症例詳細
Case detail
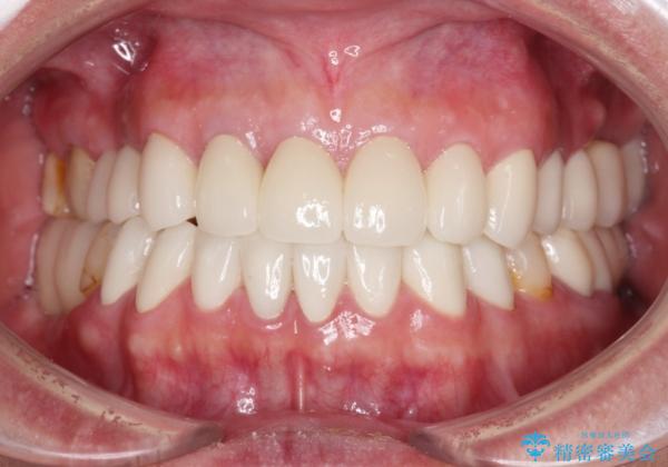
憧れの白い歯に 全顎セラミック治療
治療症例の内容
- 患者様
- 60代男性
- 治療期間
- 1年6ヶ月
- 治療回数
- 5-10回
- 治療計画
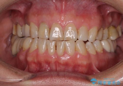
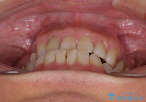
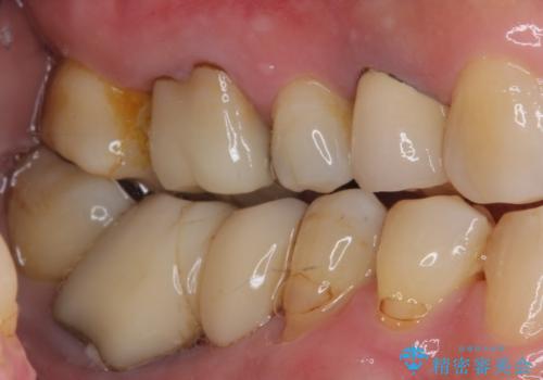
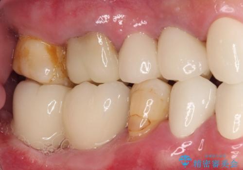
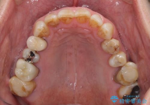
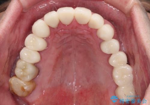
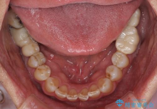
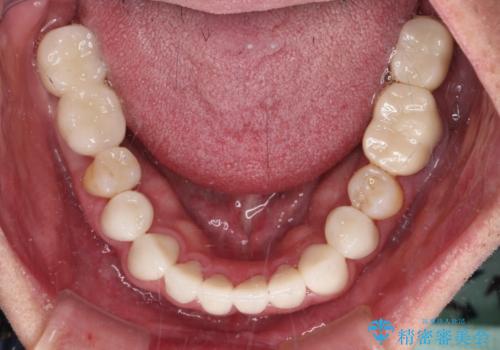
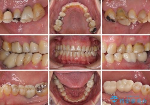
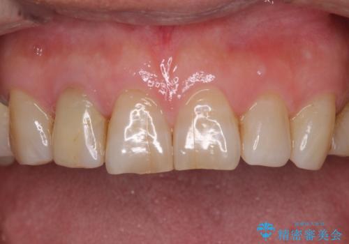
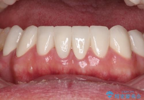
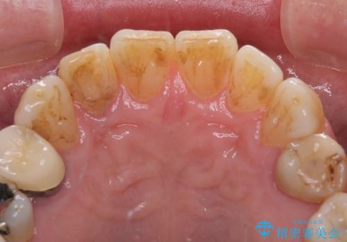
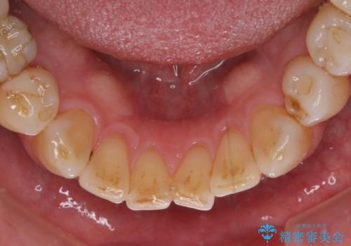
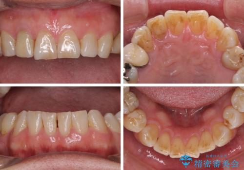
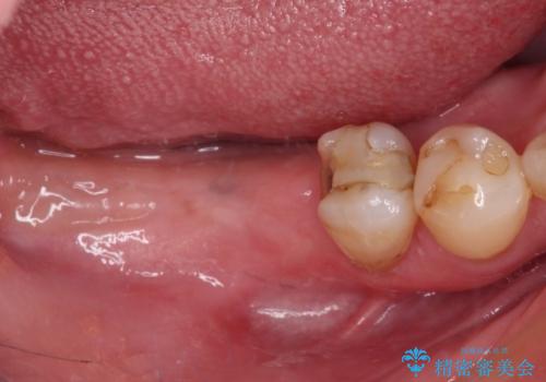
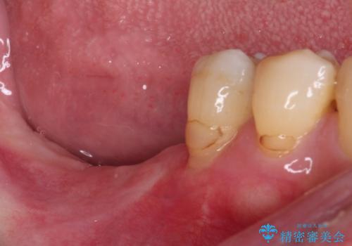
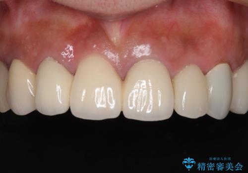
- 60歳を越え、黄ばんだ前歯をセラミッククラウンできれいな口元にしたいとのことで来院された患者様です。
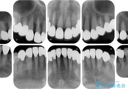
診察したところ、前歯は反対咬合であり、その影響で抜歯が必要な奥歯があることが分かりました。
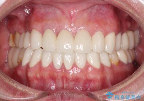
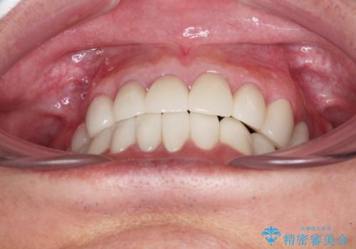
