症例詳細
Case detail
【過蓋咬合・正中離開・奥歯のズレでお悩みの方必見】非抜歯矯正症例(顎骨の成長を利用)
治療症例の内容
- 担当医
- 奥村高広(ドクタープロフィール)
- 患者様
- 10代男性
- 矯正装置
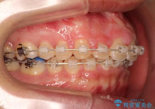
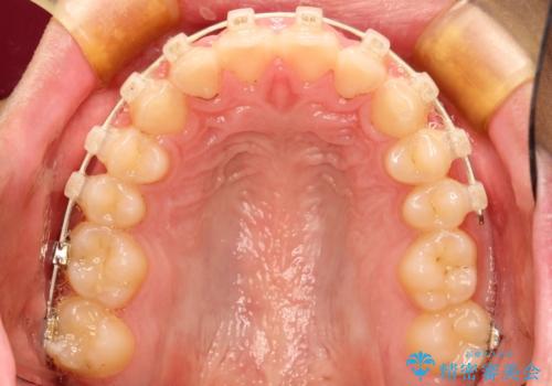
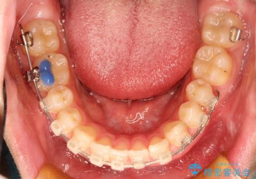
- 審美装置(ブラケット:白/ワイヤー:白) アドバンシンク
- 治療期間
- 2年5ヶ月
- 治療回数
- 10-30回
- 治療計画
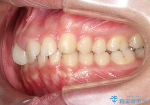
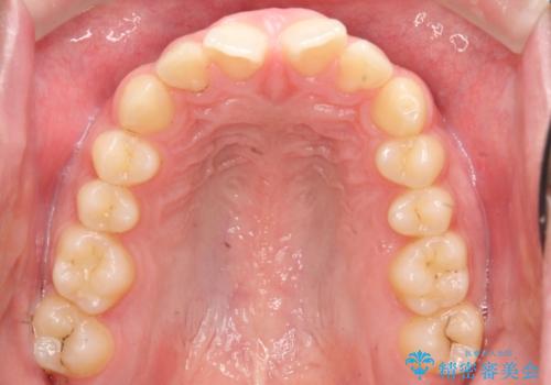
- 前歯の正中離開をはじめとした見た目の改善を希望され来院された患者様です。
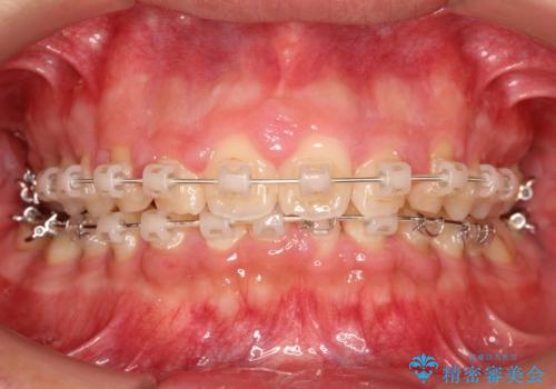
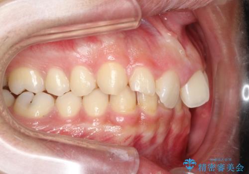
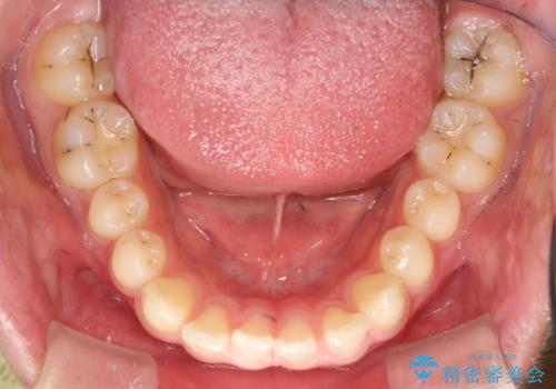
初診時の歯並びの状態としては、上下ともに前歯部の中等度のがたつきがあり、前歯には正中離開があり過蓋咬合を呈してい状態でした。
また奥歯の噛み合わせのズレもあり、特に左は顕著に認められました。
検査の結果、抜歯なし/ワイヤー矯正にて治療を行いました。
また、成長期終盤の男の子だったため成長の余力(下顎を前に牽引んし成長を促進する)を期待しアドバンシンクという装置を使い、下顎の骨の成長を利用した矯正治療を行いました。
- 費用(概算)
- 90万円費用は治療当時の料金となります
治療について
当院では、模型分析やレントゲン分析のデータを基に治療方針を決めています。複数治療の選択肢がある場合は、すべての可能性ある治療方針を丁寧にご説明し、患者様のご意向に沿ったプランを選択するよう心がけております。
また、矯正治療を行うにあたり、虫歯や歯周病の検査も実施し、要治療部位は、矯正前に適切に処置いたします。
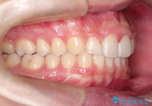
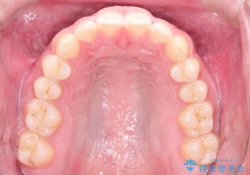
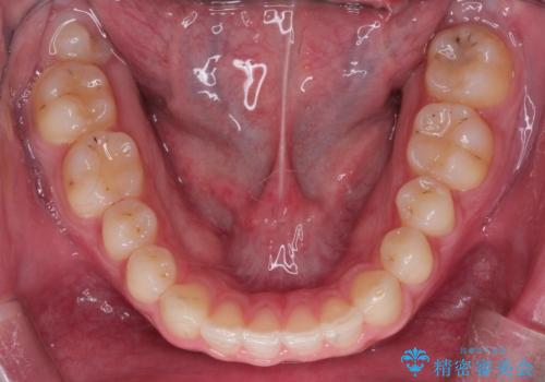
見た目、噛み合わせ及び、治療期間や施術内容に大変ご満足いただきました。
ワイヤー矯正の注意事項(リスク・副作用など)
- 治療中は違和感や痛みが起こることがあります
- 症状により、抜歯が必要な場合があります
- 治療中は歯磨きがしにくくなるため、虫歯や歯周病になりやすくなります
- 矯正治療後の保定が不十分だと後戻り(元の位置に戻ろうとする動き)をします
- 自費診療(保険適用外)となります
当サイトの内容、テキスト、画像等の無断転載、複製、複写、盗用を固く禁じます。















