症例詳細
Case detail
痛む奥歯と見栄えの悪い前歯 オールセラミックによる補綴治療
治療症例の内容
- 担当医
- 藤巻太一朗(ドクタープロフィール)
- 患者様
- 50代女性
- 治療期間
- 6ヶ月
- 治療回数
- 2-5回
- 治療計画
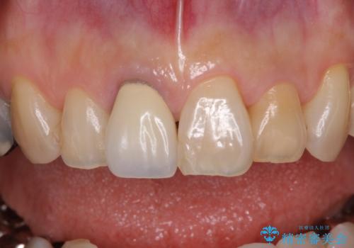
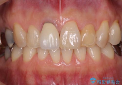
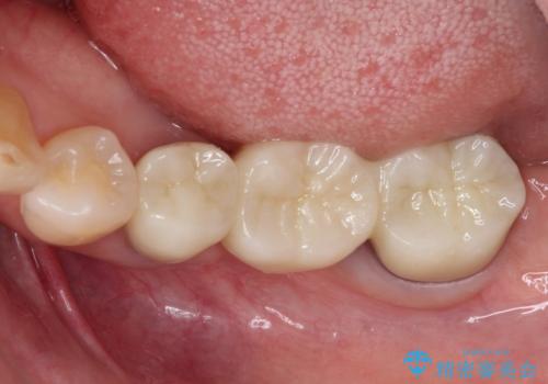
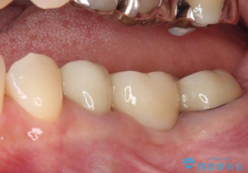
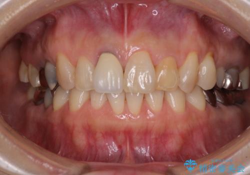
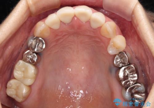
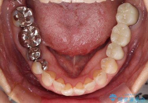
- 近医にて奥歯の抜歯が必要と言われたとのことで来院された患者様です。
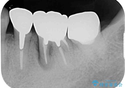
診断の結果、奥歯は歯根が破折しており、抜歯が必要な状況でした。
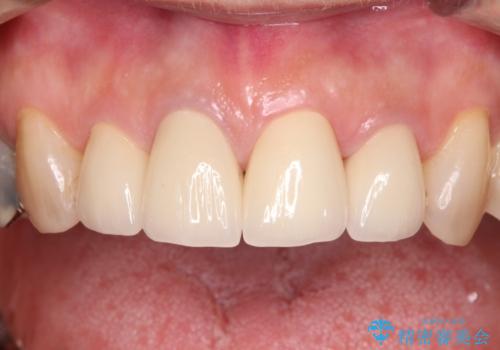
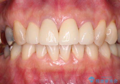
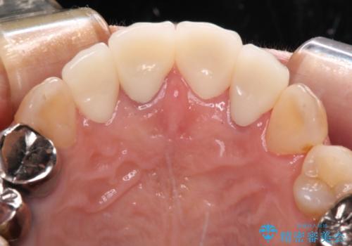
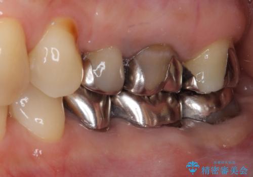
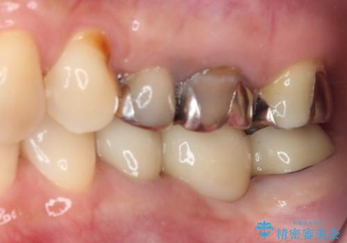
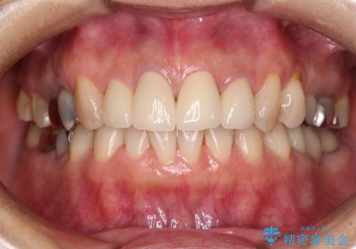
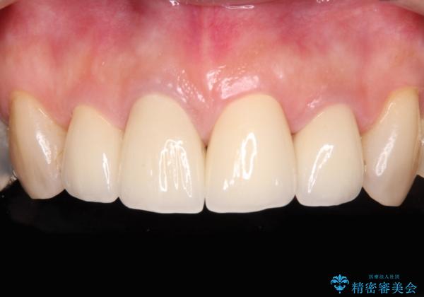
インプラントあるいはブリッジによる補綴治療が考えられましたが、前後の歯が大きな銀歯であったため、オールセラミックブリッジにより3本の歯を審美的に仕上げることとしました。
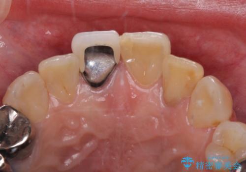
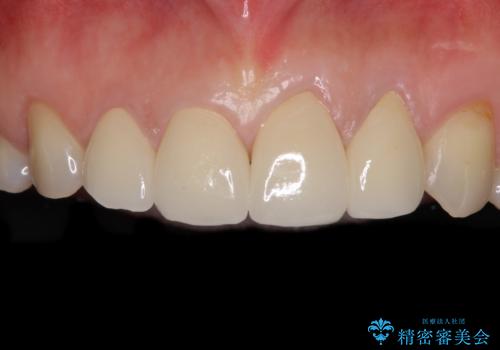
前歯は神経を取り除いて変色した歯や金属の縁が見える歯などがあり審美的に気になっていましたが、治療するかどうかは悩んでいらっしゃいました。
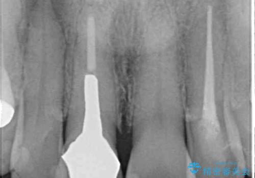
ところが、奥歯の治療を開始する前に、神経が失活して根尖部に病変のある前歯が著しく痛み出したため、根管治療を行うこととなりました。
奥歯の治療をしている間に前歯の治療をどのように勧めるのか検討していただき、最終的には4歯を一度に治療し、審美的に仕上げることとしました。
- 費用(概算)
- 治療費の目安: 90万円(税込)費用は治療当時の料金となります
治療について
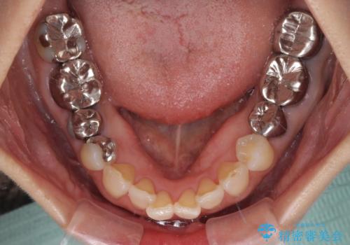
ブリッジの支台歯は2本とも神経を取り除いている歯であるため、咬合力の強い方ですと、支台歯も歯根破折をするリスクがあります。
今回はそれほど咬合力が強いとは思われなかったため、ブリッジによる補綴治療を行いましたが、念のため、就寝時にはナイトガードとしてマウスピースを装着するようお願いしました。
セラミック治療の注意事項(リスク・副作用など)
- 天然歯を削ります
- 硬い素材は天然歯を傷つけてしまう場合があります
- かみ合わせや歯ぎしりが強すぎる方はセラミックが割れてしまう可能性があります
- 自費診療(保険適用外治療)となります
当サイトの内容、テキスト、画像等の無断転載、複製、複写、盗用を固く禁じます。
























