症例詳細
Case detail
[ 成人矯正 ] 目立つ八重歯を治したい
治療症例の内容
- 診療科目
- 治療カテゴリ
- 担当医
- 大元洋佑(ドクタープロフィール)
- 患者様
- 40代男性
- 矯正装置
- 審美装置
- 治療期間
- 2年8ヶ月
- 治療回数
- 10-30回
- 治療計画
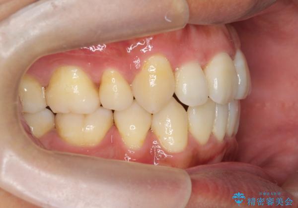
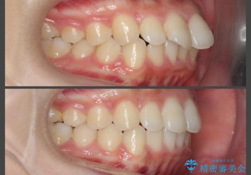
- 「 笑った時に見える八重歯を治したい。」と矯正治療を希望され来院されました。
ガタつきの強い歯並びを、小臼歯の4本抜歯を行いスペースを作ったのちワイヤー矯正で歯並びを改善して行きます。
- 費用(概算)
- 99万円費用は治療当時の料金となります
治療について
抜歯は必要であったものの、八重歯を改善し前歯の傾きもすっきりとした印象に仕上げることができました。
歯並びを気にせず笑えるようになったと、ご満足いただくことができました。
ワイヤー矯正の注意事項(リスク・副作用など)
- 治療中は違和感や痛みが起こることがあります
- 症状により、抜歯が必要な場合があります
- 治療中は歯磨きがしにくくなるため、虫歯や歯周病になりやすくなります
- 矯正治療後の保定が不十分だと後戻り(元の位置に戻ろうとする動き)をします
- 自費診療(保険適用外)となります
当サイトの内容、テキスト、画像等の無断転載、複製、複写、盗用を固く禁じます。

![[ 成人矯正 ] 目立つ八重歯を治したいの治療前](https://seimitsushinbi.jp/wp/wp-content/uploads/2022/07/b9f1c285bc01139806cadf176b9be6b5-500x350.jpg?v=1659096407)
![[ 成人矯正 ] 目立つ八重歯を治したいの治療中](https://seimitsushinbi.jp/wp/wp-content/uploads/2022/07/IMG_9999-1-500x350.jpg?v=1659096150)
![[ 成人矯正 ] 目立つ八重歯を治したいの治療後](https://seimitsushinbi.jp/wp/wp-content/uploads/2022/07/IMG_0272-500x350.jpg?v=1659095708)
![[ 成人矯正 ] 目立つ八重歯を治したいの治療前](https://seimitsushinbi.jp/wp/wp-content/uploads/2022/07/d8bd426834669dfa0b5022b1f793afde-500x350.jpg?v=1659096409)
![[ 成人矯正 ] 目立つ八重歯を治したいの治療中](https://seimitsushinbi.jp/wp/wp-content/uploads/2022/07/IMG_0001-1-500x350.jpg?v=1659096141)
![[ 成人矯正 ] 目立つ八重歯を治したいの治療後](https://seimitsushinbi.jp/wp/wp-content/uploads/2022/07/IMG_0273-500x350.jpg?v=1659095710)
![[ 成人矯正 ] 目立つ八重歯を治したいの治療前](https://seimitsushinbi.jp/wp/wp-content/uploads/2022/07/81bb51dff9ca1ac5d2d9323dd29cb134-500x350.jpg?v=1659096411)
![[ 成人矯正 ] 目立つ八重歯を治したいの治療中](https://seimitsushinbi.jp/wp/wp-content/uploads/2022/07/IMG_0002-2-500x350.jpg?v=1659096143)
![[ 成人矯正 ] 目立つ八重歯を治したいの治療後](https://seimitsushinbi.jp/wp/wp-content/uploads/2022/07/IMG_0277-500x350.jpg?v=1659095712)
![[ 成人矯正 ] 目立つ八重歯を治したいの治療前](https://seimitsushinbi.jp/wp/wp-content/uploads/2022/07/11666356f02fe196131576c04638ef51-500x350.jpg?v=1659096413)
![[ 成人矯正 ] 目立つ八重歯を治したいの治療中](https://seimitsushinbi.jp/wp/wp-content/uploads/2022/07/IMG_0003-1-500x350.jpg?v=1659096146)
![[ 成人矯正 ] 目立つ八重歯を治したいの治療後](https://seimitsushinbi.jp/wp/wp-content/uploads/2022/07/IMG_0279-500x350.jpg?v=1659095714)
![[ 成人矯正 ] 目立つ八重歯を治したいの治療前](https://seimitsushinbi.jp/wp/wp-content/uploads/2022/07/8f9a175bc50d7a712c0117e3d22100c2-500x350.jpg?v=1659096415)
![[ 成人矯正 ] 目立つ八重歯を治したいの治療中](https://seimitsushinbi.jp/wp/wp-content/uploads/2022/07/IMG_0004-500x350.jpg?v=1659096148)
![[ 成人矯正 ] 目立つ八重歯を治したいの治療後](https://seimitsushinbi.jp/wp/wp-content/uploads/2022/07/IMG_0280-500x350.jpg?v=1659095716)