症例詳細
Case detail
【オールセラミッククラウン】存在感のある銀歯を外したい
治療症例の内容
- 診療科目
- 治療カテゴリ
- 担当医
- 河口智英(ドクタープロフィール)
- 患者様
- 30代女性
- 治療期間
- 1ヶ月
- 治療計画
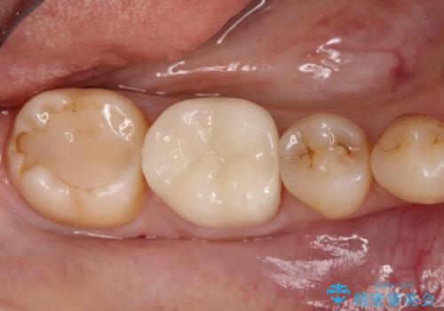
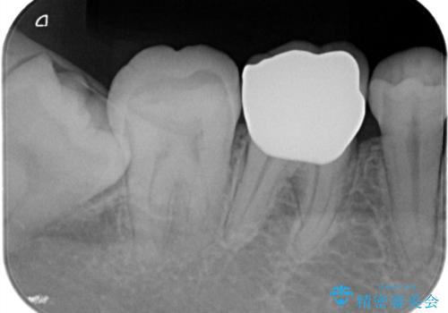
- 他院で矯正終了後、保定観察中の患者様が銀歯を白くしたいという主訴で来院されました。
オールセラミッククラウン(st)にて治療を行なっております。
- 費用(概算)
- 11万円費用は治療当時の料金となります
治療について
オールセラミッククラウン(st)は
ジルコニアフレームに色調の再現がしやすいポーセレンを焼き付けた構造の被せ物です。
セラミック治療の注意事項(リスク・副作用など)
- 天然歯を削ります
- 硬い素材は天然歯を傷つけてしまう場合があります
- かみ合わせや歯ぎしりが強すぎる方はセラミックが割れてしまう可能性があります
- 自費診療(保険適用外治療)となります
当サイトの内容、テキスト、画像等の無断転載、複製、複写、盗用を固く禁じます。







