症例詳細
Case detail
[ジルコニアクラウン] 根管治療を伴った前歯部セラミック治療
治療症例の内容
- 担当医
- 大元洋佑(ドクタープロフィール)
- 患者様
- 30代女性
- 治療期間
- 3ヶ月
- 治療回数
- 2-5回
- 治療計画
- 顔の腫れ上がる痛みを主訴に来院されました。
痛みの原因として感染根管が強く疑われ、また大きな根尖病変も認められたので根管治療を開始していきます。
- 費用(概算)
- 15万円費用は治療当時の料金となります
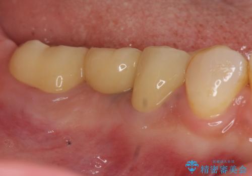
根管治療を伴うセラミック治療について
最終的に神経を取った歯は基本的にクラウンにより審美性・機能の回復を行います。
クラウンの下は目には見えませんが、根管内の感染を取ることで根尖に見られた大きな病変は治癒の経過をたどりました。
治療前の口腔内写真は仮歯の状態です。
セラミック治療の注意事項(リスク・副作用など)
- 天然歯を削ります
- 硬い素材は天然歯を傷つけてしまう場合があります
- かみ合わせや歯ぎしりが強すぎる方はセラミックが割れてしまう可能性があります
- 自費診療(保険適用外治療)となります
根管治療の注意事項(リスク・副作用など)
- 根管治療により類似の全ての症例の問題が解決するわけではなく、症例はあくまでも一例です
- 根管治療により痛みや腫れがひかない事や、術後に痛みや腫れが生じる事、治療によるファイル破折やパーフォレーションなどの偶発症、術後の歯根破折を生じる可能性もあります
- 自費診療(保険適用外)となります
当サイトの内容、テキスト、画像等の無断転載、複製、複写、盗用を固く禁じます。

![[ジルコニアクラウン] 根管治療を伴った前歯部セラミック治療の治療前](https://seimitsushinbi.jp/wp/wp-content/uploads/2017/07/CI13-500x350.jpg)
![[ジルコニアクラウン] 根管治療を伴った前歯部セラミック治療の治療中](https://seimitsushinbi.jp/wp/wp-content/uploads/2017/07/CI2-500x350.jpg)
![[ジルコニアクラウン] 根管治療を伴った前歯部セラミック治療の治療後](https://seimitsushinbi.jp/wp/wp-content/uploads/2017/07/CI28-500x350.jpg)
![[ジルコニアクラウン] 根管治療を伴った前歯部セラミック治療の治療前](https://seimitsushinbi.jp/wp/wp-content/uploads/2017/07/IMG_9376-500x350.jpg)
![[ジルコニアクラウン] 根管治療を伴った前歯部セラミック治療の治療中](https://seimitsushinbi.jp/wp/wp-content/uploads/2017/07/CI3-500x350.jpg)
![[ジルコニアクラウン] 根管治療を伴った前歯部セラミック治療の治療後](https://seimitsushinbi.jp/wp/wp-content/uploads/2017/07/9dc09f7fc2cc98bf3812fc3d6778ecdd-500x350.jpg)
![[ジルコニアクラウン] 根管治療を伴った前歯部セラミック治療の治療前](https://seimitsushinbi.jp/wp/wp-content/uploads/2017/07/IMG_9379-500x350.jpg)
![[ジルコニアクラウン] 根管治療を伴った前歯部セラミック治療の治療中](https://seimitsushinbi.jp/wp/wp-content/uploads/2017/07/CI4-500x350.jpg)
![[ジルコニアクラウン] 根管治療を伴った前歯部セラミック治療の治療後](https://seimitsushinbi.jp/wp/wp-content/uploads/2017/07/55f3bdc0ea6b7d7c8408c6b5bbdf1dc4-500x350.jpg)
![[ジルコニアクラウン] 根管治療を伴った前歯部セラミック治療の治療前](https://seimitsushinbi.jp/wp/wp-content/uploads/2017/07/IMG_9374-500x350.jpg)
![[ジルコニアクラウン] 根管治療を伴った前歯部セラミック治療の治療中](https://seimitsushinbi.jp/wp/wp-content/uploads/2017/07/CI5-500x350.jpg)
![[ジルコニアクラウン] 根管治療を伴った前歯部セラミック治療の治療後](https://seimitsushinbi.jp/wp/wp-content/uploads/2017/07/8fa4020b2c5199360a2da681292e7f6e-500x350.jpg)
![[ジルコニアクラウン] 根管治療を伴った前歯部セラミック治療の治療前](https://seimitsushinbi.jp/wp/wp-content/uploads/2017/07/IMG_9373-500x350.jpg)
![[ジルコニアクラウン] 根管治療を伴った前歯部セラミック治療の治療中](https://seimitsushinbi.jp/wp/wp-content/uploads/2017/07/CI8-500x350.jpg)
![[ジルコニアクラウン] 根管治療を伴った前歯部セラミック治療の治療後](https://seimitsushinbi.jp/wp/wp-content/uploads/2017/07/f90c29f2077c848e971697a8fad3bcb0-500x350.jpg)
![[ジルコニアクラウン] 根管治療を伴った前歯部セラミック治療の治療前](https://seimitsushinbi.jp/wp/wp-content/uploads/2017/07/IMG_9381-500x350.jpg)
![[ジルコニアクラウン] 根管治療を伴った前歯部セラミック治療の治療中](https://seimitsushinbi.jp/wp/wp-content/uploads/2017/07/CI14-500x350.jpg)
![[ジルコニアクラウン] 根管治療を伴った前歯部セラミック治療の治療後](https://seimitsushinbi.jp/wp/wp-content/uploads/2017/07/b0690018a6d4d57154f511ffeabc4061-500x350.jpg)
![[ジルコニアクラウン] 根管治療を伴った前歯部セラミック治療の治療前](https://seimitsushinbi.jp/wp/wp-content/uploads/2017/07/IMG_9382.1-500x350.jpg)
![[ジルコニアクラウン] 根管治療を伴った前歯部セラミック治療の治療中](https://seimitsushinbi.jp/wp/wp-content/uploads/2017/07/CI15-500x350.jpg)
![[ジルコニアクラウン] 根管治療を伴った前歯部セラミック治療の治療後](https://seimitsushinbi.jp/wp/wp-content/uploads/2017/07/44912f174e1c4303974fa2e4df601fda-500x350.jpg)