症例詳細
Case detail
短期間での治療 急速拡大装置を併用したワイヤー装置による矯正治療
治療症例の内容
- 患者様
- 20代女性
- 矯正装置
- 急速拡大装置・審美装置
- 治療期間
- 1年1ヶ月
- 治療回数
- 10-30回
- 治療計画
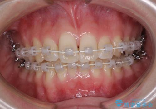
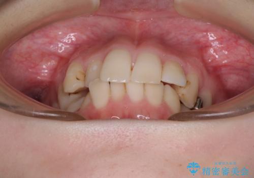
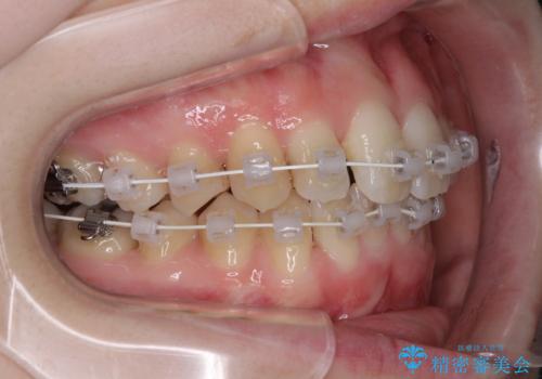
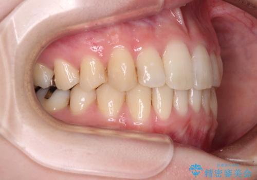
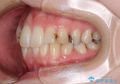
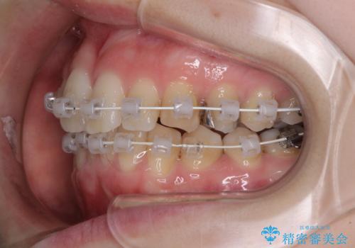
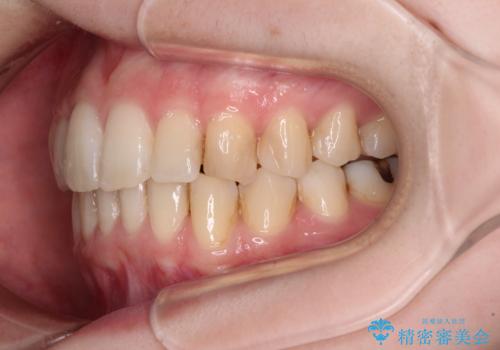
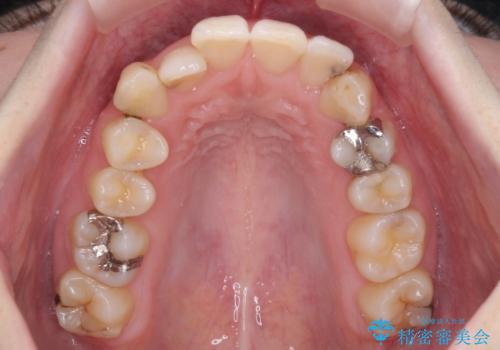
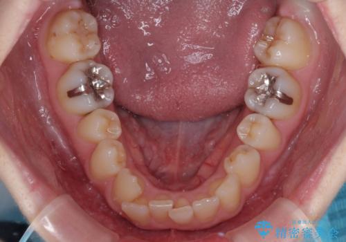
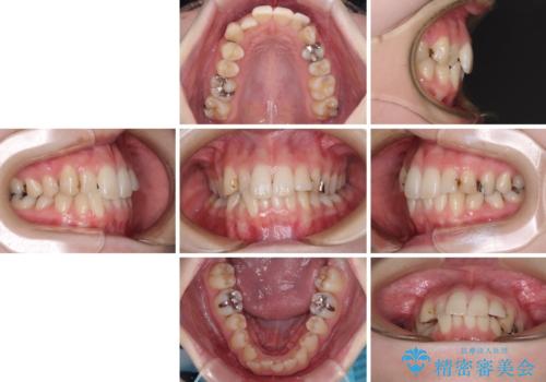
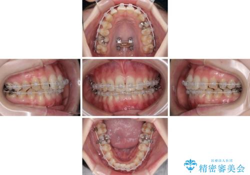
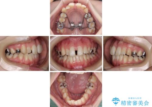
- 前歯のデコボコをクロスバイトを気にして来院された患者様です。
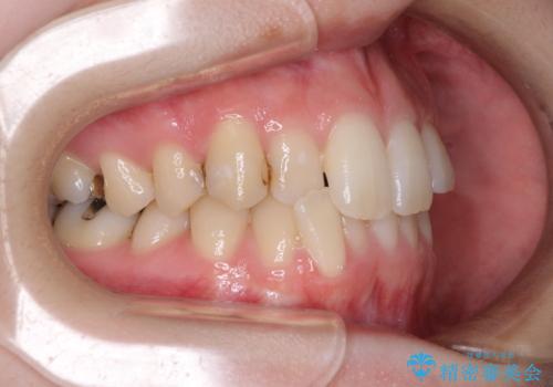
上顎骨の横幅が狭く、上下ともに内側に倒れ込んだ混み合った歯列となっていました。
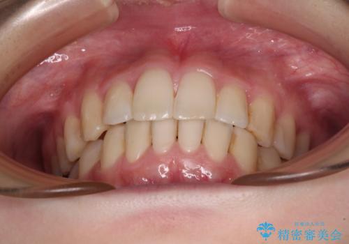
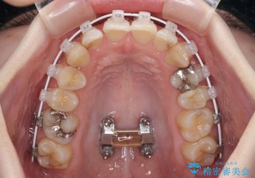
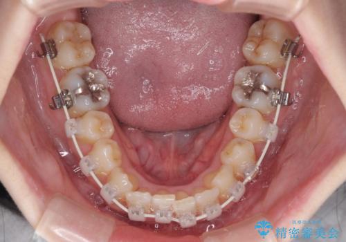
急速拡大装置により上顎骨を側方に拡大し、ワイヤー装置により歯列を整えることとしました。
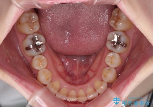
矯正治療後には、目立つ銀歯と隣接するむし歯をセラミックインレーにて修復治療することとしました。
- 費用(概算)
- 治療費の目安: 120万円(税込)費用は治療当時の料金となります
治療について
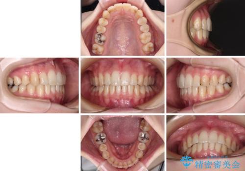
左右ともに奥歯の咬み合わせには大きな問題がなく、窮屈な歯列を解決すれば歯列を整えることできたため、僅か1年で終えることができました。
ワイヤー矯正の注意事項(リスク・副作用など)
- 治療中は違和感や痛みが起こることがあります
- 症状により、抜歯が必要な場合があります
- 治療中は歯磨きがしにくくなるため、虫歯や歯周病になりやすくなります
- 矯正治療後の保定が不十分だと後戻り(元の位置に戻ろうとする動き)をします
- 自費診療(保険適用外)となります
当サイトの内容、テキスト、画像等の無断転載、複製、複写、盗用を固く禁じます。





























