症例詳細
Case detail
【根管治療】未処置根管を有した歯の再根管治療
治療症例の内容
- 診療科目
- 担当医
- 河口智英(ドクタープロフィール)
- 患者様
- 40代女性
- 治療期間
- 2ヶ月
- 治療回数
- 2-5回
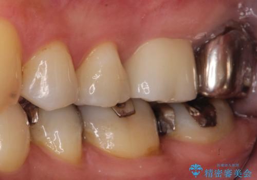
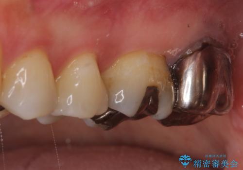
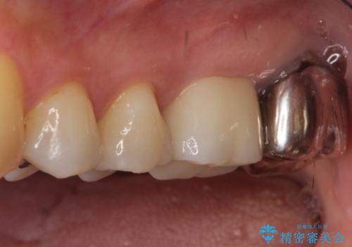
- 治療計画
- 定期検診にて虫歯を見つけたため、根管治療からオールセラミッククラウンによる修復治療を行いました。
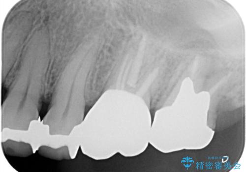
レントゲンにて透過像を認めている上顎第二大臼歯も治療予定です。
- 費用(概算)
- 28万円費用は治療当時の料金となります
治療について
上顎第一大臼歯の近心根にはほとんどの場合、神経の管が二本あることが多いです。顕微鏡を用いることで見逃すことなく治療が行えました。
根管治療の注意事項(リスク・副作用など)
- 根管治療により類似の全ての症例の問題が解決するわけではなく、症例はあくまでも一例です
- 根管治療により痛みや腫れがひかない事や、術後に痛みや腫れが生じる事、治療によるファイル破折やパーフォレーションなどの偶発症、術後の歯根破折を生じる可能性もあります
- 自費診療(保険適用外)となります
当サイトの内容、テキスト、画像等の無断転載、複製、複写、盗用を固く禁じます。












