症例詳細
Case detail
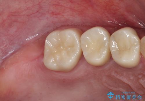
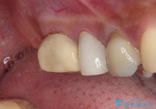
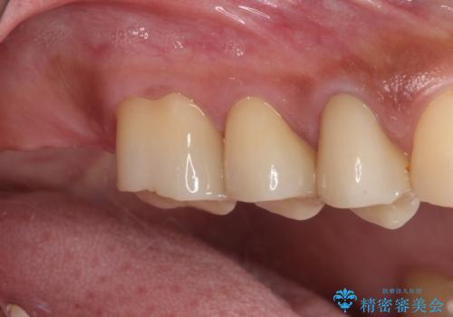
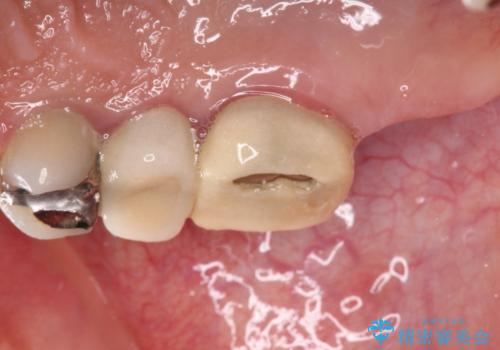
治療中放置してしまった奥歯 セラミック治療
治療症例の内容
- 診療科目
- 担当医
- 藤巻太一朗(ドクタープロフィール)
- 患者様
- 40代女性
- 治療期間
- 6ヶ月
- 治療回数
- 2-5回
- 治療計画
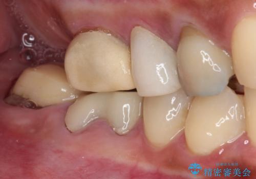
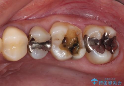
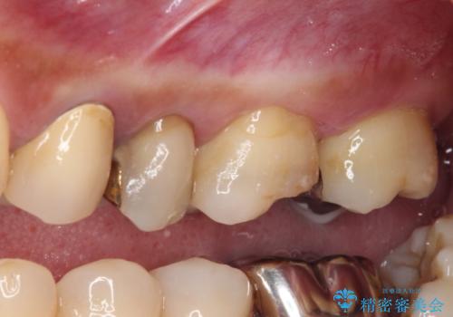
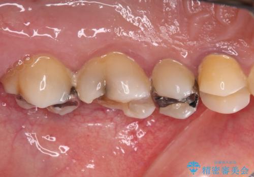
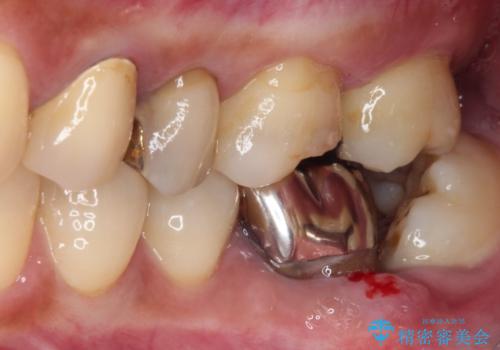
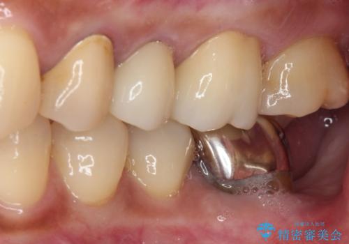
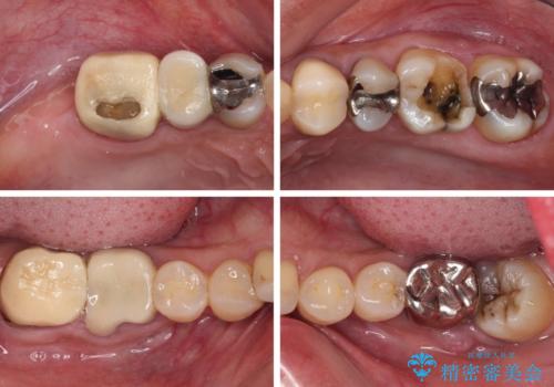
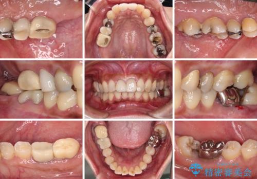
- 奥歯を治療しようと他院で開始したものの、放置してしまったとのことで来院された患者様です。
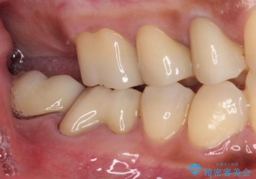
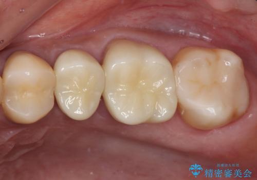
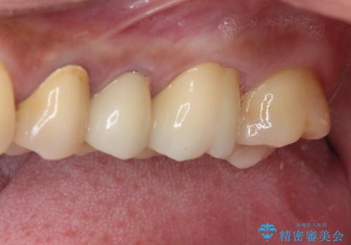
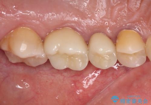
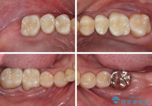
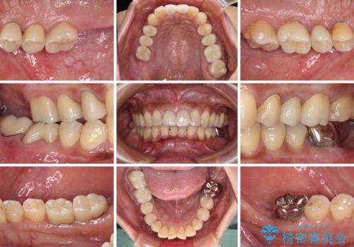
外れてしまった銀歯や穴の空いた仮歯などあり、適合の悪い被せものと合わせて、セラミッククラウンやセラミックインレーにて治療と行うこととしました。
- 費用(概算)
- 治療費の目安: 55万円(税込)費用は治療当時の料金となります
治療について
億劫に感じて治療を先延ばししていたそうですが、始めてみるとスムーズに治療が終わり、早く始めておけば良かったと仰っていました。
他にも加療の必要な歯があるので、定期健診を行いながら再開していく予定です。
セラミック治療の注意事項(リスク・副作用など)
- 天然歯を削ります
- 硬い素材は天然歯を傷つけてしまう場合があります
- かみ合わせや歯ぎしりが強すぎる方はセラミックが割れてしまう可能性があります
- 自費診療(保険適用外治療)となります
当サイトの内容、テキスト、画像等の無断転載、複製、複写、盗用を固く禁じます。
























