症例詳細
Case detail
飛び出した前歯を引っ込めたい 目立たないワイヤーでの抜歯矯正
治療症例の内容
- 担当医
- 藤巻太一朗(ドクタープロフィール)
- 患者様
- 20代女性
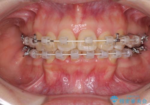
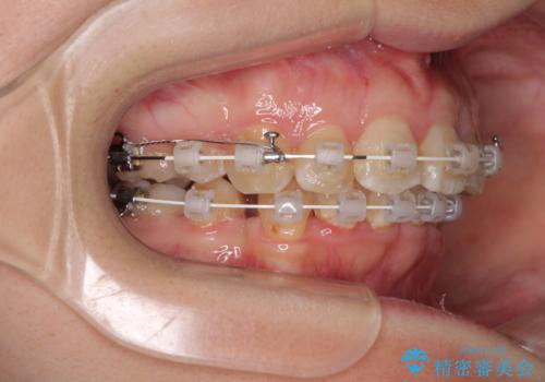
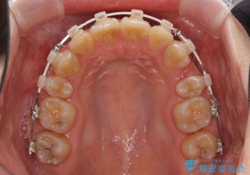
- 矯正装置
- 審美装置
- 治療期間
- 3年7ヶ月
- 治療回数
- 10-30回
- 治療計画
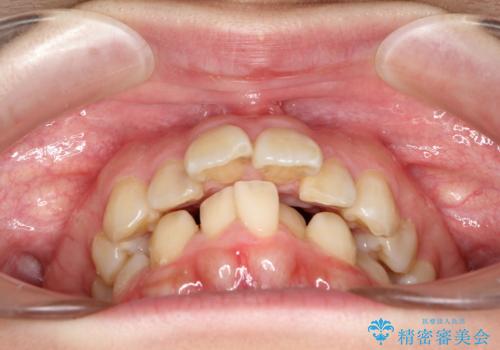
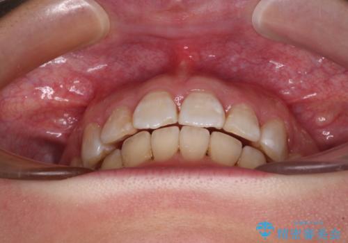
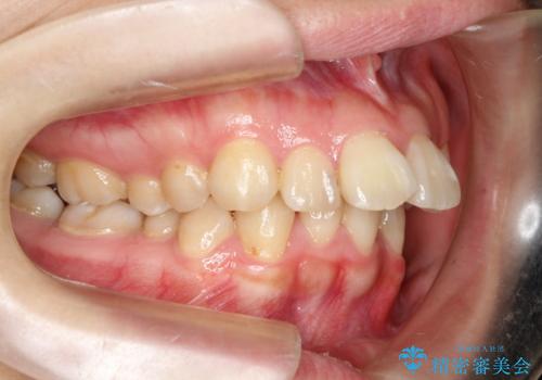
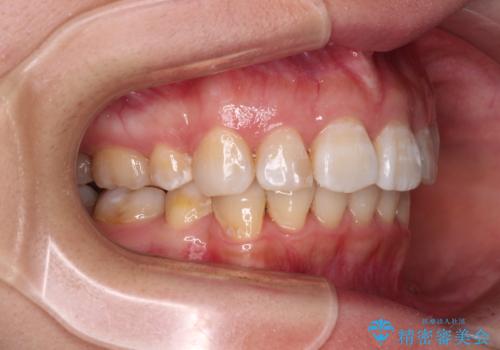
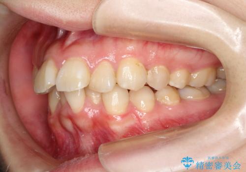
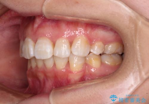
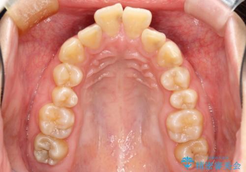
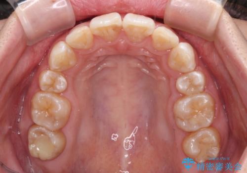
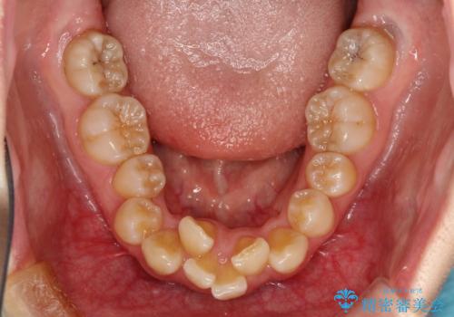
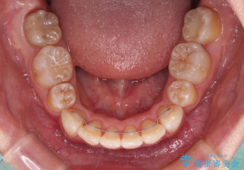
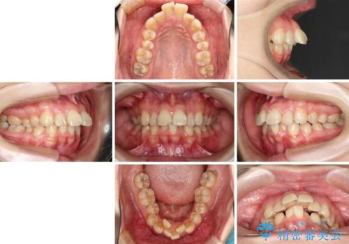
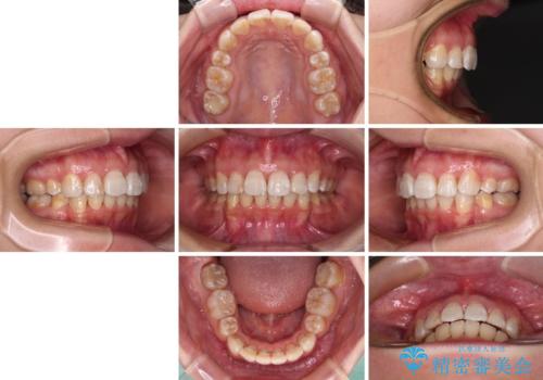
- 口元の閉じにくさと、前歯のでこぼこの歯並びを気にして来院された患者様です。
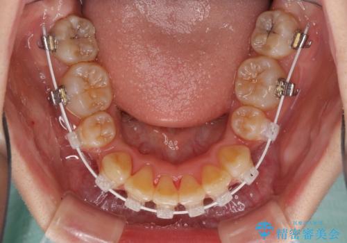
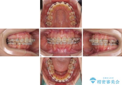
口元を積極的に引っ込めるために、上下左右の小臼歯計4本を抜歯することとしました。
咬み合わせが深く、咬合力強いため、補助装置を使用しながら積極的に口元を下げることとしました。
- 費用(概算)
- 治療費の目安: 110万円(税込)費用は治療当時の料金となります
治療について
矯正治療終了近くに九州へ引っ越すことになってしまい、なかなか来院することができなくなったため、引っ越してから1年以上の期間が必要となってしまいました。
ワイヤー矯正の注意事項(リスク・副作用など)
- 治療中は違和感や痛みが起こることがあります
- 症状により、抜歯が必要な場合があります
- 治療中は歯磨きがしにくくなるため、虫歯や歯周病になりやすくなります
- 矯正治療後の保定が不十分だと後戻り(元の位置に戻ろうとする動き)をします
- 自費診療(保険適用外)となります
当サイトの内容、テキスト、画像等の無断転載、複製、複写、盗用を固く禁じます。


























