症例詳細
Case detail
前歯をきれいにしたい
治療症例の内容
- 担当医
- 大元洋佑(ドクタープロフィール)
- 患者様
- 20代女性
- 治療期間
- 1ヶ月
- 治療回数
- 2-5回
- 治療計画
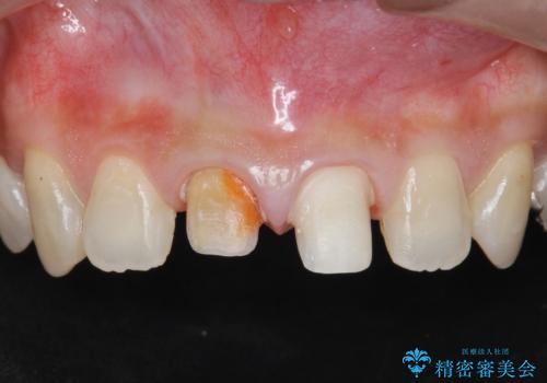
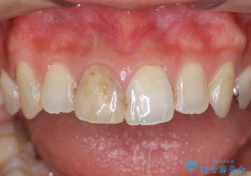
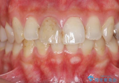
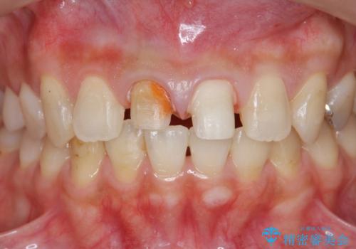
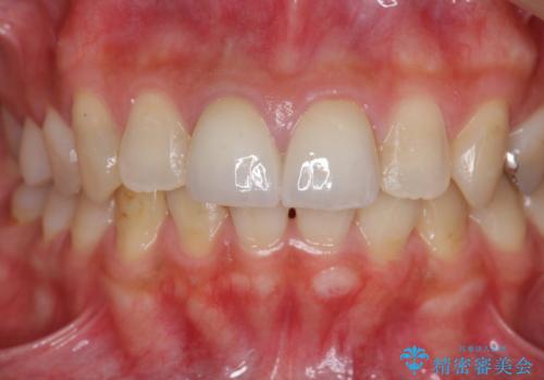
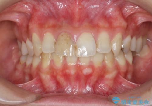
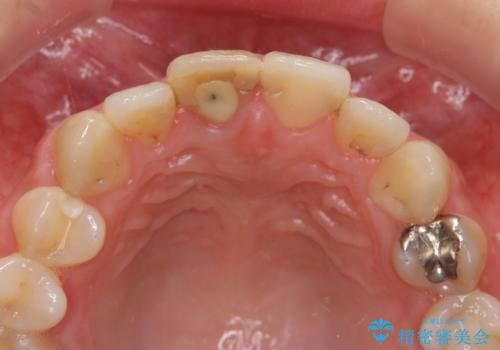
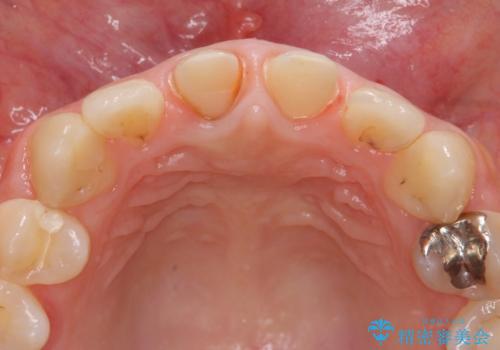
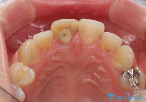
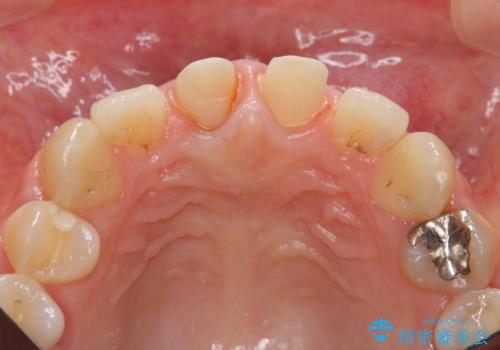
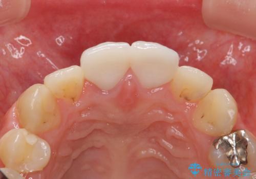
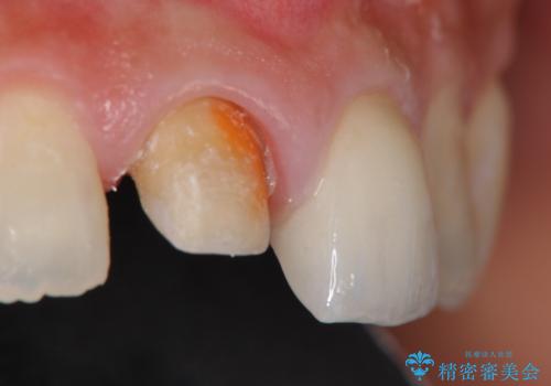
- 「 以前神経を取った歯の変色が気になる。前歯をきれいにして欲しい。」と治療を希望され来院されました。
