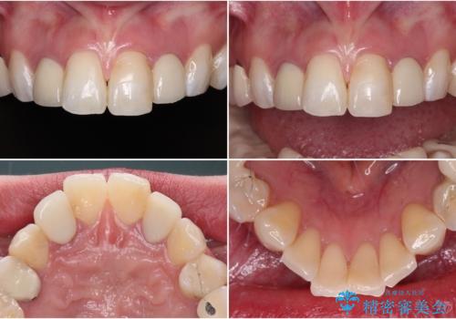
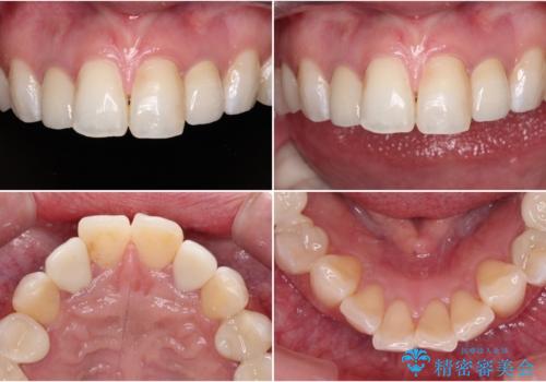
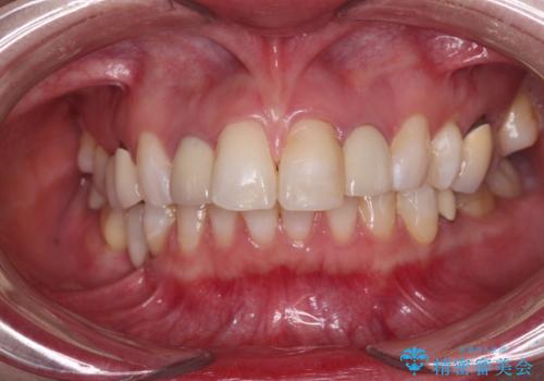
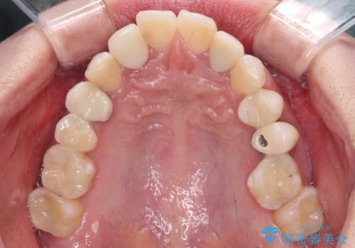
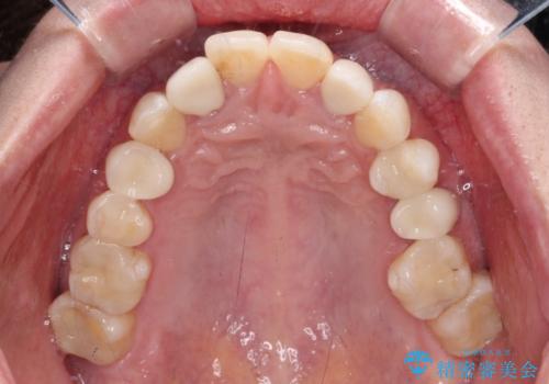
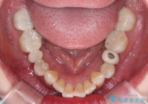
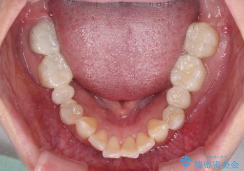
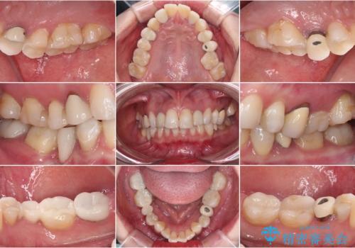
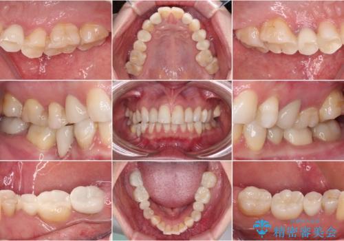
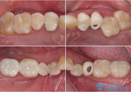
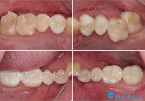
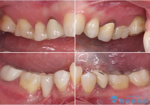
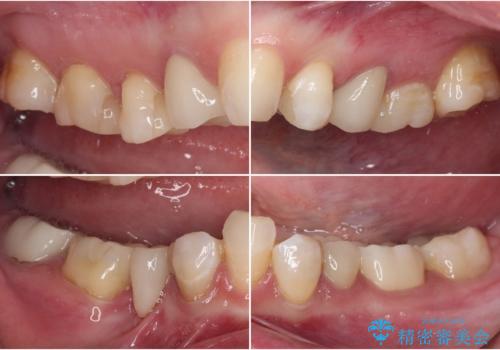
- クラウンから金属の土台が見えてきてしまったとのことで、作り替えを希望して来院された患者様です。
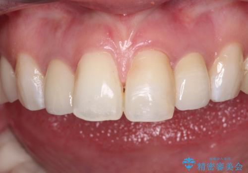
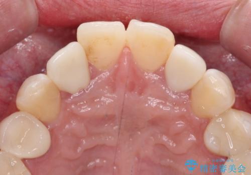
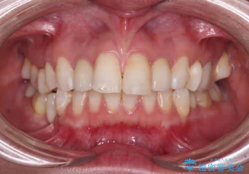
前歯や金属が露出している歯、痛みを感じる歯を中心に、オールセラミッククラウンにて補綴治療することとしました。
- 費用(概算)
- 治療費の目安: 85万円(税込)費用は治療当時の料金となります
治療について
以前はセラミッククラウンのフレームとして金属が使用されており、歯肉の経年変化やセラミックのすり減りなどにより、金属が見えるようになってくることがあります。
現在は金属の代わりに強化セラミックを使用したオールセラミッククラウンが主流です。金属色が気になる方はご相談ください。
セラミック治療の注意事項(リスク・副作用など)
- 天然歯を削ります
- 硬い素材は天然歯を傷つけてしまう場合があります
- かみ合わせや歯ぎしりが強すぎる方はセラミックが割れてしまう可能性があります
- 自費診療(保険適用外治療)となります
当サイトの内容、テキスト、画像等の無断転載、複製、複写、盗用を固く禁じます。
























