症例詳細
Case detail
どこで咬んでいいのか分からない インプラント・オーバーデンチャーによる補綴治療
治療症例の内容
- 患者様
- 50代男性
- 治療期間
- 2年2ヶ月
- 治療回数
- 10-30回
- 治療計画
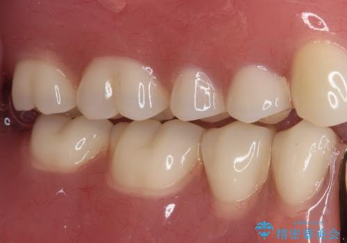
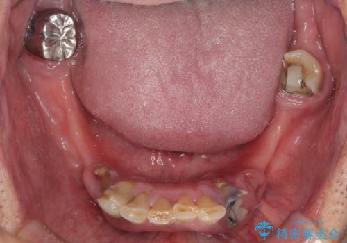
- どこで咬んでよいのか分からないとのことで来院された患者様です。
歯冠の崩壊した奥歯と、前歯の一部でした咬み合うことができず、入れ歯も試したものの、装着することができなかったようです。
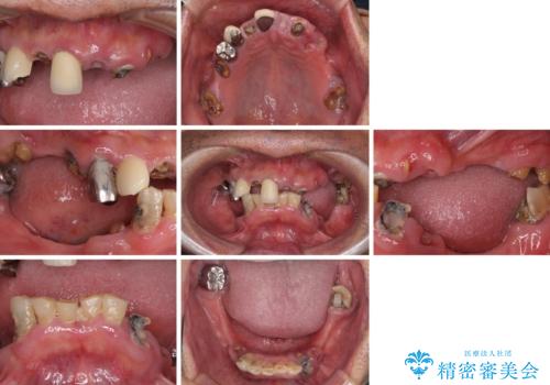
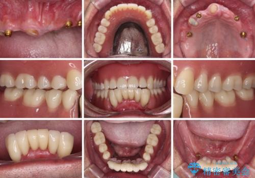
全顎的にインプラント補綴を行うことも検討しましたが、費用面から、インプラントを土台とした入れ歯(インプラント・オーバーデンチャー)による補綴治療を行うこととしました。
- 費用(概算)
- 治療費の目安: 350万円(税込)費用は治療当時の料金となります
治療について
入れ歯の固定源にはマグネットやロケーター、ボールアタッチメントなどがありますが、お住まいが遠方であることや、奥歯に力がかかりやすいことから、維持力が強く、メインテナンスが行いやすいロケーターを採用しました。
インプラント治療の注意事項(リスク・副作用など)
- 外科手術のため、術後に痛みや腫れ、違和感を伴います
- メンテナンスを怠ったり喫煙により、お口の中に大きな悪影響を及ぼすインプラント周囲炎等にかかる可能性があります
- 糖尿病、肝硬変、心臓病等の場合、インプラント治療ができない可能性があります
- 高血圧、貧血・不整脈等の場合、インプラント治療後に治癒不全を招く可能性があります
- 自費診療(保険適用外治療)となります
セラミック治療の注意事項(リスク・副作用など)
- 天然歯を削ります
- 硬い素材は天然歯を傷つけてしまう場合があります
- かみ合わせや歯ぎしりが強すぎる方はセラミックが割れてしまう可能性があります
- 自費診療(保険適用外治療)となります
入れ歯の注意事項(リスク・副作用など)
- ブリッジやインプラントと比較して、色が合いづらい、見た目の違和感があります
- ブリッジやインプラントと比較して、話しにくい、舌が当たる等の違和感があります
- 慣れるまで微調整で何度か通って頂くことがあります
- 就寝時や食後に毎回取り外して、清掃する必要があります
- 自費診療(保険適用外)となります
当サイトの内容、テキスト、画像等の無断転載、複製、複写、盗用を固く禁じます。

















