症例詳細
Case detail
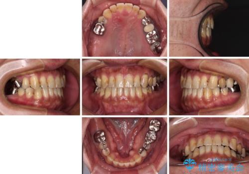
前歯の反対咬合をワイヤー矯正で改善して噛みやすく
治療症例の内容
- 診療科目
- 担当医
- 藤巻太一朗(ドクタープロフィール)
- 患者様
- 30代男性
- 矯正装置
- 審美装置
- 治療期間
- 1年11ヶ月
- 治療回数
- 10-30回
- 治療計画
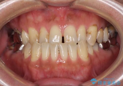
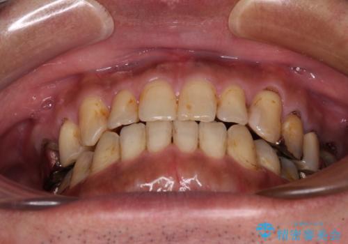
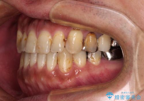
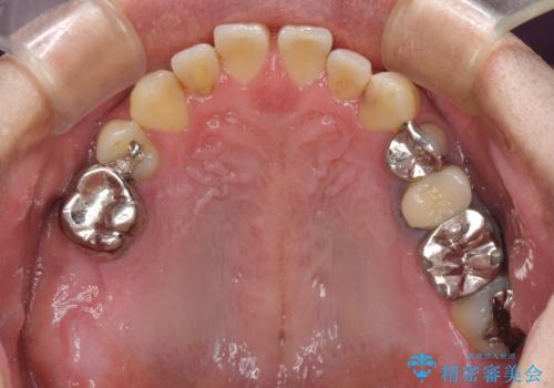
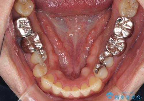
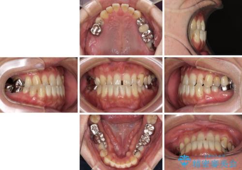
- 咬み合わせの悪さを気にして来院された患者様です。
来院当初は、奥歯の銀歯が問題で咬み合わせが悪いと思っていらっしゃいましたが、前歯の反対咬合を改善することが最優先とご説明し、矯正治療を行うこととしました。
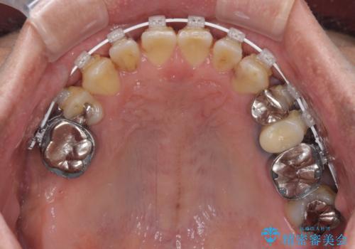
奥歯には抜歯が必要な歯があったため、事前に抜歯を行い、その後ワイヤー装置にて治療を開始しました。
- 費用(概算)
- 治療費の目安: 100万円(税込)費用は治療当時の料金となります
治療について
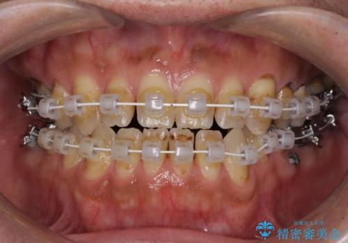
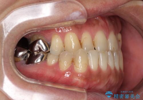
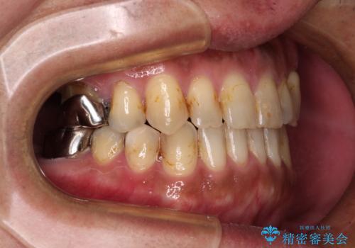
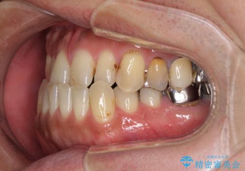
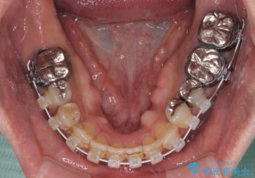
前歯の反対咬合が改善する過程では、奥歯が咬みにくくなるため、食事では辛い思いをされていたようです。
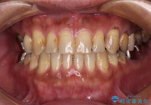
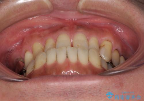
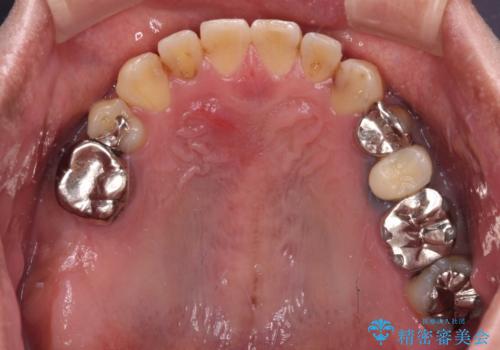
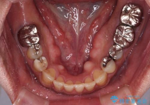
矯正治療後は安定した咬み合わせとなり、顎の違和感がなくなったとのことでした。
今後はむし歯や銀歯を治療していく予定です。
ワイヤー矯正の注意事項(リスク・副作用など)
- 治療中は違和感や痛みが起こることがあります
- 症状により、抜歯が必要な場合があります
- 治療中は歯磨きがしにくくなるため、虫歯や歯周病になりやすくなります
- 矯正治療後の保定が不十分だと後戻り(元の位置に戻ろうとする動き)をします
- 自費診療(保険適用外)となります
当サイトの内容、テキスト、画像等の無断転載、複製、複写、盗用を固く禁じます。


























