症例詳細
Case detail
むし歯になりやすい奥歯 補助装置で一気に解決
治療症例の内容
- 診療科目
- 担当医
- 藤巻太一朗(ドクタープロフィール)
- 患者様
- 30代女性
- 矯正装置
- 審美装置
- 治療期間
- 1年2ヶ月
- 治療回数
- 10-30回
- 治療計画
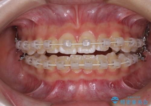
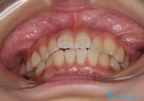
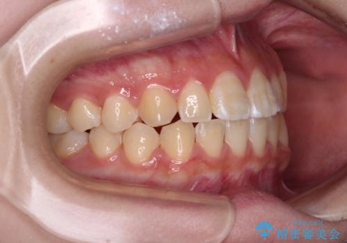
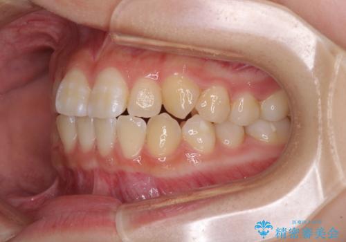
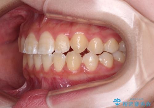
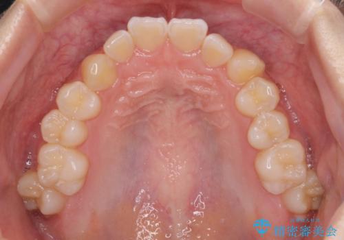
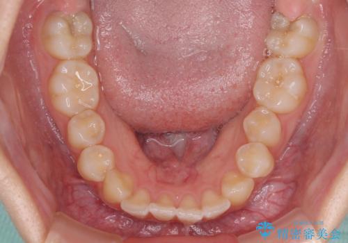
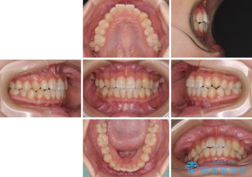
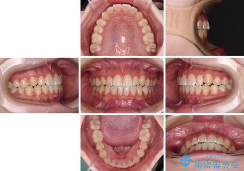
- 前歯のデコボコと磨きにくい奥歯を気にして来院された患者様です。
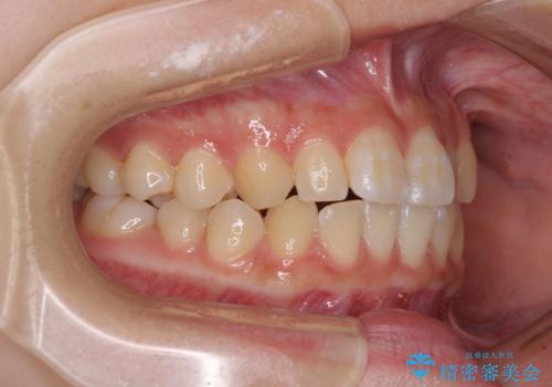
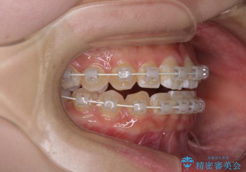
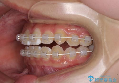
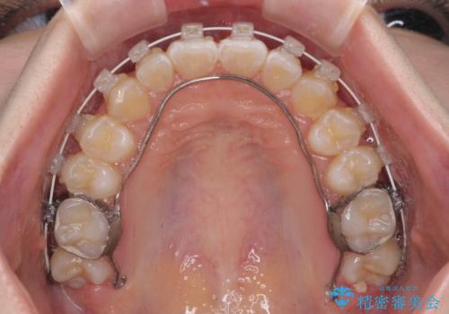
左右ともに上顎第二大臼歯が外側に転位しており、大変磨きにくくなっているため、補助装置により内側に引き込むことで改善することとしました。
- 費用(概算)
- 治療費の目安: 100万円(税込)費用は治療当時の料金となります
治療について
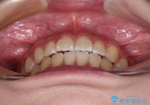
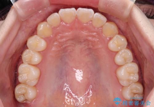
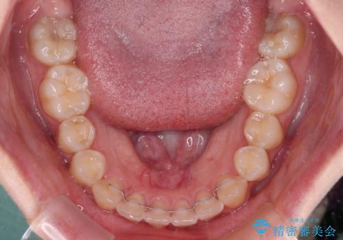
外側を向いていた奥歯は比較的早い時期に歯列に収まり、咬み合わせも磨きやすさも改善することができました。
歯列は元々悪くなかったので、1年ほどで治療を終えることができました。
ワイヤー矯正の注意事項(リスク・副作用など)
- 治療中は違和感や痛みが起こることがあります
- 症状により、抜歯が必要な場合があります
- 治療中は歯磨きがしにくくなるため、虫歯や歯周病になりやすくなります
- 矯正治療後の保定が不十分だと後戻り(元の位置に戻ろうとする動き)をします
- 自費診療(保険適用外)となります
当サイトの内容、テキスト、画像等の無断転載、複製、複写、盗用を固く禁じます。


























