症例詳細
Case detail
マウスピース矯正で前歯のガタつきを改善
治療症例の内容
- 担当医
- 大元洋佑(ドクタープロフィール)
- 患者様
- 20代女性
- 矯正装置
- インビザライン
- 治療期間
- 1年
- 治療回数
- 10-30回
- 治療計画
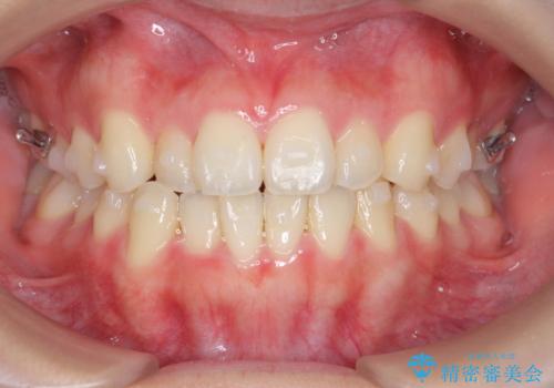
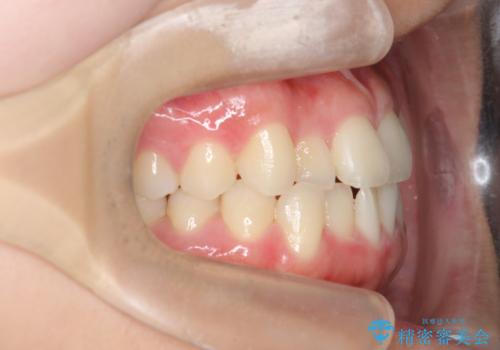
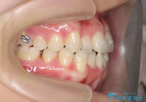
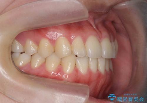
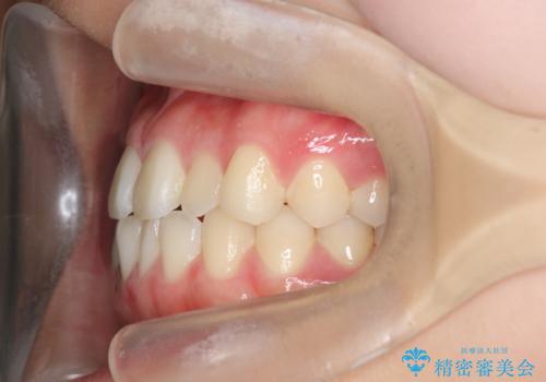
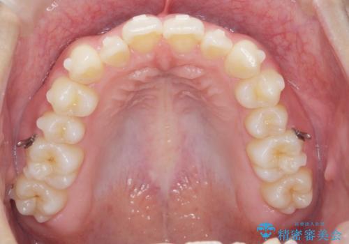
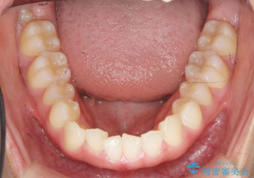
- 上下の前歯のガタつきの改善を求めて、矯正治療を希望され来院されました。
矯正検査の結果、マウスピース矯正システム インビザラインの適応であることからワイヤーを用いず矯正治療を進めることとしました。
- 費用(概算)
- 88万円費用は治療当時の料金となります
マウスピース治療について
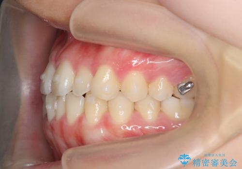
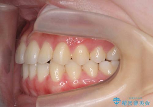
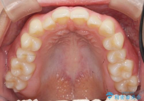
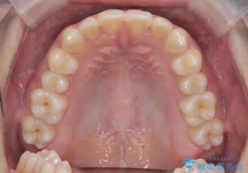
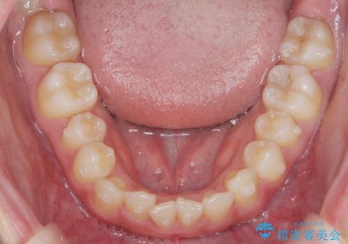
1日20時間以上の使用時間をきっちりと守っていただけたため、良好な治療結果、歯並びを手に入れることができました。
マウスピース矯正の注意事項(リスク・副作用など)
- 口腔内・歯並びの状態によっては対応できない場合があります
- マウスピース型矯正装置の長時間装着(1日20時間以上)が必須です
- 治療計画通りに進めるためには、患者様の意志が重要になります
- 矯正治療後の保定が不十分だと後戻り(元の位置に戻ろうとする動き)をします
- 薬機法対象外の矯正歯科装置のため医薬品副作用被害救済制度の対象外となる場合があります
- 自費診療(保険適用外)となります
当サイトの内容、テキスト、画像等の無断転載、複製、複写、盗用を固く禁じます。















