症例詳細
Case detail
乳歯や矮小歯の多い前歯 部分矯正と補綴治療による審美歯科治療
治療症例の内容
- 診療科目
- 担当医
- 藤巻太一朗(ドクタープロフィール)
- 患者様
- 50代男性
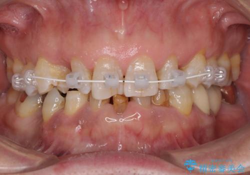
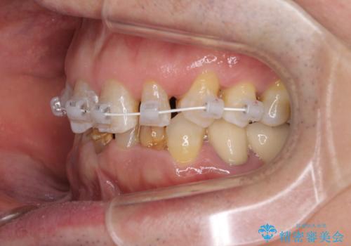
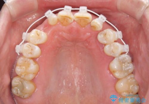
- 矯正装置
- 審美装置
- 治療期間
- 1年3ヶ月
- 治療回数
- 10-30回
- 治療計画
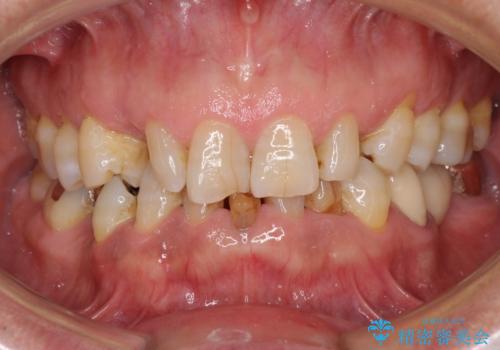
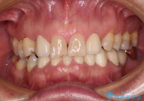
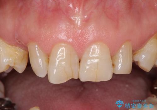
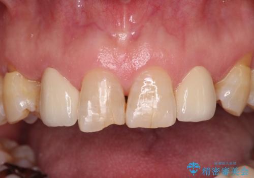
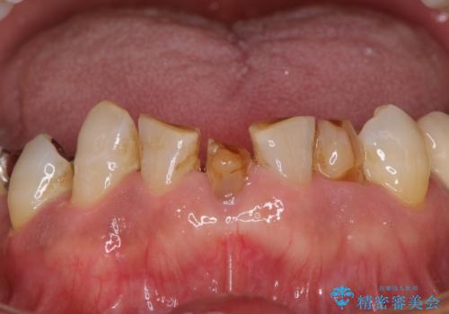
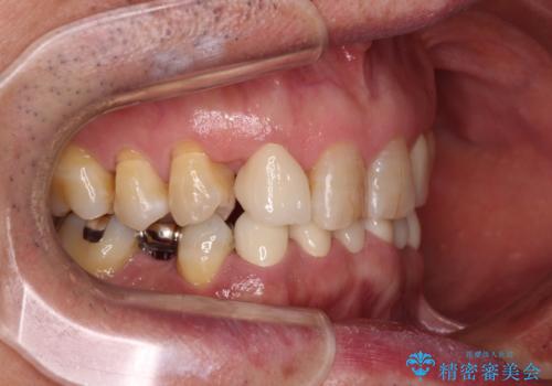
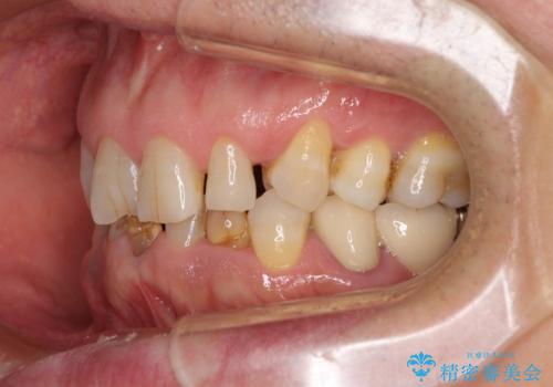
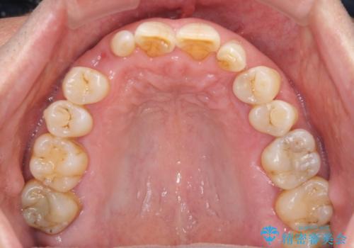
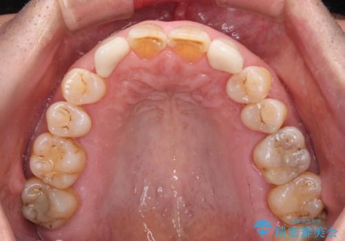
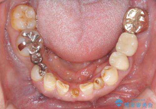
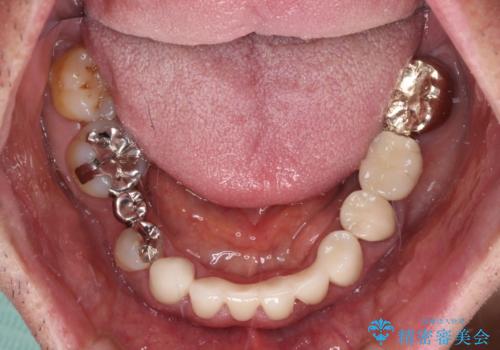
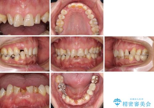
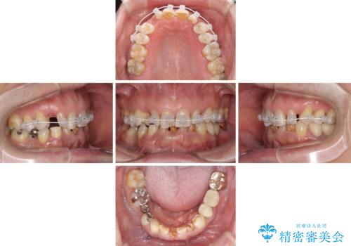
