症例詳細
Case detail
【モニター】前歯の歯列不正をワイヤー装置で短期間矯正治療
治療症例の内容
- 患者様
- 20代女性
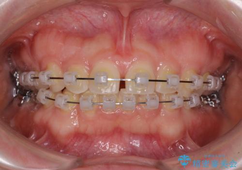
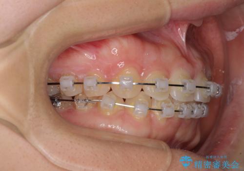
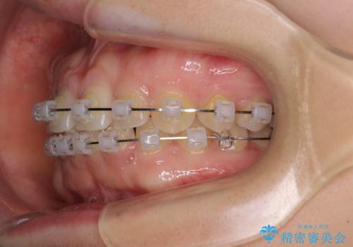
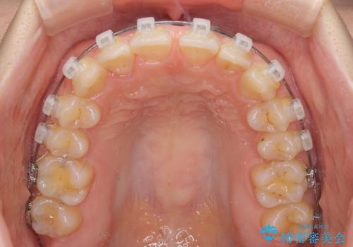
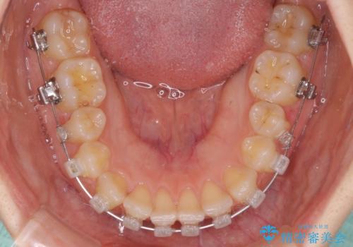
- 矯正装置
- クリアブラケット
- 治療期間
- 1年6ヶ月
- 治療計画
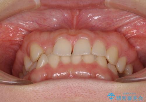
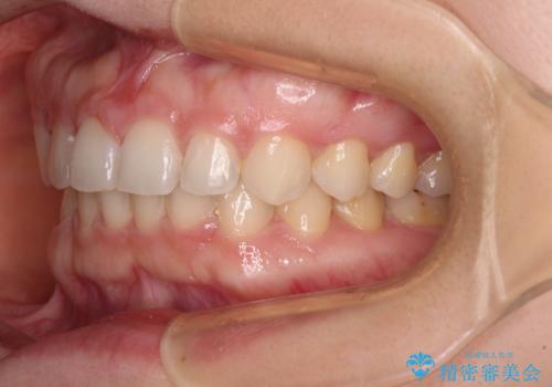
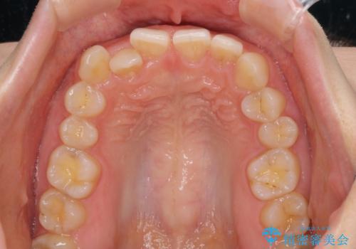
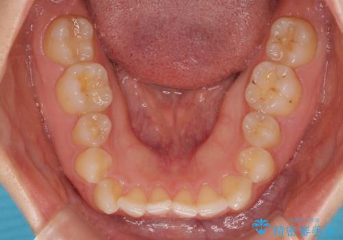
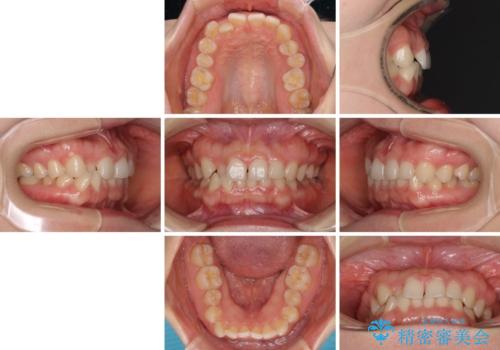
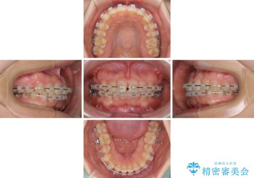
- 前歯の隙間やクロスバイトを気にして来院された患者様です。
結婚式の予定があり、可能であれば結婚式までに治療を終えたいとのことで、短期間で治療をおける可能性の高いワイヤー装置にて矯正治療を行うこととしました。
- 費用(概算)
- 治療費の目安: 80万円(税込)費用は治療当時の料金となります
※顔写真掲載にあたり、患者様の了解を得ております
治療について
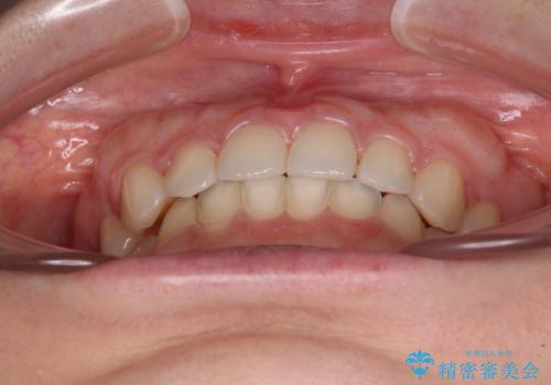
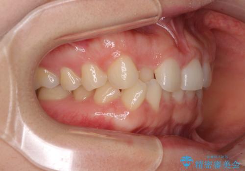
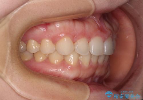
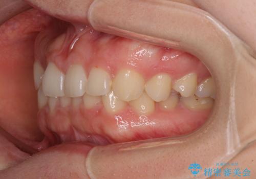
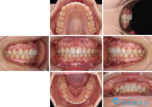
ギリギリとなりましたが、結婚式直前にワイヤー装置を外すことができました。
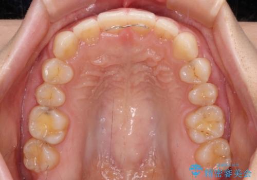
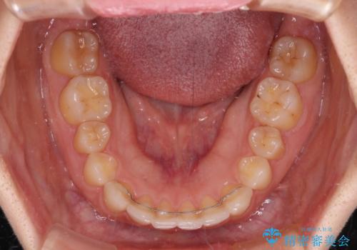
ワイヤー装置除去後に細かい部分を短期間のマウスピース矯正にて仕上げました。
ワイヤー矯正の注意事項(リスク・副作用など)
- 治療中は違和感や痛みが起こることがあります
- 症状により、抜歯が必要な場合があります
- 治療中は歯磨きがしにくくなるため、虫歯や歯周病になりやすくなります
- 矯正治療後の保定が不十分だと後戻り(元の位置に戻ろうとする動き)をします
- 自費診療(保険適用外)となります
当サイトの内容、テキスト、画像等の無断転載、複製、複写、盗用を固く禁じます。


























