症例詳細
Case detail
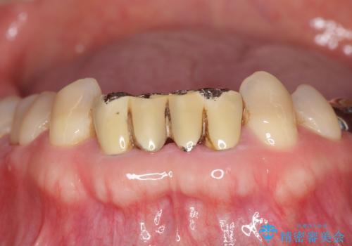
下の前歯のブリッジ 保険治療のやり替え
治療症例の内容
- 診療科目
- 治療カテゴリ
- 担当医
- 井上季実子(ドクタープロフィール)
- 患者様
- 50代男性
- 治療期間
- 3ヶ月
- 治療回数
- 2-5回
- 治療計画
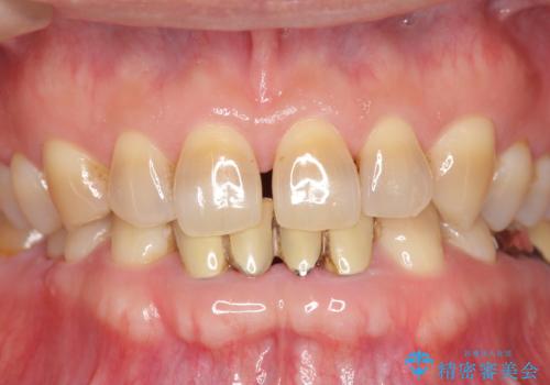
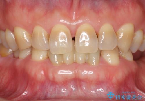
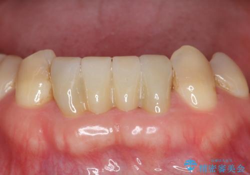
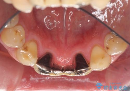
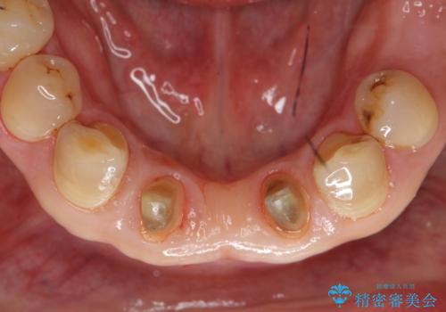
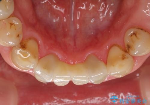
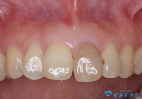
- 前歯のブリッジのやり替えをご希望されました。
 
 かみ合わせが強く、以前入っていた保険治療のブリッジも前装が欠けてしまっていました。
 
 セラミックも強い衝撃で欠けないわけではないため、強度のあるフルジルコニアクラウンでブリッジを作成しました。
 
 フルジルコニアクラウンはやや白すぎるといった難点がありますが、今回は強度を優先することにしました。
- 費用(概算)
- 35.2万円費用は治療当時の料金となります
治療について
夜間の歯ぎしりによるチッピング、破折をふせぐため、ナイトガード使用をお勧めしています。
セラミック治療の注意事項(リスク・副作用など)
- 天然歯を削ります
- 硬い素材は天然歯を傷つけてしまう場合があります
- かみ合わせや歯ぎしりが強すぎる方はセラミックが割れてしまう可能性があります
- 自費診療(保険適用外治療)となります
当サイトの内容、テキスト、画像等の無断転載、複製、複写、盗用を固く禁じます。








 
                       
                                                          











 
                   
                   
                  