- 乳歯や矮小歯が多くある前歯部の審美障害が気にして来院された患者様です。
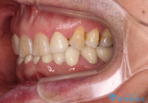
上顎の矮小歯は隙間が多く、歯軸の傾斜も大きかったため、部分矯正により補綴治療前に歯の位置を整えることとしました。
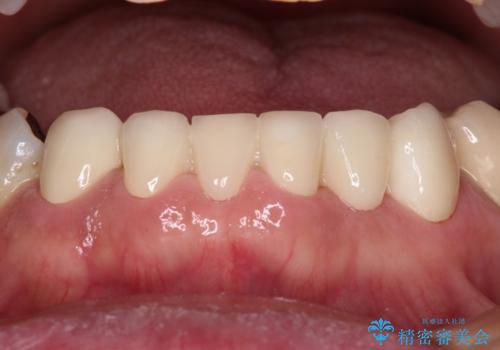
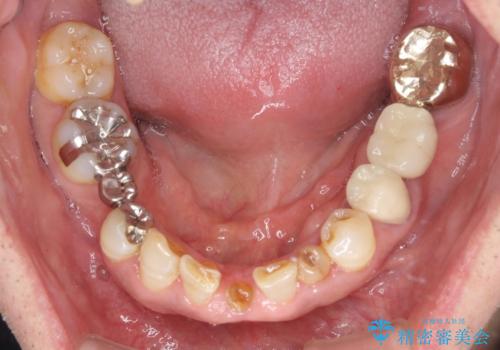
下顎の乳歯は支台歯として機能することは困難と思われたので、事前に抜歯をし、上顎の矯正治療終了のタイミングに合わせて、セラミックブリッジにて補綴治療することとしました。
- 費用(概算)
- 治療費の目安: 140万円(税込)費用は治療当時の料金となります
治療について
前歯部はディープバイトという、上顎前歯が下顎前歯に深く覆い被さる咬合であったので、理想的には全顎矯正が必要となりますが、今回は患者希望により前歯部のみの部分矯正で対応しました。そのため下顎犬歯の神経を取り除くことになってしまったのは心残りであります。
セラミック治療の注意事項(リスク・副作用など)
- 天然歯を削ります
- 硬い素材は天然歯を傷つけてしまう場合があります
- かみ合わせや歯ぎしりが強すぎる方はセラミックが割れてしまう可能性があります
- 自費診療(保険適用外治療)となります
ワイヤー矯正の注意事項(リスク・副作用など)
- 治療中は違和感や痛みが起こることがあります
- 症状により、抜歯が必要な場合があります
- 治療中は歯磨きがしにくくなるため、虫歯や歯周病になりやすくなります
- 矯正治療後の保定が不十分だと後戻り(元の位置に戻ろうとする動き)をします
- 自費診療(保険適用外)となります
当サイトの内容、テキスト、画像等の無断転載、複製、複写、盗用を固く禁じます。


























