症例詳細
Case detail
検診で判明した虫歯の再発
治療症例の内容
- 診療科目
- 治療カテゴリ
- 担当医
- 大元洋佑(ドクタープロフィール)
- 患者様
- 40代女性
- 治療期間
- 1ヶ月
- 治療回数
- 2-5回
- 治療計画
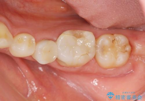
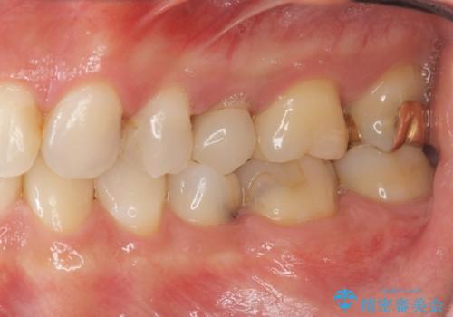
- 虫歯の全体的な検査を求めて来院されました。
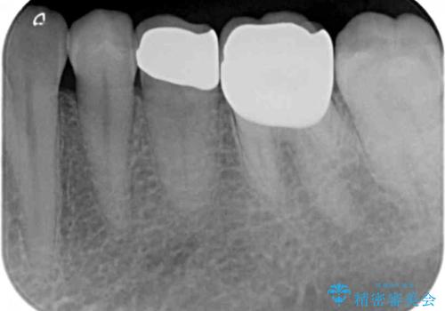
X線検査を行なったところ、以前他院にて治療した白い詰め物の下に虫歯の再発を認めました。
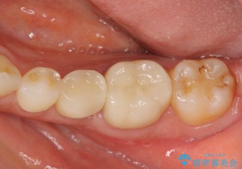
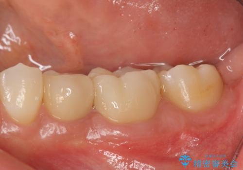
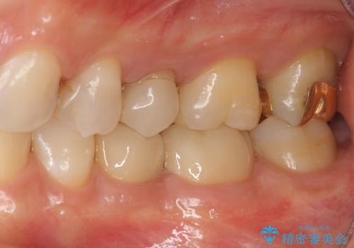
詰め物を除去したのち、虫歯を丁寧に除去することで神経を保存しながらセラミッククラウンによる補綴治療を行うことができました。
- 費用(概算)
- 24.2万円(仮歯・ジルコニアクラウン×2)費用は治療当時の料金となります
治療について
外から見て白くきれいな修復が為されていたとしても、内部で虫歯が再発していることは多々あります。
違和感を感じたら早期にX線検査を行い、神経が保存できるうちに治療を行うことが重要です。
セラミック治療の注意事項(リスク・副作用など)
- 天然歯を削ります
- 硬い素材は天然歯を傷つけてしまう場合があります
- かみ合わせや歯ぎしりが強すぎる方はセラミックが割れてしまう可能性があります
- 自費診療(保険適用外治療)となります
当サイトの内容、テキスト、画像等の無断転載、複製、複写、盗用を固く禁じます。








