症例詳細
Case detail
テトラサイクリン歯をオールセラミッククラウンで審美的に
治療症例の内容
- 診療科目
- 治療カテゴリ
- 担当医
- 藤巻太一朗(ドクタープロフィール)
- 患者様
- 50代男性
- 治療期間
- 1ヶ月
- 治療回数
- 2-5回
- 治療計画
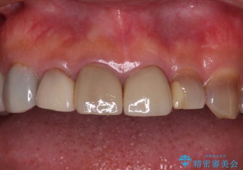
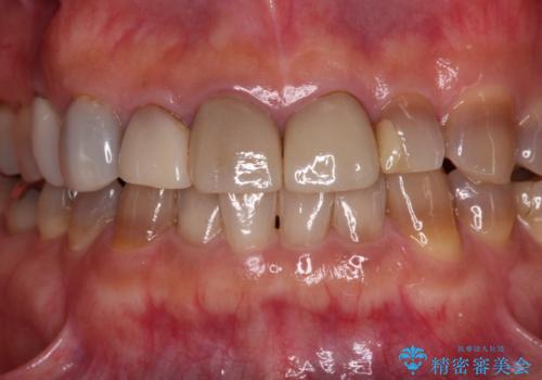
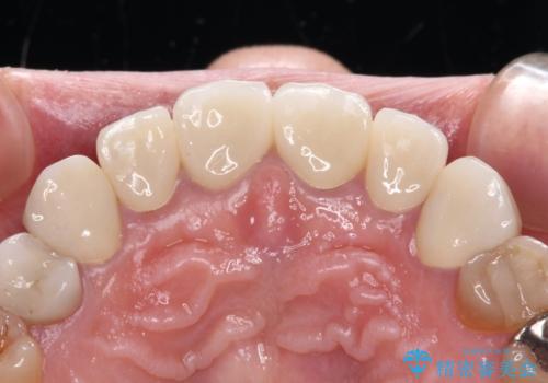
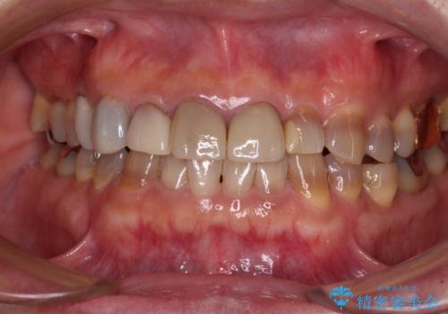
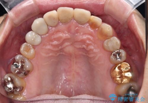
- 前歯のテトラサイクリンによる変色歯と、レジン充填の色の違いを気にして来院された患者様です。
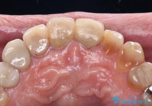
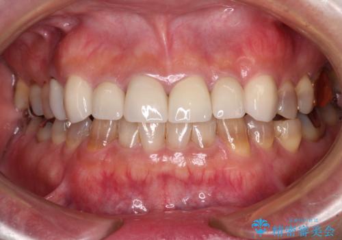
患者様の希望により、前歯6歯をオールセラミッククラウンにて補綴することとしました。
- 費用(概算)
- 治療費の目安: 75万円(税込)費用は治療当時の料金となります
治療について
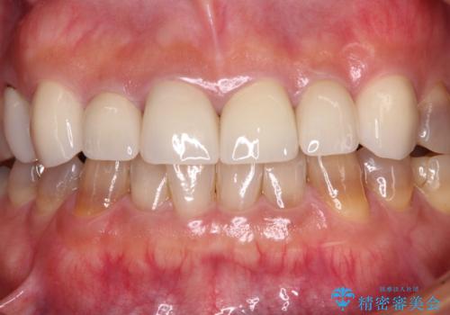
長年前歯の色の違いに悩んでいらっしゃったようですが、仮歯に変えた時点で統一感のある白さとなり喜んで頂きました。
わずか1ヶ月の間にとても自然な仕上がりのセラミッククラウンが装着され、患者様には大変満足していただきました。
セラミック治療の注意事項(リスク・副作用など)
- 天然歯を削ります
- 硬い素材は天然歯を傷つけてしまう場合があります
- かみ合わせや歯ぎしりが強すぎる方はセラミックが割れてしまう可能性があります
- 自費診療(保険適用外治療)となります
当サイトの内容、テキスト、画像等の無断転載、複製、複写、盗用を固く禁じます。














