症例詳細
Case detail
【モニター】インビザラインで口を閉じやすく
治療症例の内容
- 診療科目
- 担当医
- 藤巻太一朗(ドクタープロフィール)
- 患者様
- 20代女性
- 矯正装置
- インビザライン
- 治療期間
- 9ヶ月
- 治療回数
- 5-10回
- 治療計画
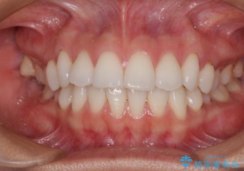
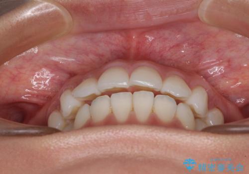
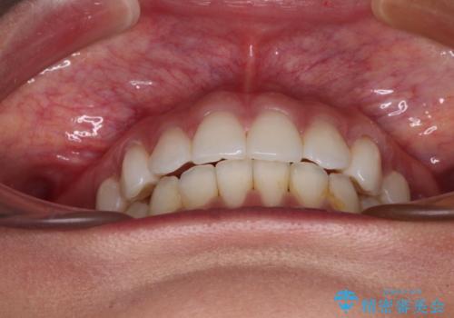
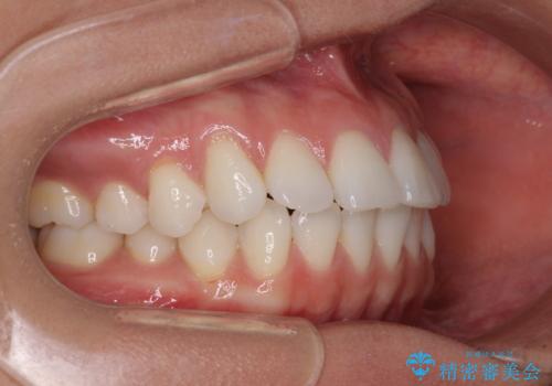
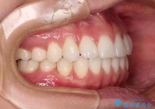
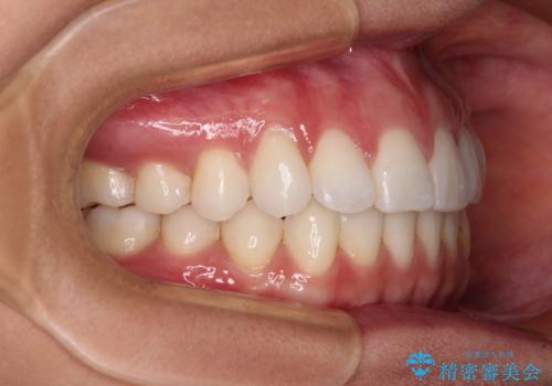
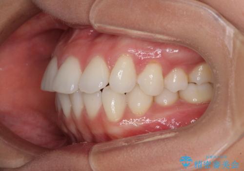
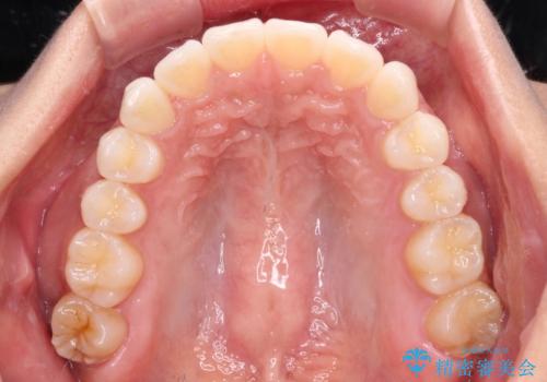
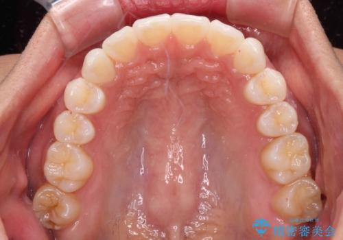
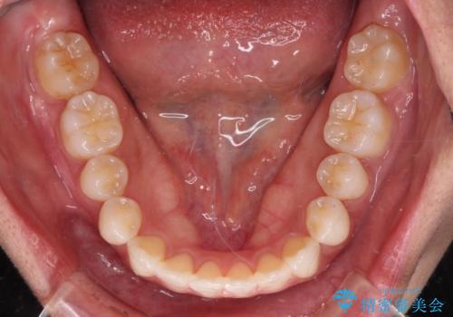
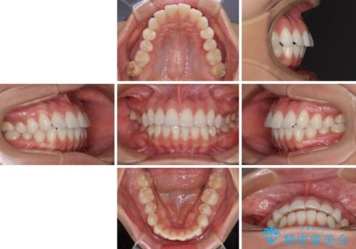
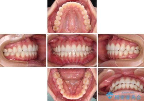
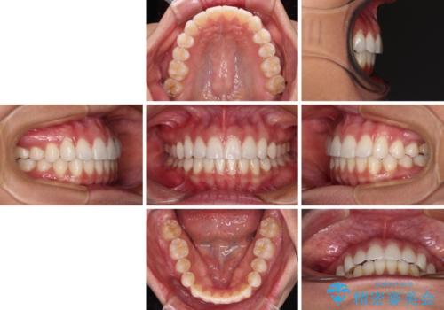
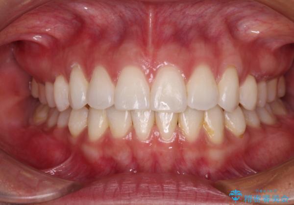
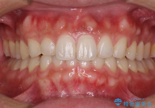
- 前に出ている上顎前歯が気になるとのことで来院された患者様です。
インビザラインを用い、IPR(歯と歯の間を削る)と歯列全体を後方に移動させることで、可能な限り前歯の突出感を改善することとしました。
- 費用(概算)
- 治療費の目安: 66万円(税込)費用は治療当時の料金となります
※顔写真掲載にあたり、患者様の了解を得ております
治療について
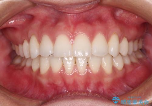
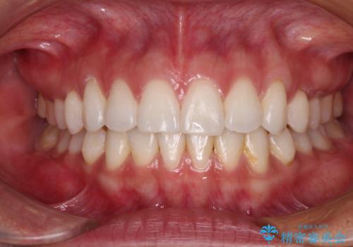
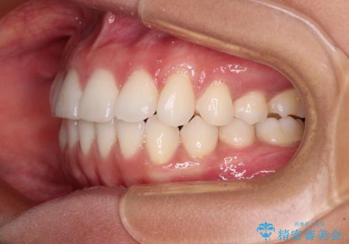
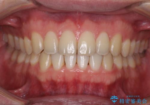
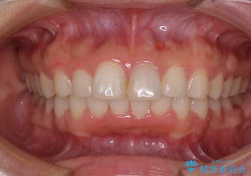
元々の歯列も整っており、横顔の印象の出っ歯ではなかったため、仕上がりに満足できない可能性があると心配しておりましたが、口が閉じやすくなり、患者様には大変満足していただきました。
マウスピース矯正の注意事項(リスク・副作用など)
- 口腔内・歯並びの状態によっては対応できない場合があります
- マウスピース型矯正装置の長時間装着(1日20時間以上)が必須です
- 治療計画通りに進めるためには、患者様の意志が重要になります
- 矯正治療後の保定が不十分だと後戻り(元の位置に戻ろうとする動き)をします
- 薬機法対象外の矯正歯科装置のため医薬品副作用被害救済制度の対象外となる場合があります
- 自費診療(保険適用外)となります
当サイトの内容、テキスト、画像等の無断転載、複製、複写、盗用を固く禁じます。



























