症例詳細
Case detail
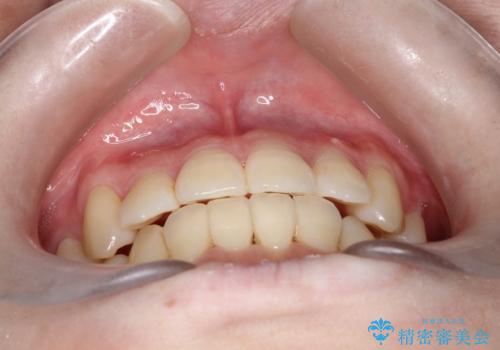
コンプレックスだった前歯のガタガタがここまで綺麗になるなんて!!
治療症例の内容
- 担当医
- 奥村高広(ドクタープロフィール)
- 患者様
- 30代女性
- 矯正装置
- 審美装置(ブラケット:白/ワイヤー:白)
- 治療期間
- 3年11ヶ月
- 治療回数
- 10-30回
- 治療計画
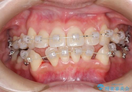
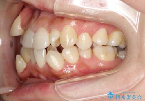
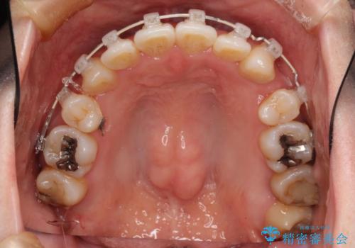
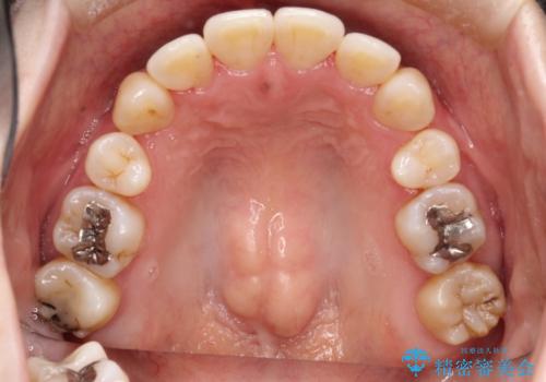
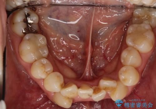
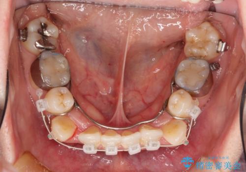
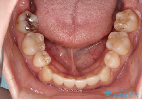
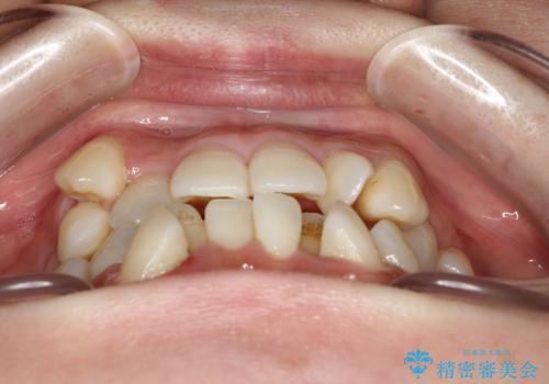
- 前歯の見た目の改善を希望され来院された患者様です。
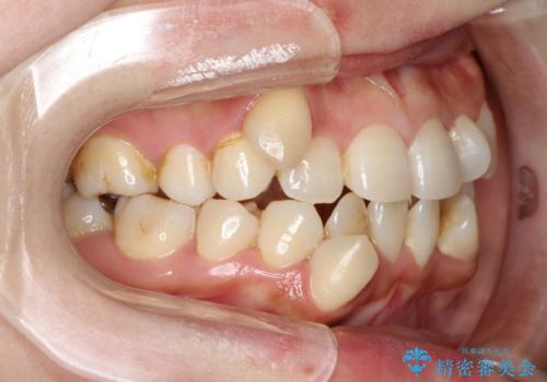
初診時の歯並びの状態としては、上下に強いガタガタがある状態であり、それが原因で口腔内の清掃状態も極めて悪い状況でした。
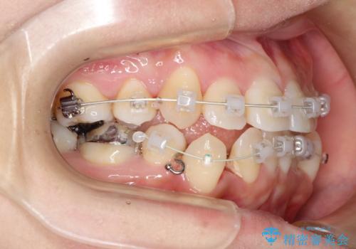
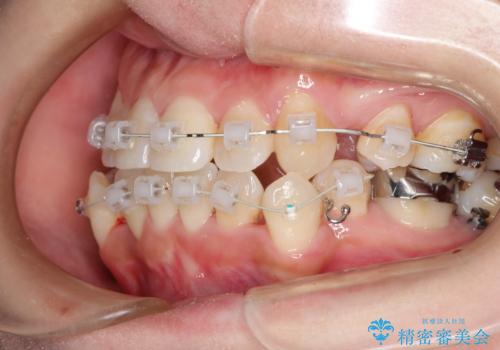
スペースの不足量が著しく、上下左右の抜歯を伴うワイヤー矯正にて治療を行いました。
抜歯によるスペースを利用し、強いがたつきの改善を行いました。
また、左上の奥歯に関して親知らずの1つ手前の歯の状態が悪かったため、その歯は抜歯をし親知らずを利用して噛み合わせを作りました。
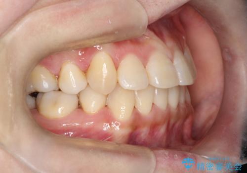
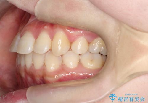
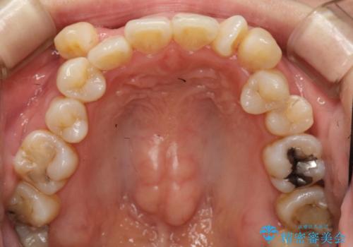
治療に関して期間こそかかってしまったものの、見た目、嚙み合わせ及び、治療期間や施術内容に大変ご満足いただきました。
- 費用(概算)
- 91万円費用は治療当時の料金となります
治療について
当院では、模型分析やレントゲン分析のデータを基に治療方針を決めています。複数治療の選択肢がある場合は、すべての可能性ある治療方針を丁寧にご説明し、患者様のご意向に沿ったプランを選択するよう心がけております。
また、矯正治療を行うにあたり、虫歯や歯周病の検査も実施し、要治療部位は、矯正前に適切に処置いたします。
ワイヤー矯正の注意事項(リスク・副作用など)
- 治療中は違和感や痛みが起こることがあります
- 症状により、抜歯が必要な場合があります
- 治療中は歯磨きがしにくくなるため、虫歯や歯周病になりやすくなります
- 矯正治療後の保定が不十分だと後戻り(元の位置に戻ろうとする動き)をします
- 自費診療(保険適用外)となります
当サイトの内容、テキスト、画像等の無断転載、複製、複写、盗用を固く禁じます。

















