症例詳細
Case detail
口腔内をメタルフリーにしたい
治療症例の内容
- 担当医
- 大元洋佑(ドクタープロフィール)
- 患者様
- 40代女性
- 治療期間
- 6ヶ月
- 治療回数
- 2-5回
- 治療計画
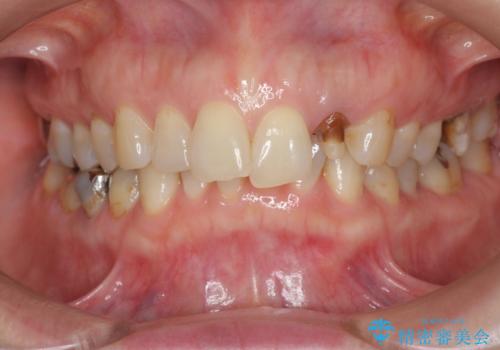
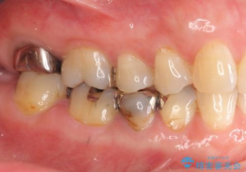
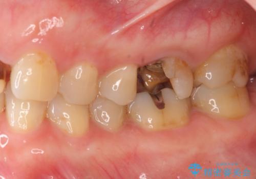
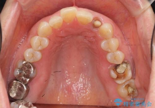
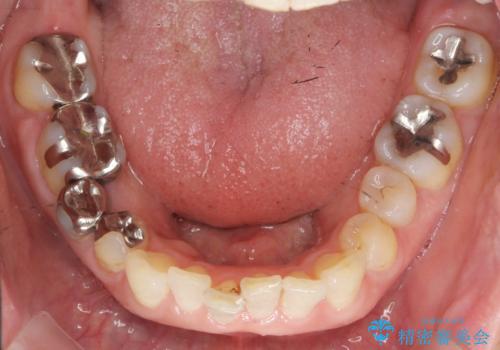
- 「 銀歯が原因で皮膚にアレルギー症状が出ている。」、と皮膚科のかかりつけ医に言われメタルフリー治療を希望され来院されました。
拡大鏡下で丁寧に銀歯の除去を行ったのち、金属を用いないセラミックインレー・クラウンによる治療を行います。
- 費用(概算)
- 110万円費用は治療当時の料金となります
治療について
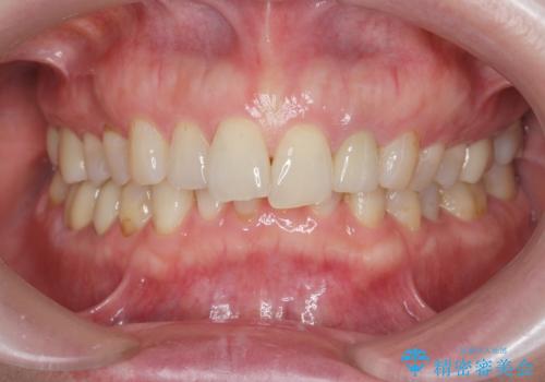
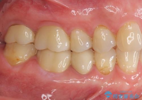
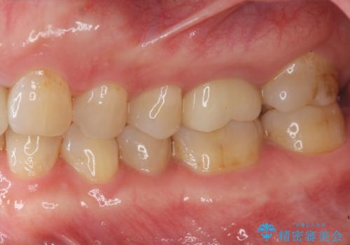
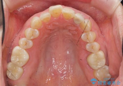
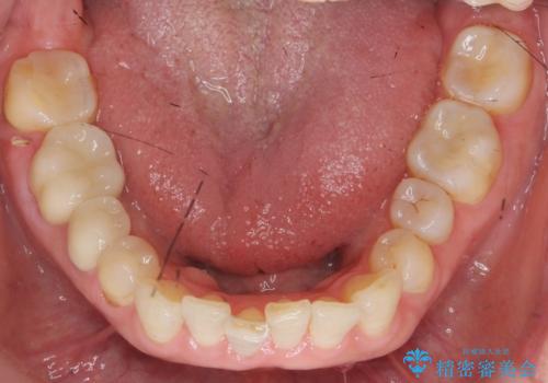
治療後、明るくなった口腔内を見て大変満足いただくことができました。
色調だけでなく、精密な治療を行うことで虫歯の再発の確率を下げることも可能になります。
セラミック治療の注意事項(リスク・副作用など)
- 天然歯を削ります
- 硬い素材は天然歯を傷つけてしまう場合があります
- かみ合わせや歯ぎしりが強すぎる方はセラミックが割れてしまう可能性があります
- 自費診療(保険適用外治療)となります
当サイトの内容、テキスト、画像等の無断転載、複製、複写、盗用を固く禁じます。












