症例詳細
Case detail
口元の突出感改善 なるべく銀歯を抜歯してワイヤー矯正
治療症例の内容
- 診療科目
- 治療カテゴリ
- 担当医
- 藤巻太一朗(ドクタープロフィール)
- 患者様
- 20代女性
- 矯正装置
- 審美装置
- 治療期間
- 2年10ヶ月
- 治療回数
- 10-30回
- 治療計画
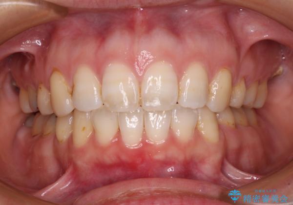
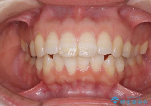
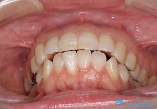
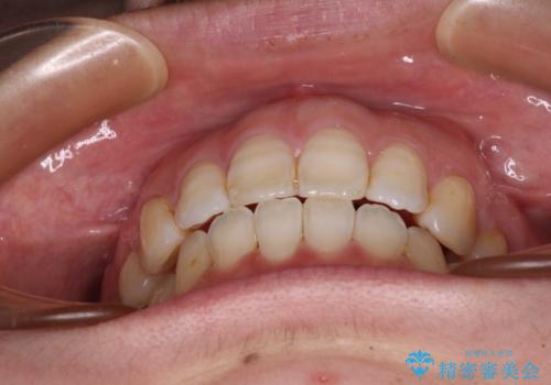
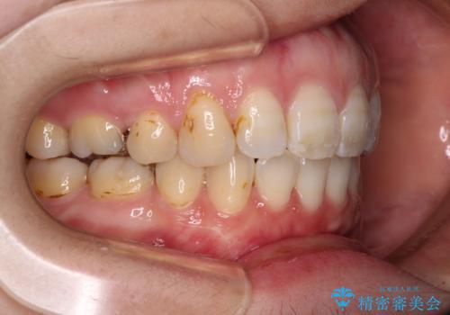
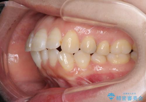
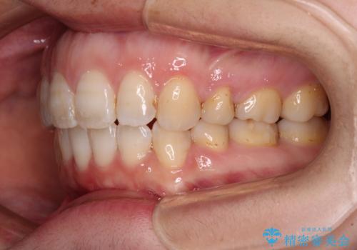
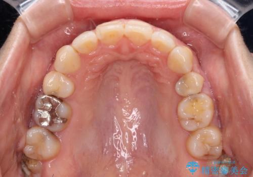
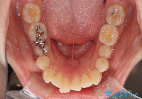
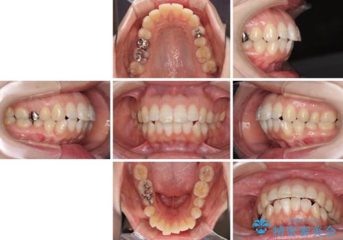
- 口元の閉じにくさと、前歯のでこぼこの歯並びを気にして来院された患者様です。
 口元を積極的に引っ込めるために、上下左右の小臼歯計4本を抜歯することとしました。
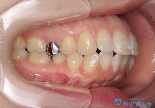
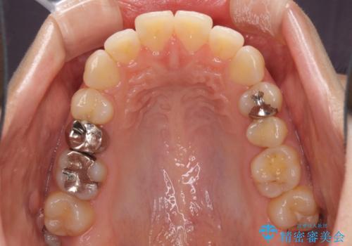
 セオリーでは第一小臼歯を抜歯しますが、上下右側は第二小臼歯に銀歯が装着されているため、第二小臼歯を抜歯することとしました。
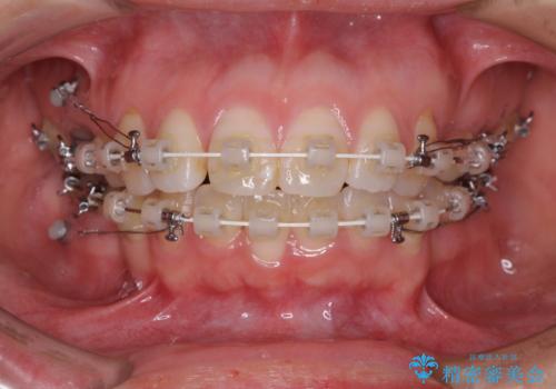
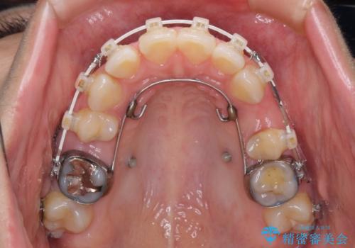
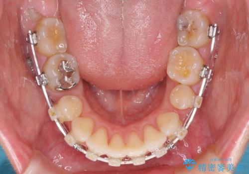
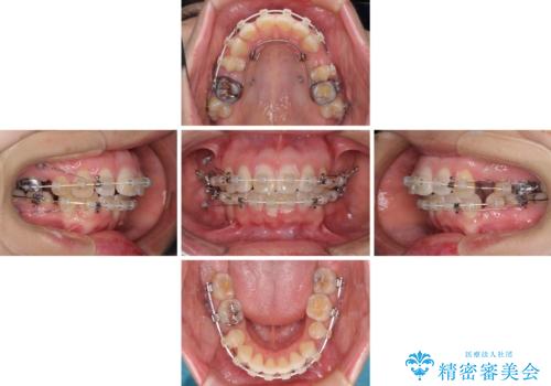
 上下正中を左右対称に揃えるため、アンカースクリューや補助装置を使用しながら口元を下げていくこととしました。
- 費用(概算)
- 治療費の目安: 110万円(税込)費用は治療当時の料金となります
治療について
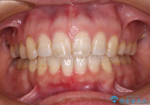
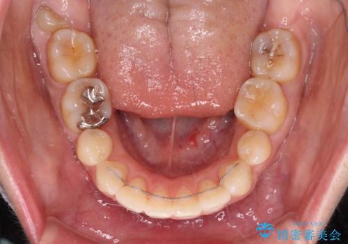
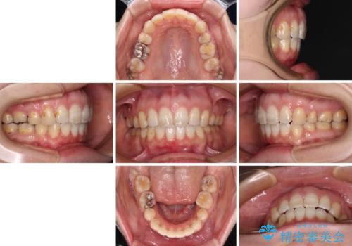
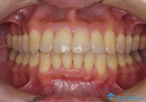
積極的に前歯を牽引したことで、口元の閉じにくさは顕著に改善され、横顔のシルエットが大幅に変化しました。
ワイヤー矯正の注意事項(リスク・副作用など)
- 治療中は違和感や痛みが起こることがあります
- 症状により、抜歯が必要な場合があります
- 治療中は歯磨きがしにくくなるため、虫歯や歯周病になりやすくなります
- 矯正治療後の保定が不十分だと後戻り(元の位置に戻ろうとする動き)をします
- 自費診療(保険適用外)となります
当サイトの内容、テキスト、画像等の無断転載、複製、複写、盗用を固く禁じます。








 
                       
                                                          

























 
                   
                   
                  