目立つ上顎前歯に変色・大きな虫歯治療痕が見られ、審美障害を引き起こしています。
- 費用(概算)
- 26.4万円(仮歯×2・ファイバーコア・ジルコニアクラウン×2)費用は治療当時の料金となります
治療について
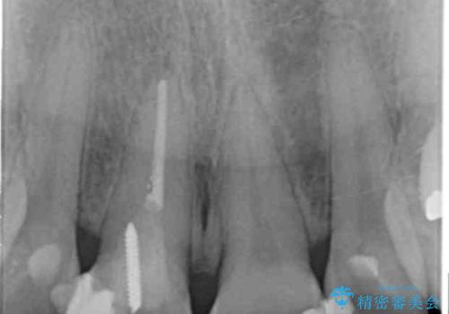
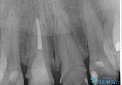
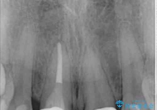
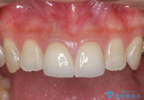
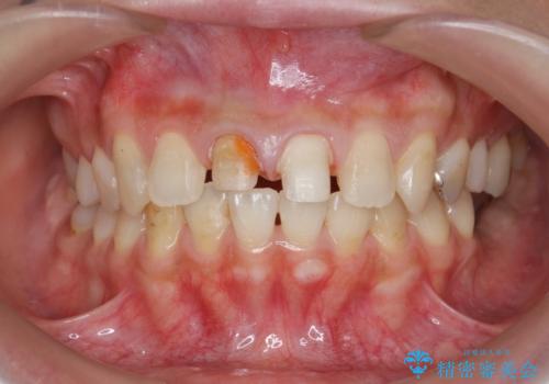
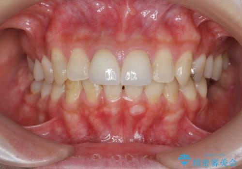
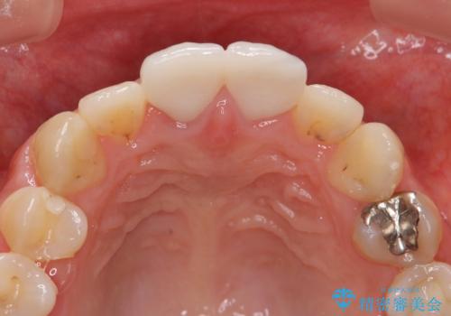
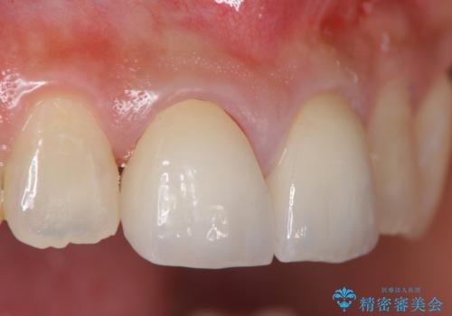
虫歯の徹底的な除去、根管治療を行いセラミック治療に入る前の環境をしっかりと整えたのち審美的なジルコニアセラミックで治療を仕上げました。
セラミック治療の注意事項(リスク・副作用など)
- 天然歯を削ります
- 硬い素材は天然歯を傷つけてしまう場合があります
- かみ合わせや歯ぎしりが強すぎる方はセラミックが割れてしまう可能性があります
- 自費診療(保険適用外治療)となります
当サイトの内容、テキスト、画像等の無断転載、複製、複写、盗用を固く禁じます。























