症例詳細
Case detail
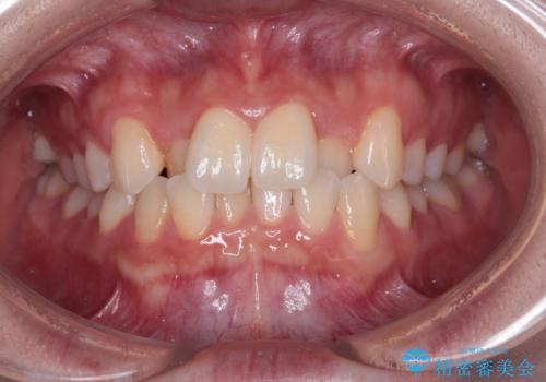
強い咬み込みですり減った前歯 デコボコを抜歯矯正で整える
治療症例の内容
- 担当医
- 藤巻太一朗(ドクタープロフィール)
- 患者様
- 30代男性
- 矯正装置
- 審美装置
- 治療期間
- 3年6ヶ月
- 治療回数
- 10-30回
- 治療計画
- 結婚式が近いとのことで、前歯のデコボコを改善したいと来院された患者様です。
口元の突出感はないものの、上顎前歯のデコボコが著しかったため、上顎左右第一小臼歯2本を抜歯することとしました。
結婚式前には目立つ部分の装置を一時的に外し、結婚式後に装着し直して治療を継続する予定としました。
- 費用(概算)
- 治療費の目安: 100万円(税込)費用は治療当時の料金となります
治療について
咬合力が非常に強く、抜歯したスペースがなかなか閉じないであろうことは予想できましたが、思っていた以上に期間がかかりました。
前歯のすり減りも著しかったため、仕上げの位置の調整にも期間を要しました。
ワイヤー矯正の注意事項(リスク・副作用など)
- 治療中は違和感や痛みが起こることがあります
- 症状により、抜歯が必要な場合があります
- 治療中は歯磨きがしにくくなるため、虫歯や歯周病になりやすくなります
- 矯正治療後の保定が不十分だと後戻り(元の位置に戻ろうとする動き)をします
- 自費診療(保険適用外)となります
当サイトの内容、テキスト、画像等の無断転載、複製、複写、盗用を固く禁じます。


























