症例詳細
Case detail
欠損の多い歯列 部分矯正とセラミックブリッジで自然な見た目に
治療症例の内容
- 診療科目
- 担当医
- 藤巻太一朗(ドクタープロフィール)
- 患者様
- 40代女性
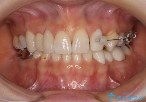
- 矯正装置
- 審美装置
- 治療期間
- 9ヶ月
- 治療回数
- 5-10回
- 治療計画
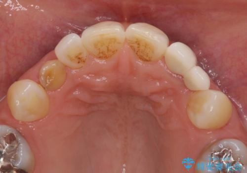
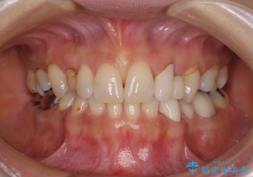
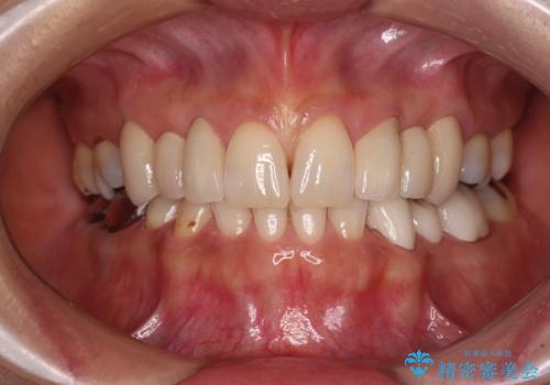
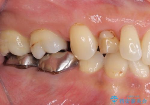
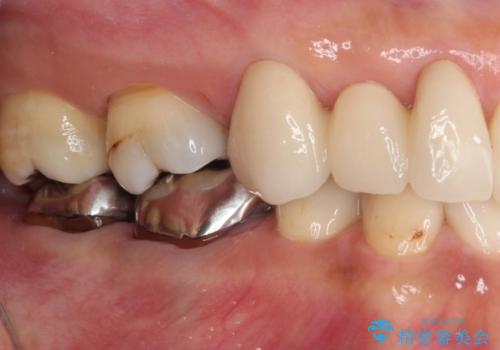
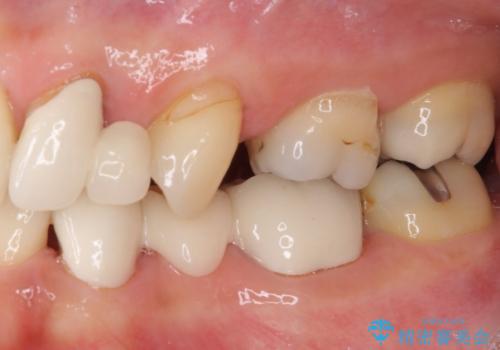
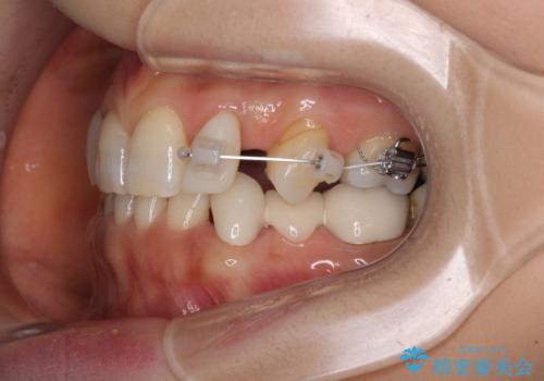
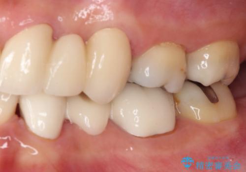
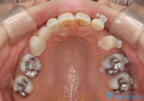
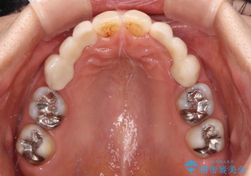
- 残存している乳歯や欠損部の隙間を気にして来院された患者様です。
上顎は左右ともに小臼歯が欠損しており、右側は乳前歯が残っている状態でした。
ブリッジによる補綴治療にて、欠損や隙間を補完することとしましたが、神経を取り除いたり、審美的に不自然になることを避けるため、部分矯正を併用することとしました。
乳歯は事前に抜歯することとしました。
- 費用(概算)
- 治療費の目安: 85万円(税込)費用は治療当時の料金となります
治療について
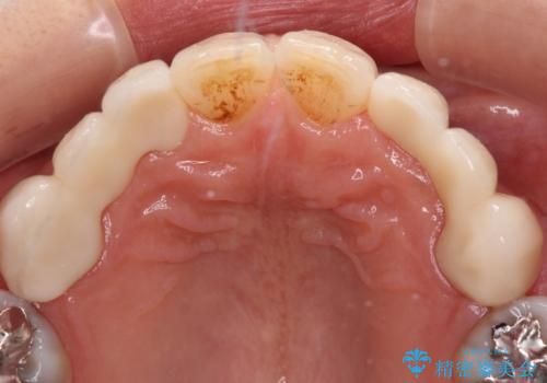
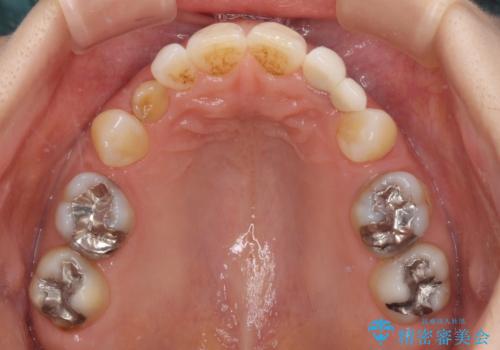
隙間が全て閉じたことで、長年食事の度に挟まる不快感が改善されました。
また、正面から見た印象がまるで自分の歯であるような自然な仕上がりとなりました。
ワイヤー矯正の注意事項(リスク・副作用など)
- 治療中は違和感や痛みが起こることがあります
- 症状により、抜歯が必要な場合があります
- 治療中は歯磨きがしにくくなるため、虫歯や歯周病になりやすくなります
- 矯正治療後の保定が不十分だと後戻り(元の位置に戻ろうとする動き)をします
- 自費診療(保険適用外)となります
セラミック治療の注意事項(リスク・副作用など)
- 天然歯を削ります
- 硬い素材は天然歯を傷つけてしまう場合があります
- かみ合わせや歯ぎしりが強すぎる方はセラミックが割れてしまう可能性があります
- 自費診療(保険適用外治療)となります
当サイトの内容、テキスト、画像等の無断転載、複製、複写、盗用を固く禁じます。

















