症例詳細
Case detail
部分矯正とセラミッククラウンですきっ歯・矮小歯を効率的に治す
治療症例の内容
- 患者様
- 10代 女性
- 矯正装置
- マウスピース(インビザライン)
- 治療期間
- 4ヶ月
- 治療回数
- 10-30回
- 治療計画
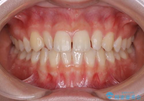
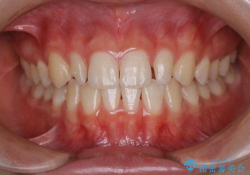
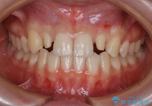
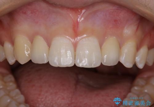
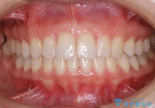
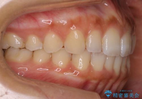
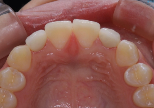
- 初診時、前歯部の見た目の改善を主訴にご来院されました。生まれつき歯が小さい状態の「矮小歯」とそれに伴う正中の「すきっ歯」があるため、大きなガタつきはないものの笑った時の印象に違和感が出る状態となっていました。
矮小歯が傾斜していることなどを踏まえ、より安全に治療を進めるために部分矯正を併用したセラミッククラウンでの治療を行うこととなりました。
- 費用(概算)
- 部分矯正30万円/オールセラミッククラウン20万円費用は治療当時の料金となります
矮小歯の補綴治療
前歯や小臼歯では、生えてくる歯が小さく審美的に影響が出る場合があります。このような歯を矮小歯(わいしょうし)と言います。
今回のケースでは、歯が小さいだけでなく傾斜もしていたため補綴治療時に歯を削ることで神経の症状が出る可能性がありました。そのため、事前に部分矯正を行い歯軸の改善を行っておくことで、歯髄を温存することができました。
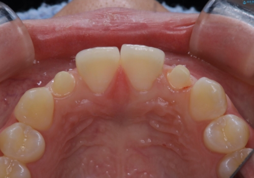
部分矯正
奥歯の噛み合わせに問題がなく、矯正で必要となる歯牙の移動量が軽微である場合に部分矯正が適用になる場合があります。
変える必要のない部分には手を出さず、必要な部分に最小限の処置を施すことで費用や期間の削減をすることが可能となります。
セラミック治療の注意事項(リスク・副作用など)
- 天然歯を削ります
- 硬い素材は天然歯を傷つけてしまう場合があります
- かみ合わせや歯ぎしりが強すぎる方はセラミックが割れてしまう可能性があります
- 自費診療(保険適用外治療)となります
マウスピース矯正の注意事項(リスク・副作用など)
- 口腔内・歯並びの状態によっては対応できない場合があります
- マウスピース型矯正装置の長時間装着(1日20時間以上)が必須です
- 治療計画通りに進めるためには、患者様の意志が重要になります
- 矯正治療後の保定が不十分だと後戻り(元の位置に戻ろうとする動き)をします
- 薬機法対象外の矯正歯科装置のため医薬品副作用被害救済制度の対象外となる場合があります
- 自費診療(保険適用外)となります
当サイトの内容、テキスト、画像等の無断転載、複製、複写、盗用を固く禁じます。