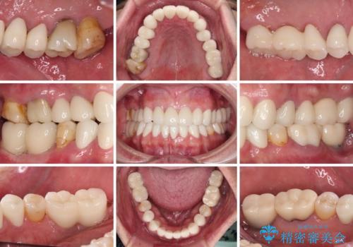
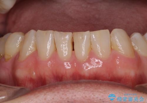
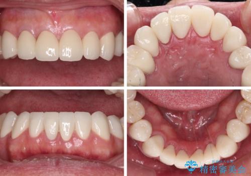
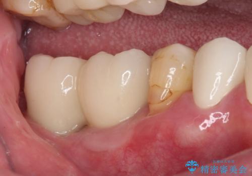
抜歯が必要な奥歯は、インプラント並びにブリッジにより補綴を行い、上下前歯は反対咬合を改善させるように補綴治療を行うこととしました。
- 費用(概算)
- 治療費の目安: 350万円(税込)費用は治療当時の料金となります
治療について
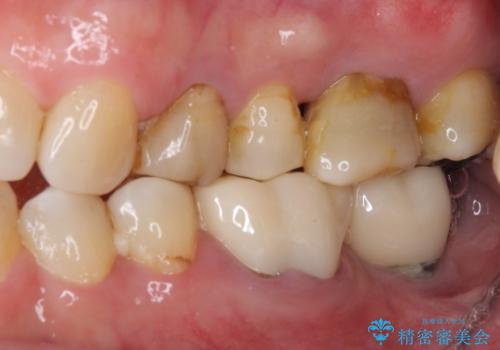
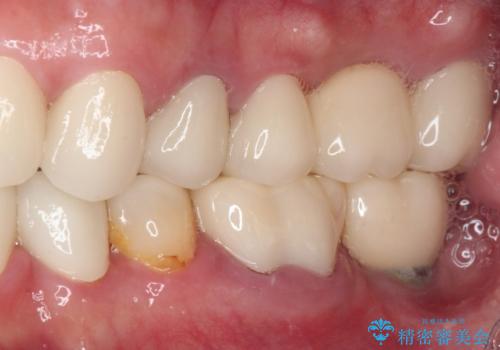
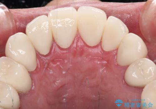
健全な歯を削ってセラミッククラウンに置き換えることは、本来避けるべき治療と考えますが、今回は①患者様が60歳を越えていること、②要改善の咬合により抜歯が必要な奥歯があること、③反対咬合の前歯改善の手段としてセラミック治療が選択肢にあることなどから、全顎的なセラミック治療を行うこととしました。
インプラント治療の注意事項(リスク・副作用など)
- 外科手術のため、術後に痛みや腫れ、違和感を伴います
- メンテナンスを怠ったり喫煙により、お口の中に大きな悪影響を及ぼすインプラント周囲炎等にかかる可能性があります
- 糖尿病、肝硬変、心臓病等の場合、インプラント治療ができない可能性があります
- 高血圧、貧血・不整脈等の場合、インプラント治療後に治癒不全を招く可能性があります
- 自費診療(保険適用外治療)となります
セラミック治療の注意事項(リスク・副作用など)
- 天然歯を削ります
- 硬い素材は天然歯を傷つけてしまう場合があります
- かみ合わせや歯ぎしりが強すぎる方はセラミックが割れてしまう可能性があります
- 自費診療(保険適用外治療)となります
外科処置の注意事項(リスク・副作用など)
- 外科手術のため、術後に出血、痛みや腫れ、違和感を伴います
- 口腔内の状態によっては適応できないことがあります
当サイトの内容、テキスト、画像等の無断転載、複製、複写、盗用を固く禁じます。









































