症例詳細
Case detail
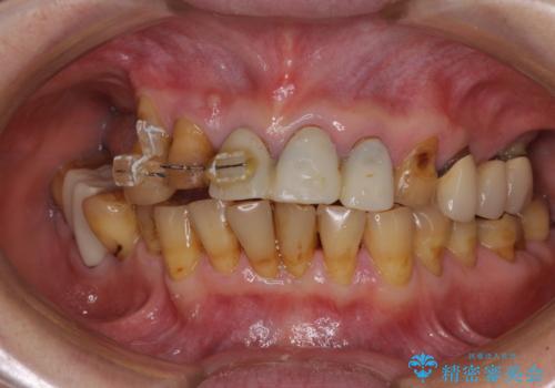
治療途中で放置してしまった前歯 オールセラミッククラウンによる補綴治療
治療症例の内容
- 患者様
- 50代女性
- 治療期間
- 1年2ヶ月
- 治療回数
- 10-30回
- 治療計画
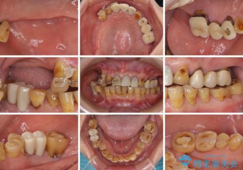
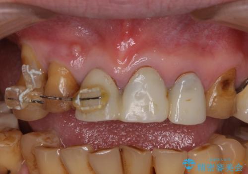
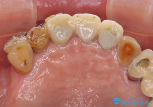
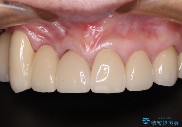
- 前歯の部分矯正や仮歯に置き換えるなど、治療途中のまま放置してしまったとのことで来院された患者様です。
骨格的に下顎骨が前方にあり、歯列の幅も下顎の方が大きいため、奥歯に負担のかかりやすい咬合でした。
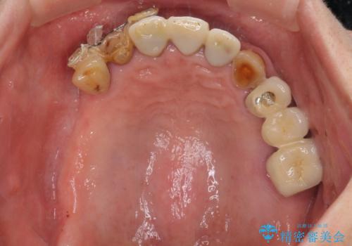
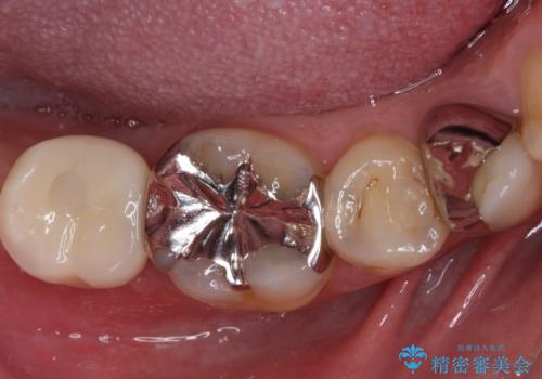
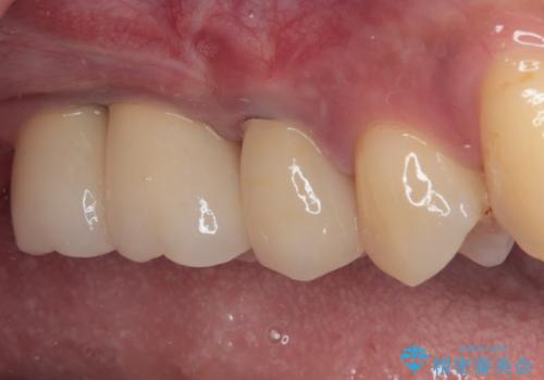
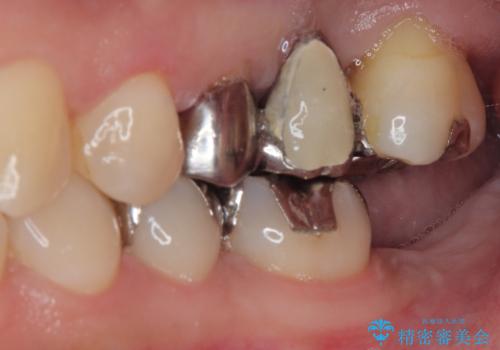
大臼歯部は、上下左右ともに咬合により問題が生じており、骨格的な問題から積極的な治療をするべきか判断の難しい状況でした。
臼歯部は痛みが生じている歯に絞って処置を行い、それ以外については手を加えず、現状維持を心がけることとしました。
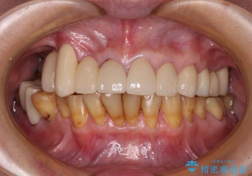
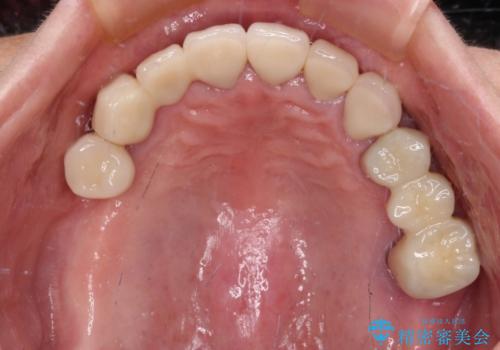
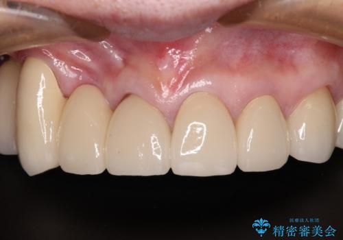
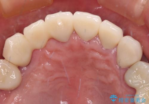
前歯部については抜歯が必要な歯を抜歯し、インプラントやブリッジなどにより補綴治療を行うこととしました。
- 費用(概算)
- 治療費の目安: 150万円(税込)費用は治療当時の料金となります
治療について
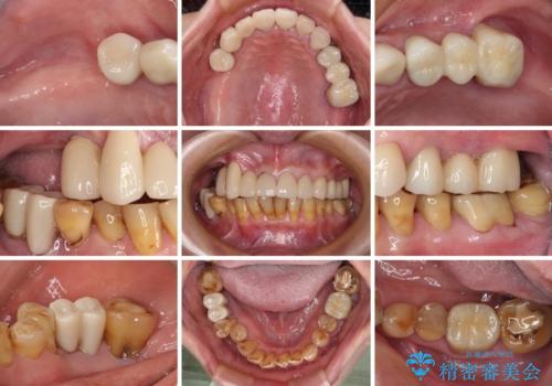
臼歯部は今後抜歯が必要となった際に、インプラントにより咬合を構築していくこととしました。今回の治療においても、今後の臼歯部の治療に対応できるよう治療計画を立案しています。
セラミック治療の注意事項(リスク・副作用など)
- 天然歯を削ります
- 硬い素材は天然歯を傷つけてしまう場合があります
- かみ合わせや歯ぎしりが強すぎる方はセラミックが割れてしまう可能性があります
- 自費診療(保険適用外治療)となります
インプラント治療の注意事項(リスク・副作用など)
- 外科手術のため、術後に痛みや腫れ、違和感を伴います
- メンテナンスを怠ったり喫煙により、お口の中に大きな悪影響を及ぼすインプラント周囲炎等にかかる可能性があります
- 糖尿病、肝硬変、心臓病等の場合、インプラント治療ができない可能性があります
- 高血圧、貧血・不整脈等の場合、インプラント治療後に治癒不全を招く可能性があります
- 自費診療(保険適用外治療)となります
当サイトの内容、テキスト、画像等の無断転載、複製、複写、盗用を固く禁じます。















