症例詳細
Case detail
分岐部 Ⅲ 度病変による抜歯 小矯正後のブリッジ治療
治療症例の内容
- 患者様
- 50代女性
- 治療期間
- 6ヶ月
- 治療回数
- 2-5回
- 治療計画
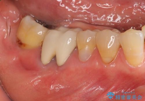
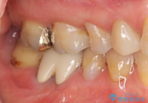
- 右下奥歯からの排膿、痛みの改善を希望され来院されました。
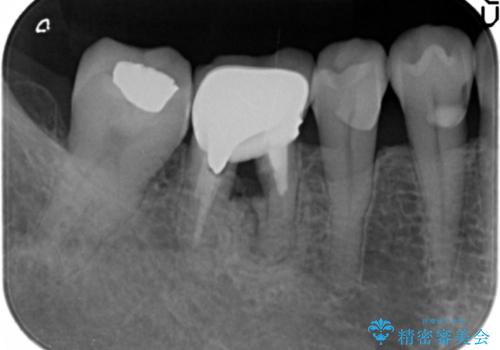
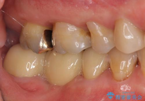
薄い歯質の歯牙に過大な負荷がかかり亀裂を生じ大臼歯分岐部に大きな骨吸収を認め、抜歯を余儀なくされる状態です。
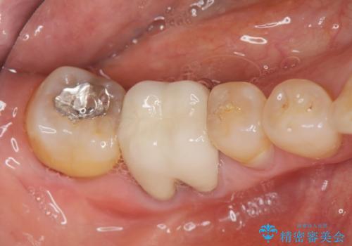
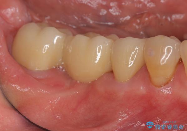
抜歯を行ったのち前後の歯に軽度の動揺があるため、インプラントではなくブリッジによる補綴処置を行い機能回復を行いますが、近心傾斜した第2大臼歯をマイクロインプラントを用いた小矯正を行うことで歯軸方向を改善し、神経を温存した状態でブリッジ製作できるよう前処置を行います。
- 費用(概算)
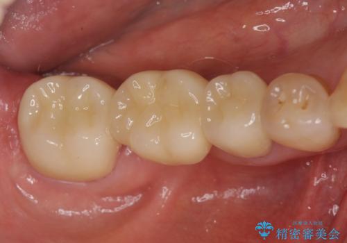
- 41.8万円(仮歯・ジルコニアクラウン×3・小矯正)費用は治療当時の料金となります
治療について
ブリッジが長く機能できるように噛み合わせの微細な調整は非常に大切ですが、支台となる歯の神経を温存できるかどうかも非常に大きな要因です。
今回の治療ではブリッジ製作に先んじて小矯正を行うことで、より予知性を高める治療をおこなうことができました。
セラミック治療の注意事項(リスク・副作用など)
- 天然歯を削ります
- 硬い素材は天然歯を傷つけてしまう場合があります
- かみ合わせや歯ぎしりが強すぎる方はセラミックが割れてしまう可能性があります
- 自費診療(保険適用外治療)となります
当サイトの内容、テキスト、画像等の無断転載、複製、複写、盗用を固く禁じます。











