症例詳細
Case detail
著しい八重歯を短期間で改善 ワイヤー装置による抜歯矯正
治療症例の内容
- 診療科目
- 担当医
- 藤巻太一朗(ドクタープロフィール)
- 患者様
- 20代女性
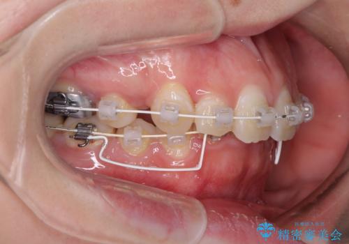
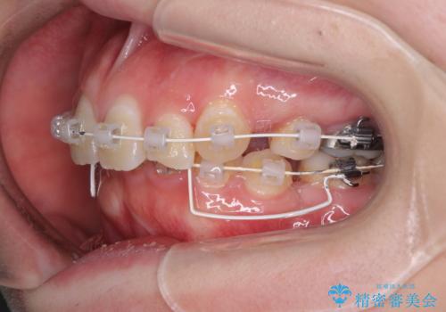
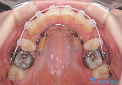
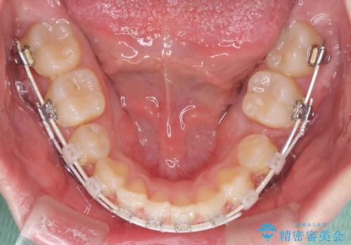
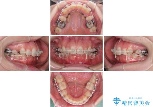
- 矯正装置
- 審美装置
- 治療期間
- 2年2ヶ月
- 治療回数
- 10-30回
- 治療計画
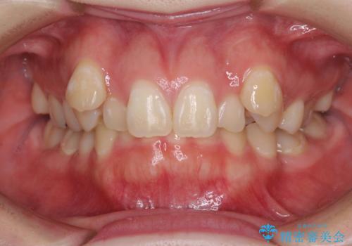
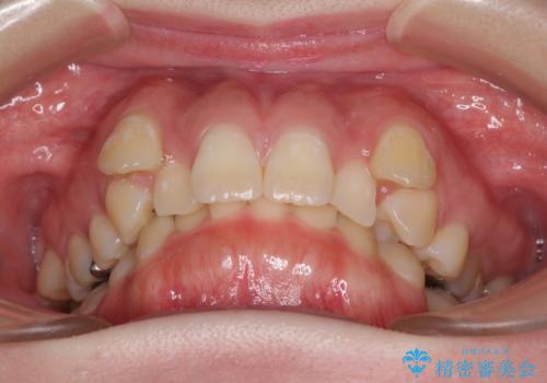
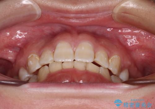
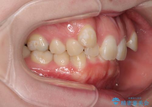
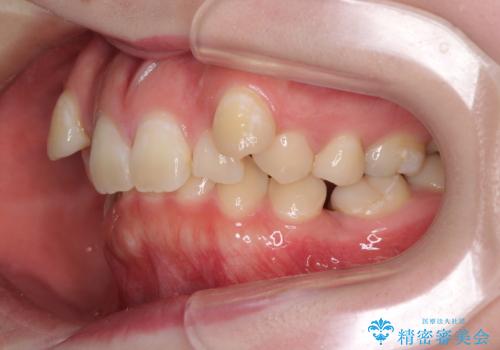
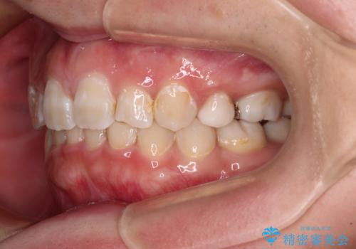
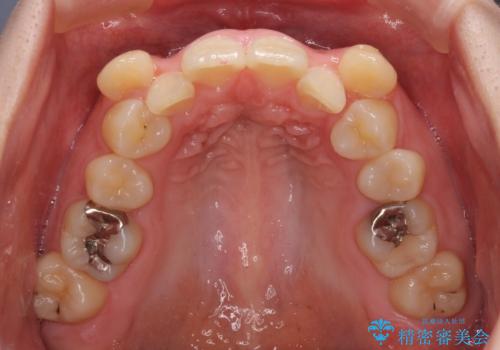
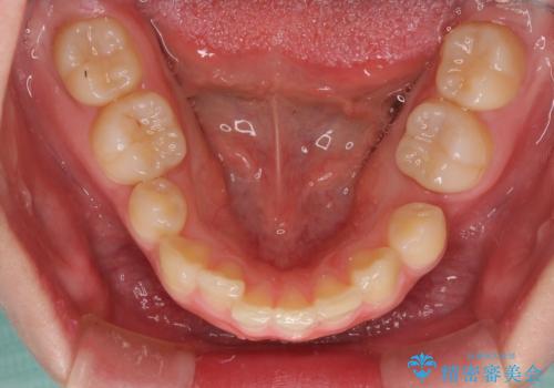
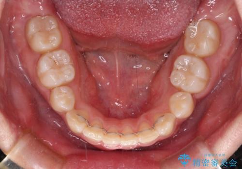
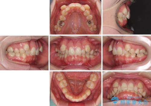
- 八重歯と下顎小臼歯の欠損を気にして来院された患者様です。
下顎小臼歯の欠損により過蓋咬合となっていたため、下顎は臼歯を起こすことで咬み合わせを改善し、八重歯は第一小臼歯2本を抜歯し、補助装置を使用して速やかに改善することとしました。
- 費用(概算)
- 治療費の目安: 105万円(税込)費用は治療当時の料金となります
治療について
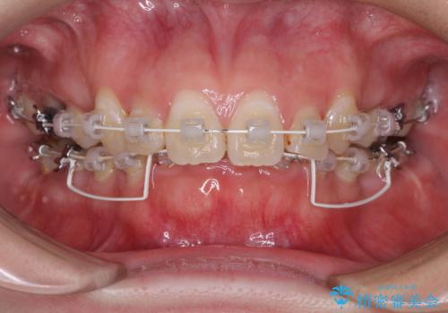
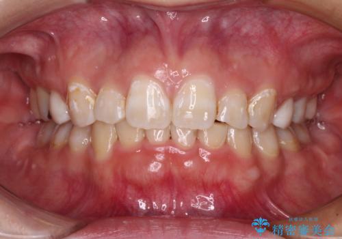
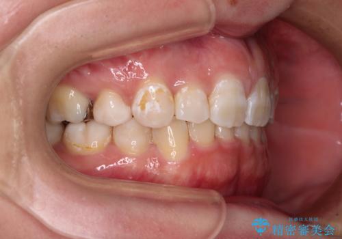
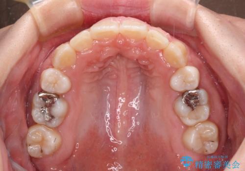
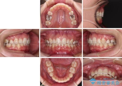
著しい過蓋咬合の改善が必要であった割には、治療期間は2年強と標準的でした。
八重歯は3,4か月で速やかに改善されました。
ワイヤー矯正の注意事項(リスク・副作用など)
- 治療中は違和感や痛みが起こることがあります
- 症状により、抜歯が必要な場合があります
- 治療中は歯磨きがしにくくなるため、虫歯や歯周病になりやすくなります
- 矯正治療後の保定が不十分だと後戻り(元の位置に戻ろうとする動き)をします
- 自費診療(保険適用外)となります
当サイトの内容、テキスト、画像等の無断転載、複製、複写、盗用を固く禁じます。


























