症例詳細
Case detail
インビザラインによる矯正治療と、折れてしまった歯のインプラント補綴治療
治療症例の内容
- 患者様
- 30代男性
- 矯正装置
- インビザライン
- 治療期間
- 1年6ヶ月
- 治療回数
- 10-30回
- 治療計画
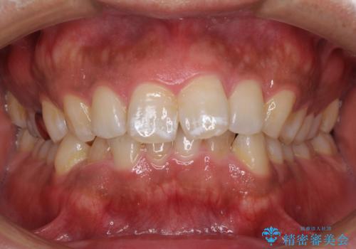
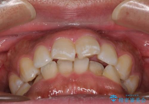
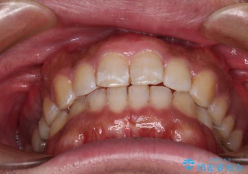
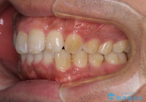
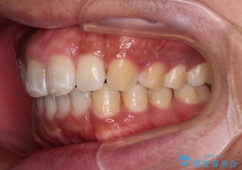
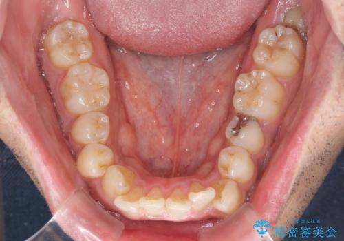
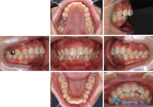
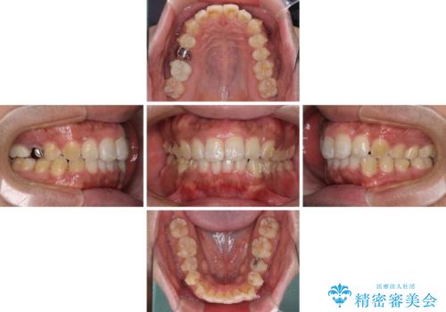
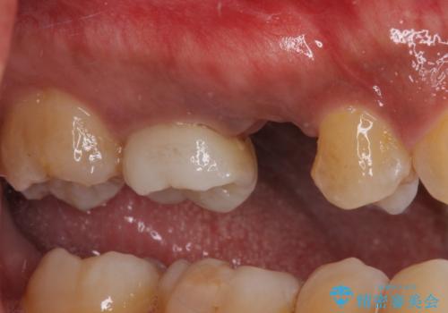
- 上下前歯部の叢生を気にして来院された患者様です。
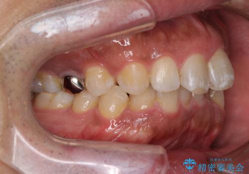
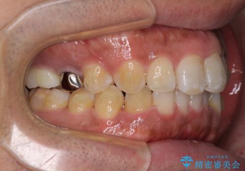
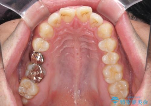
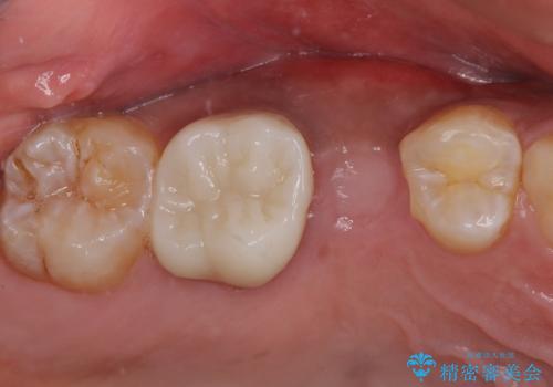
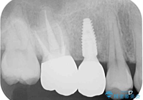
レントゲン撮影により、右上奥歯が折れていることが分かりました。
患者様自身も何となく違和感を覚えていたとのことで、インプラント補綴治療を行うこととしました。
歯列不正は比較的軽微であったので、インビザラインによる矯正治療とし、矯正治療中にタイミングを見て抜歯とインプラント埋入を行う予定としました。
- 費用(概算)
- 治療費の目安: 130万円(税込)費用は治療当時の料金となります
治療について
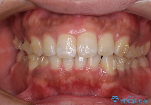
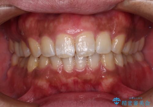
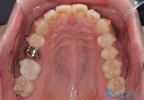
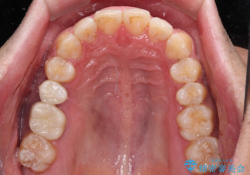
