症例詳細
Case detail
不自然な前歯 歯肉移植を用いた前歯のオールセラミックブリッジ
治療症例の内容
- 担当医
- 藤巻太一朗(ドクタープロフィール)
- 患者様
- 40代男性
- 治療期間
- 6ヶ月
- 治療回数
- 2-5回
- 治療計画
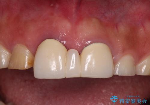
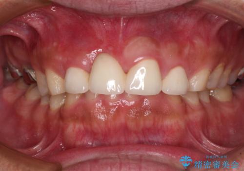
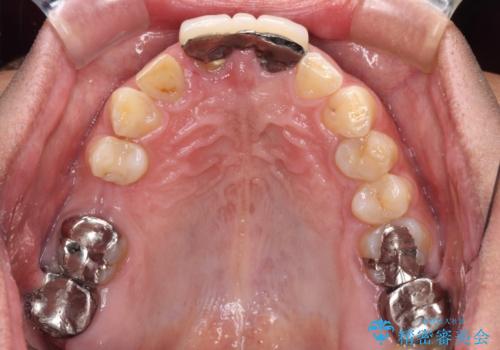
- 前歯の違和感と不自然な形態のブリッジを気にして来院された患者様です。
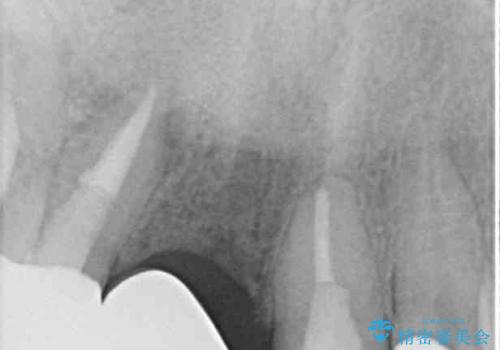
検査したところ、右前歯は抜歯が必要であったので、ブリッジを新製することとしました。
抜歯をすると歯肉が窪んでしまうので、傷口の治りを待って、歯肉移植を行うこととしました。
1歯は根管治療を行うことが必要と判断されたため、根管治療を実施することとしました。
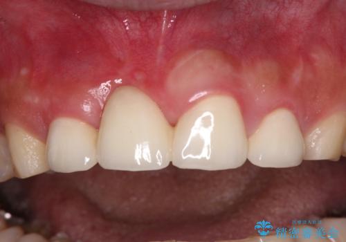
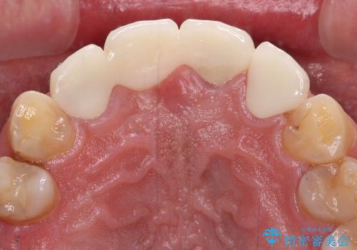
歯肉移植や根管治療終了後、オールセラミッククラウンおよびブリッジにて補綴することとしました。
- 費用(概算)
- 治療費の目安: 60万円(税込)費用は治療当時の料金となります
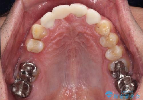
治療について
歯の幅径のバランスが取れ、自然な口元となりました。
セラミック治療の注意事項(リスク・副作用など)
- 天然歯を削ります
- 硬い素材は天然歯を傷つけてしまう場合があります
- かみ合わせや歯ぎしりが強すぎる方はセラミックが割れてしまう可能性があります
- 自費診療(保険適用外治療)となります
外科処置の注意事項(リスク・副作用など)
- 外科手術のため、術後に出血、痛みや腫れ、違和感を伴います
- 口腔内の状態によっては適応できないことがあります
当サイトの内容、テキスト、画像等の無断転載、複製、複写、盗用を固く禁じます。















