症例詳細
Case detail
ワイヤー矯正とオールセラミックの組み合わせ治療
治療症例の内容
- 患者様
- 20代女性
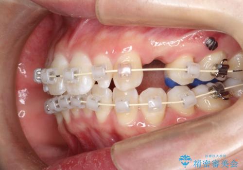
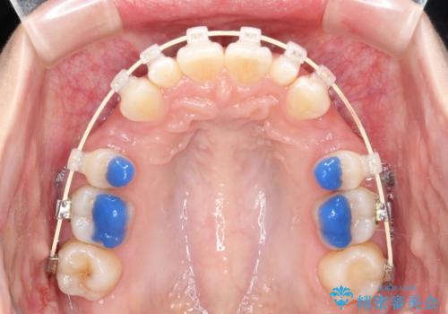
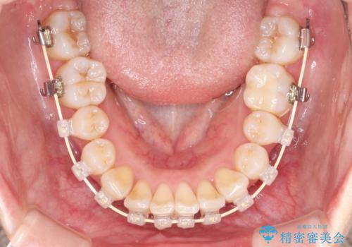
- 矯正装置
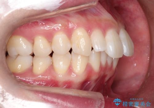
- 審美装置
- 治療期間
- 2年1ヶ月
- 治療回数
- 10-30回
- 治療計画
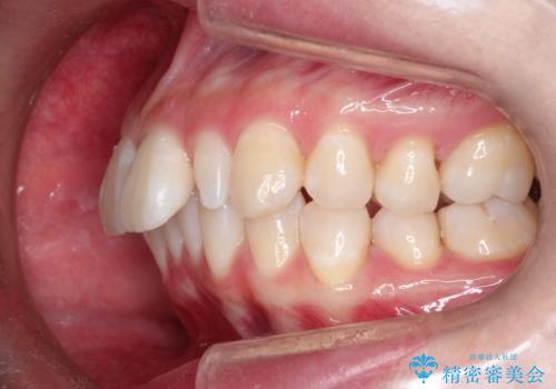
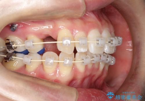
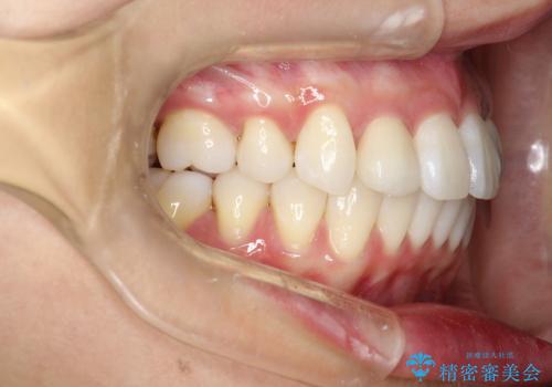
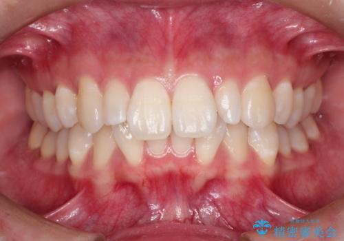
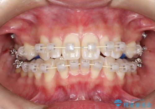
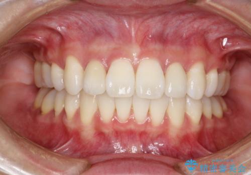
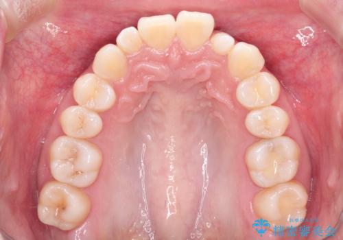
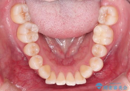
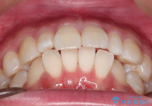
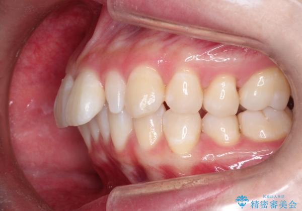
- 出っ歯と全体をきれいにしたいとのことで来院されました。
上顎の歯が全体的に前方に位置しているのと、前から2番目の歯が通常よりも小さい矮小歯という状態でした。
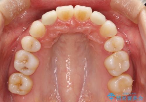
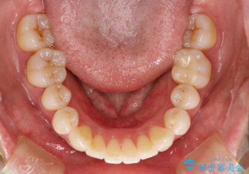
出っ歯をなおすために上顎の前から4番目の歯を抜歯して、引っ込めるのと、前から2番目の歯に通常の大きさのオールセラミックを装着して整った歯並びにすることにしました。
- 費用(概算)
- 約125万円費用は治療当時の料金となります
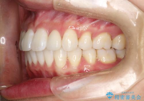
治療について
歯の大きさが通常と異なる場合は矯正治療で歯並びだけきれいにしても、整わないことがあります。
その場合はセラミックのかぶせ物を装着して歯の形を正常にすることで、さらに整った歯並びにすることができます。
セラミック治療の注意事項(リスク・副作用など)
- 天然歯を削ります
- 硬い素材は天然歯を傷つけてしまう場合があります
- かみ合わせや歯ぎしりが強すぎる方はセラミックが割れてしまう可能性があります
- 自費診療(保険適用外治療)となります
ワイヤー矯正の注意事項(リスク・副作用など)
- 治療中は違和感や痛みが起こることがあります
- 症状により、抜歯が必要な場合があります
- 治療中は歯磨きがしにくくなるため、虫歯や歯周病になりやすくなります
- 矯正治療後の保定が不十分だと後戻り(元の位置に戻ろうとする動き)をします
- 自費診療(保険適用外)となります
当サイトの内容、テキスト、画像等の無断転載、複製、複写、盗用を固く禁じます。



















