症例詳細
Case detail
むし歯だらけの歯を治したい インプラントを用いた補綴治療
治療症例の内容
- 患者様
- 30代女性
- 治療期間
- 1年
- 治療回数
- 5-10回
- 治療計画
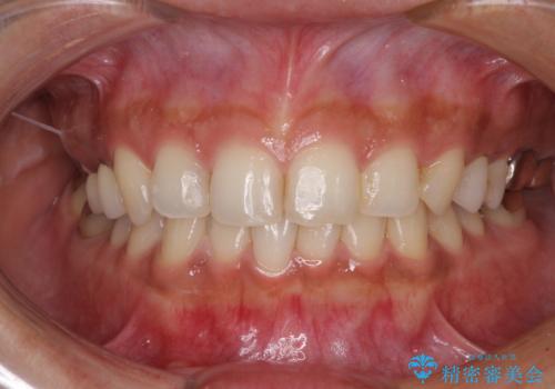
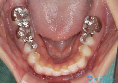
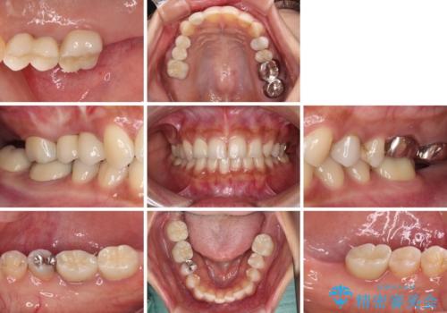
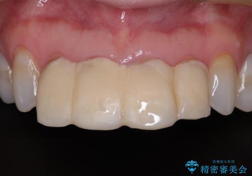
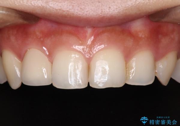
- 冷たいものがしみたり、ものが挟まったり、噛んだときに痛んだりするとのことで来院された患者様です。
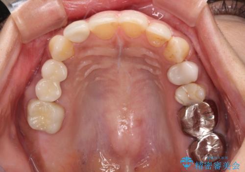
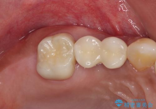
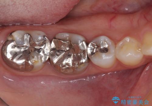
レントゲン写真などで診査した結果、奥歯の銀歯の下にはむし歯が多く存在し、右上の奥歯は歯根が破折していました。
破折した歯を抜去し、インプラントによる補綴を行うこととしました。
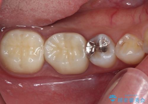
銀歯の下のむし歯については、優先度の高い方からセラミッククラウンなどで治療していくこととしました。
- 費用(概算)
- 治療費の目安: 160万円(税込)費用は治療当時の料金となります
治療について
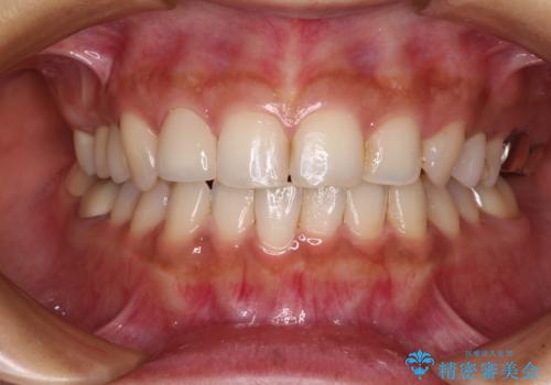
治療開始時は右上奥歯と前歯のみが気になっていたのですが、その後下顎左右の奥歯に強い痛みや銀歯の脱離などが頻発し、問題のあるところは全て治療を行うこととしました。
セラミック治療の注意事項(リスク・副作用など)
- 天然歯を削ります
- 硬い素材は天然歯を傷つけてしまう場合があります
- かみ合わせや歯ぎしりが強すぎる方はセラミックが割れてしまう可能性があります
- 自費診療(保険適用外治療)となります
インプラント治療の注意事項(リスク・副作用など)
- 外科手術のため、術後に痛みや腫れ、違和感を伴います
- メンテナンスを怠ったり喫煙により、お口の中に大きな悪影響を及ぼすインプラント周囲炎等にかかる可能性があります
- 糖尿病、肝硬変、心臓病等の場合、インプラント治療ができない可能性があります
- 高血圧、貧血・不整脈等の場合、インプラント治療後に治癒不全を招く可能性があります
- 自費診療(保険適用外治療)となります
当サイトの内容、テキスト、画像等の無断転載、複製、複写、盗用を固く禁じます。



















