症例詳細
Case detail
八重歯と前歯の欠損と骨格のズレ 目立たないワイヤー矯正
治療症例の内容
- 診療科目
- 治療カテゴリ
- 担当医
- 藤巻太一朗(ドクタープロフィール)
- 患者様
- 20代女性
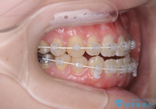
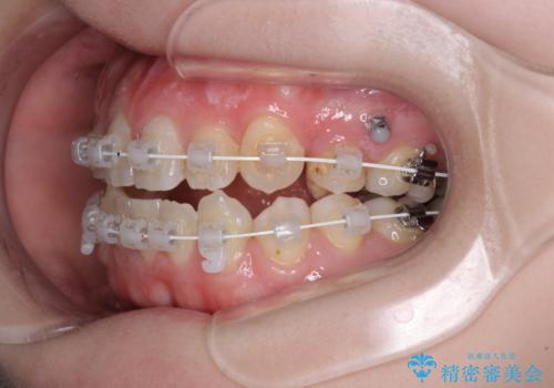
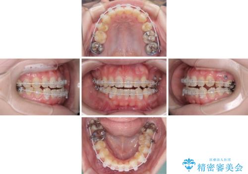
- 矯正装置
- 審美装置
- 治療期間
- 1年4ヶ月
- 治療回数
- 10-30回
- 治療計画
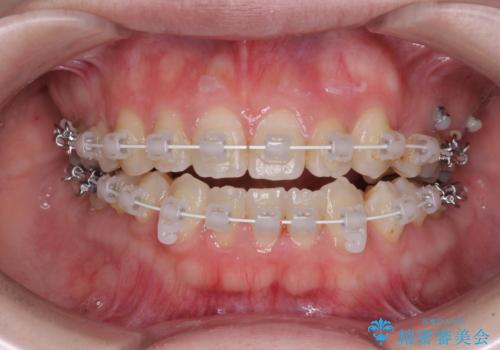
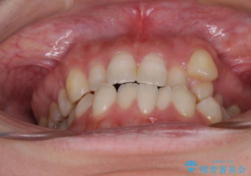
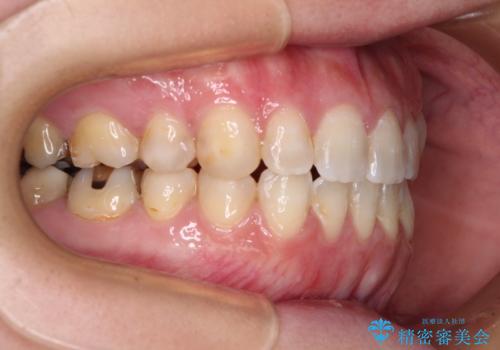
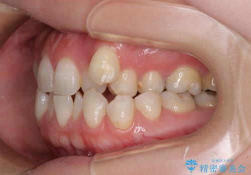
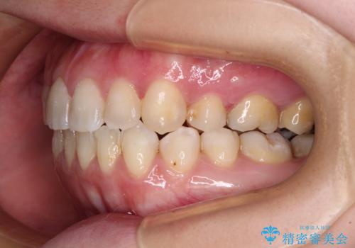
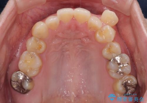
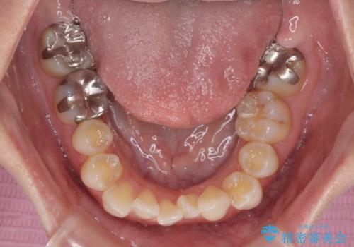
- 左上の八重歯と前歯のデコボコを気にして来院された患者様です。
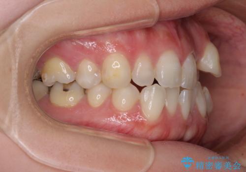
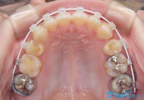
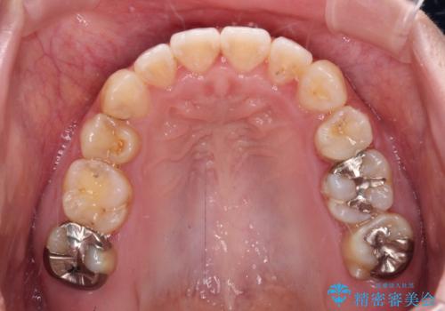
下顎が左側にズレており、下顎前歯は1歯欠損していたため、左上小臼歯1本を抜歯し、ワイヤー装置にて矯正治療を行うこととしました。
- 費用(概算)
- 治療費の目安: 95万円(税込)費用は治療当時の料金となります
治療について
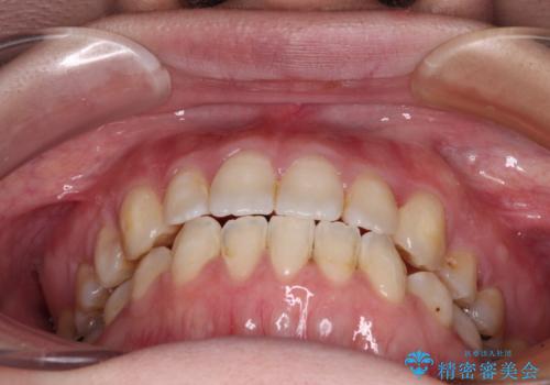
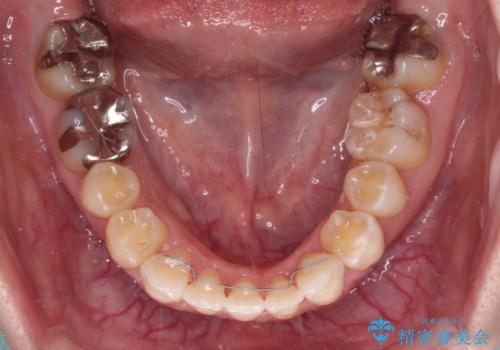
骨格のズレと歯の欠損があったため、仕上がりの調整に時間がかかると思いましたが、舌突出癖の改善や顎間ゴムの装着をしっかりと行ってくださったので、速やかに治療を終えることができました。
ワイヤー矯正の注意事項(リスク・副作用など)
- 治療中は違和感や痛みが起こることがあります
- 症状により、抜歯が必要な場合があります
- 治療中は歯磨きがしにくくなるため、虫歯や歯周病になりやすくなります
- 矯正治療後の保定が不十分だと後戻り(元の位置に戻ろうとする動き)をします
- 自費診療(保険適用外)となります
当サイトの内容、テキスト、画像等の無断転載、複製、複写、盗用を固く禁じます。


























