症例詳細
Case detail
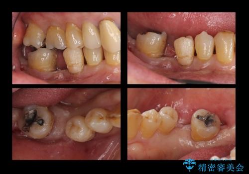
60代男性 奥歯のブリッジ 倒れこんでいる奥歯を部分矯正
治療症例の内容
- 患者様
- 60代男性
- 矯正装置
- ワイヤー矯正
- 治療期間
- 1年
- 治療回数
- 10-30回
- 治療計画
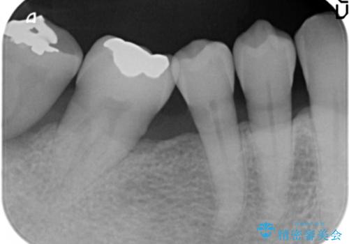
- 右下の親知らずが咬むと痛いとのことでした。
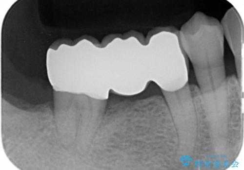
親知らずを抜いて、倒れこんでいる手前の歯を矯正治療で移動させ、ブリッジにしました。
矯正治療をしなければ、倒れこんでいる影響で手前の奥歯も含めて歯周病で悪化してしまうため、しっかり起こして治療をしました。
- 費用(概算)
- 69.3万円 (部分矯正治療30万円、ジルコニアクラウンブリッジ10万円x3、仮歯 1万円x3)費用は治療当時の料金となります
治療について
60代でしたが、歯もしっかり動いてブリッジを入れることができました。
セラミック治療の注意事項(リスク・副作用など)
- 天然歯を削ります
- 硬い素材は天然歯を傷つけてしまう場合があります
- かみ合わせや歯ぎしりが強すぎる方はセラミックが割れてしまう可能性があります
- 自費診療(保険適用外治療)となります
ワイヤー矯正の注意事項(リスク・副作用など)
- 治療中は違和感や痛みが起こることがあります
- 症状により、抜歯が必要な場合があります
- 治療中は歯磨きがしにくくなるため、虫歯や歯周病になりやすくなります
- 矯正治療後の保定が不十分だと後戻り(元の位置に戻ろうとする動き)をします
- 自費診療(保険適用外)となります
当サイトの内容、テキスト、画像等の無断転載、複製、複写、盗用を固く禁じます。