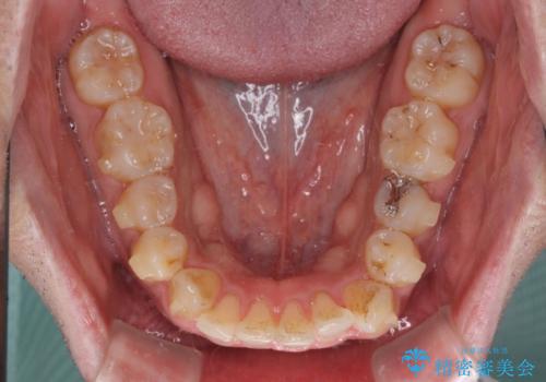
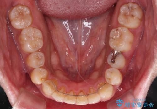
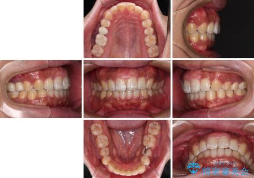
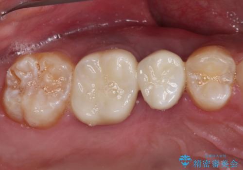
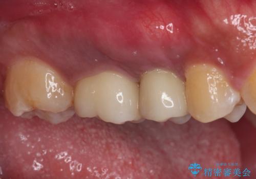
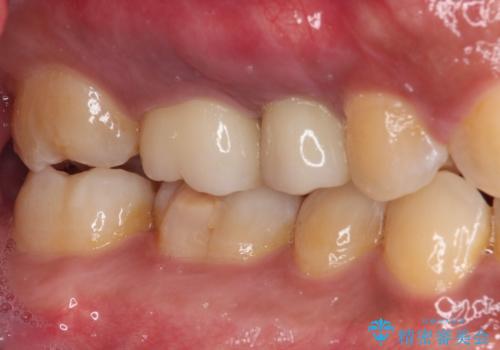
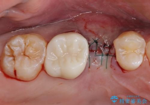
破折して抜歯が必要となった歯の後ろの歯は、根管治療が必要な状態であったので、根管治療を行い、矯正治療後にインプラント部の補綴治療と同時にセラミッククラウンを装着しました。
矯正治療以外に費用負担がかかることになりましたが、気になるところ全てを処置することができ、患者様には大変満足していただきました。
マウスピース矯正の注意事項(リスク・副作用など)
- 口腔内・歯並びの状態によっては対応できない場合があります
- マウスピース型矯正装置の長時間装着(1日20時間以上)が必須です
- 治療計画通りに進めるためには、患者様の意志が重要になります
- 矯正治療後の保定が不十分だと後戻り(元の位置に戻ろうとする動き)をします
- 薬機法対象外の矯正歯科装置のため医薬品副作用被害救済制度の対象外となる場合があります
- 自費診療(保険適用外)となります
インプラント治療の注意事項(リスク・副作用など)
- 外科手術のため、術後に痛みや腫れ、違和感を伴います
- メンテナンスを怠ったり喫煙により、お口の中に大きな悪影響を及ぼすインプラント周囲炎等にかかる可能性があります
- 糖尿病、肝硬変、心臓病等の場合、インプラント治療ができない可能性があります
- 高血圧、貧血・不整脈等の場合、インプラント治療後に治癒不全を招く可能性があります
- 自費診療(保険適用外治療)となります
セラミック治療の注意事項(リスク・副作用など)
- 天然歯を削ります
- 硬い素材は天然歯を傷つけてしまう場合があります
- かみ合わせや歯ぎしりが強すぎる方はセラミックが割れてしまう可能性があります
- 自費診療(保険適用外治療)となります
当サイトの内容、テキスト、画像等の無断転載、複製、複写、盗用を固く禁じます。





































