症例詳細
Case detail
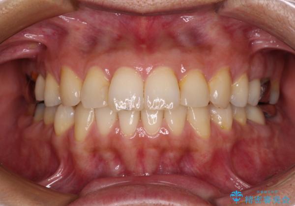
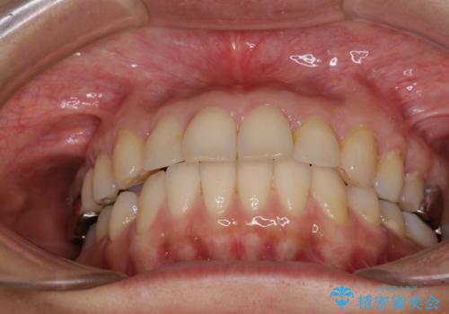
痛む奥歯と矯正の後戻り インビザライン・ライトとセラミック治療
治療症例の内容
- 担当医
- 藤巻太一朗(ドクタープロフィール)
- 患者様
- 30代女性
- 矯正装置
- インビザライン・ライト
- 治療期間
- 1年
- 治療回数
- 10-30回
- 治療計画
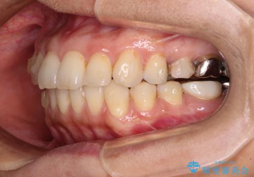
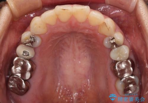
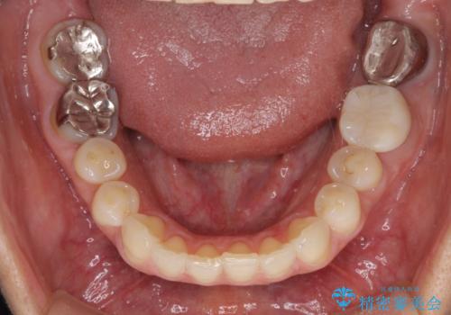
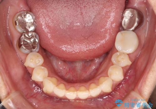
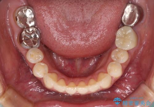
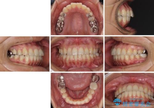
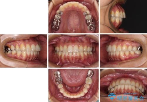
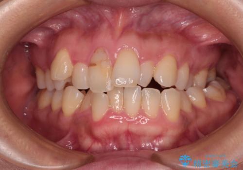
- 高校生の時に行った矯正治療の後戻りと、通院してもなかなか改善しない奥歯の痛みを気にして来院された患者様です。
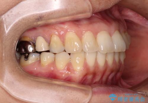
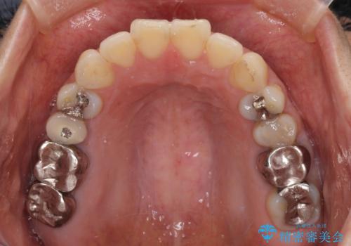
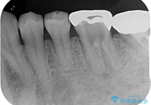
 左下奥歯は、前医より難治性なので抜歯も考えるよう言われたそうですが、一度もラバーダムを用いた根管治療はされていないとのことでした。
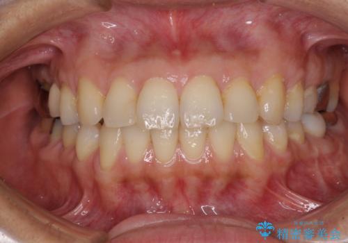
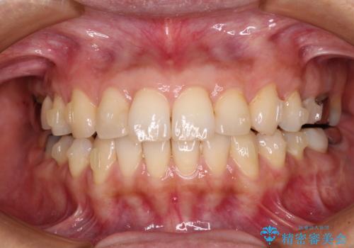
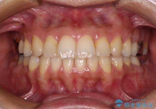
 まずは左下奥歯の根管治療を行い、痛みが引いたことを確認してから矯正治療を開始しました。
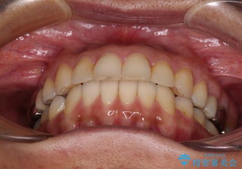
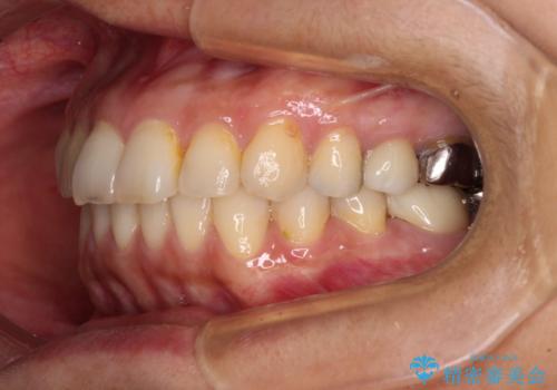
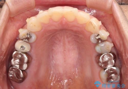
 後戻りは軽微であったため、インビザライン・ライトにて歯列を整えました。
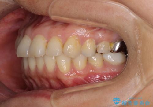
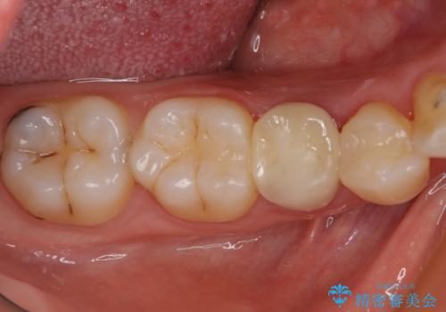
 矯正治療後には、左下奥歯の症状がないことを確認し、セラミッククラウンにて補綴治療を行うこととしました。
- 費用(概算)
- 治療費の目安: 100万円(税込)費用は治療当時の料金となります
治療について
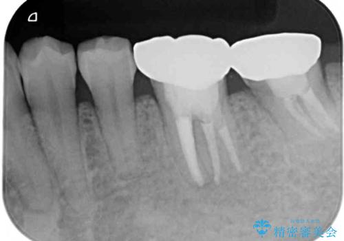
根管治療を行う上で、ラバーダム防湿は処置の中で最も重要な要素です。
矯正治療後のレントゲン写真では、根尖部に認められた病変(骨の溶けていた像)は消失していることが分かりました。
マウスピース矯正の注意事項(リスク・副作用など)
- 口腔内・歯並びの状態によっては対応できない場合があります
- マウスピース型矯正装置の長時間装着(1日20時間以上)が必須です
- 治療計画通りに進めるためには、患者様の意志が重要になります
- 矯正治療後の保定が不十分だと後戻り(元の位置に戻ろうとする動き)をします
- 薬機法対象外の矯正歯科装置のため医薬品副作用被害救済制度の対象外となる場合があります
- 自費診療(保険適用外)となります
セラミック治療の注意事項(リスク・副作用など)
- 天然歯を削ります
- 硬い素材は天然歯を傷つけてしまう場合があります
- かみ合わせや歯ぎしりが強すぎる方はセラミックが割れてしまう可能性があります
- 自費診療(保険適用外治療)となります
当サイトの内容、テキスト、画像等の無断転載、複製、複写、盗用を固く禁じます。








 
                       
                                                          




























 
                   
                   
                  