症例詳細
Case detail
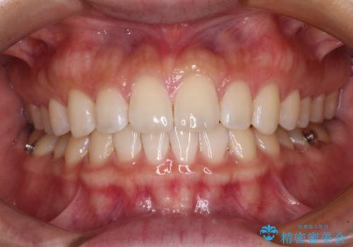
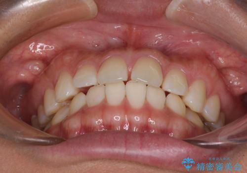
【モニター】前歯のすきっ歯をインビザラインで改善
治療症例の内容
- 担当医
- 藤巻太一朗(ドクタープロフィール)
- 患者様
- 20代女性
- 矯正装置
- インビザライン
- 治療期間
- 1年1ヶ月
- 治療回数
- 10-30回
- 治療計画
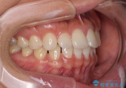
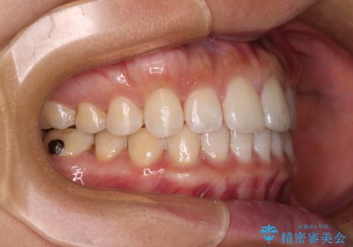
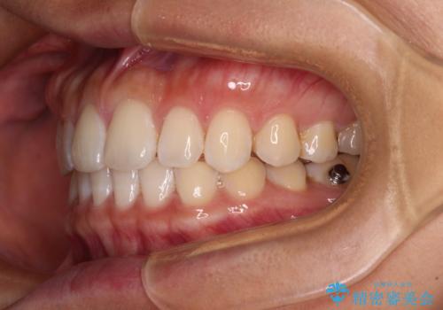
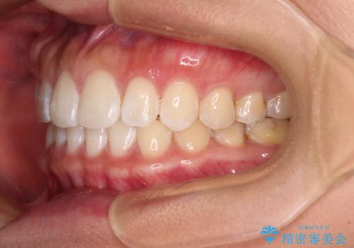
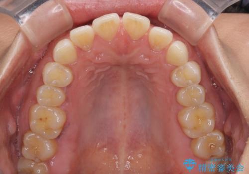
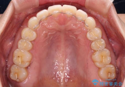
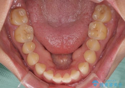
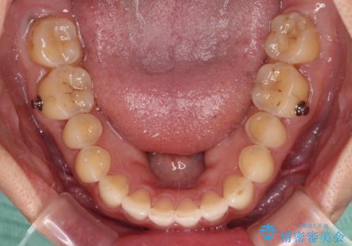
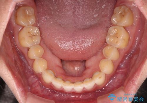
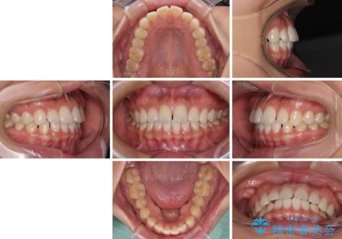
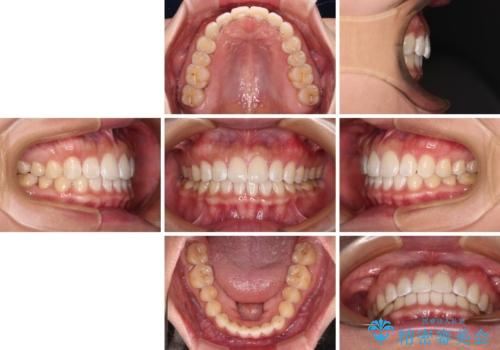
- 上顎前歯の隙間と口元の突出感を気にして来院された患者様です。
高校生の時に行った矯正治療の後戻りであり、歯列不正は軽度であったので、インビザラインにて治療を行うこととしました。
- 費用(概算)
- 治療費の目安: 66万円(税込)費用は治療当時の料金となります
※顔写真掲載にあたり、患者様の了解を得ております
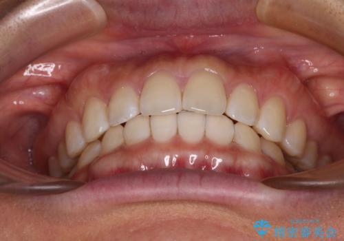
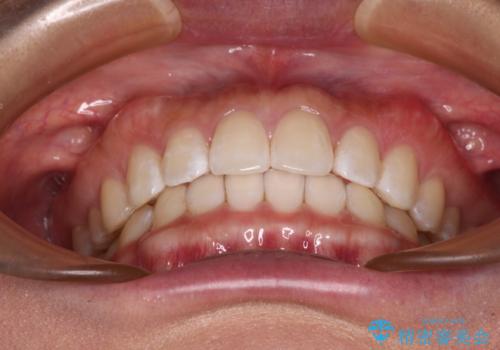
治療について
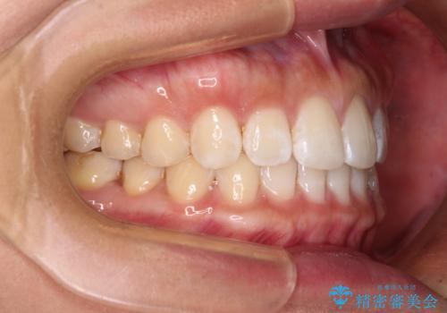
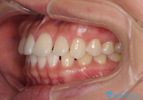
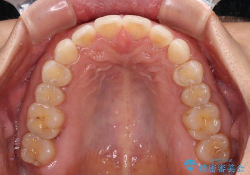
すきっ歯はあっという間に後戻りを起こすので、可及的に後戻りを防止するために、上下前歯部を舌側からワイヤーで固定しています。
通常は下顎前歯のみに行っていますが、空隙歯列弓では上顎でも行っています。
マウスピース矯正の注意事項(リスク・副作用など)
- 口腔内・歯並びの状態によっては対応できない場合があります
- マウスピース型矯正装置の長時間装着(1日20時間以上)が必須です
- 治療計画通りに進めるためには、患者様の意志が重要になります
- 矯正治療後の保定が不十分だと後戻り(元の位置に戻ろうとする動き)をします
- 薬機法対象外の矯正歯科装置のため医薬品副作用被害救済制度の対象外となる場合があります
- 自費診療(保険適用外)となります
当サイトの内容、テキスト、画像等の無断転載、複製、複写、盗用を固く禁じます。



























