症例詳細
Case detail
前歯のクロスバイトを改善 ワイヤー装置での非抜歯矯正
治療症例の内容
- 担当医
- 藤巻太一朗(ドクタープロフィール)
- 患者様
- 30代男性
- 矯正装置
- クリアブラケット
- 治療期間
- 2年5ヶ月
- 治療回数
- 10-30回
- 治療計画
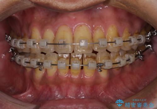
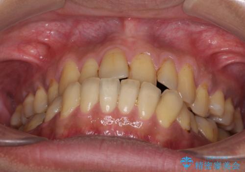
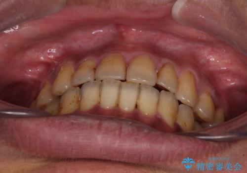
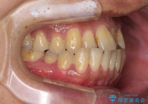
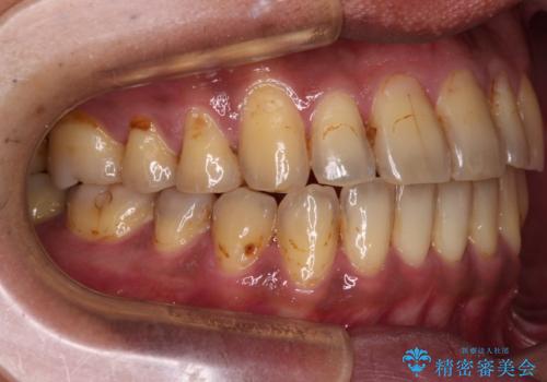
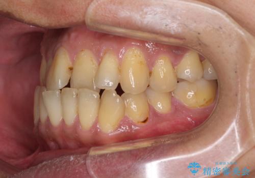
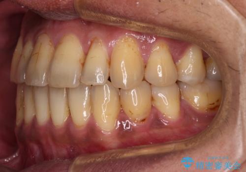
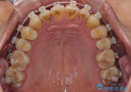
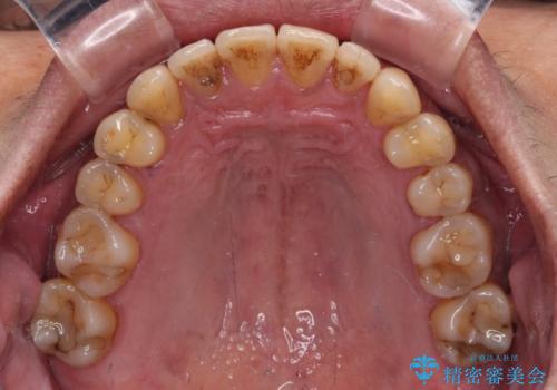
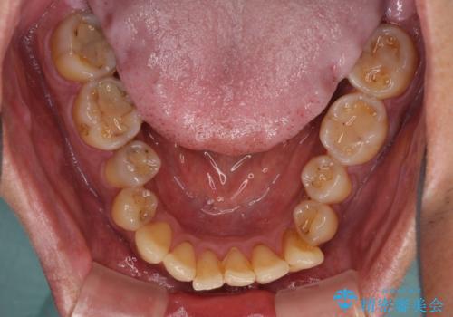
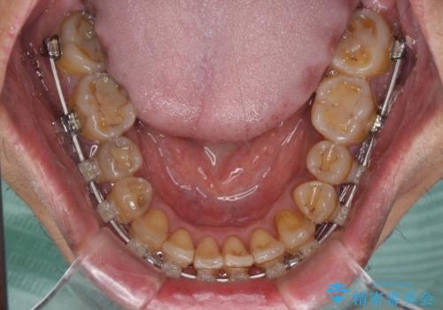
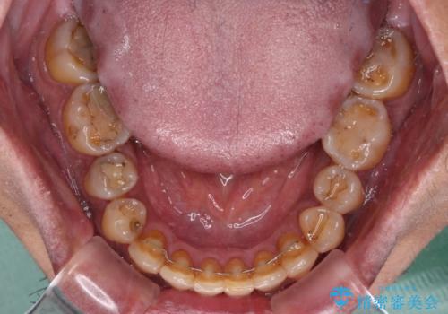
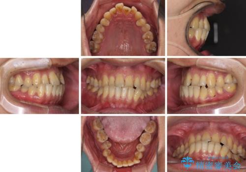
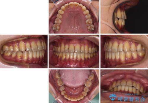
- 骨格的な咬み合わせのズレ、前歯のデコボコとクロスバイトを気にして来院された患者様です。
骨格のズレが顕著であると診断され、マウスピース矯正では奥歯の咬み合わせが整えにくいと判断し、ワイヤー装置による矯正治療を行うこととしました。
- 費用(概算)
- 治療費の目安: 90万円(税込)費用は治療当時の料金となります
治療について
上下の叢生は速やかに改善できましたが、右側のクロスバイトの改善に1年以上の期間を要しました。
ワイヤー矯正の注意事項(リスク・副作用など)
- 治療中は違和感や痛みが起こることがあります
- 症状により、抜歯が必要な場合があります
- 治療中は歯磨きがしにくくなるため、虫歯や歯周病になりやすくなります
- 矯正治療後の保定が不十分だと後戻り(元の位置に戻ろうとする動き)をします
- 自費診療(保険適用外)となります
当サイトの内容、テキスト、画像等の無断転載、複製、複写、盗用を固く禁じます。


























