症例詳細
Case detail
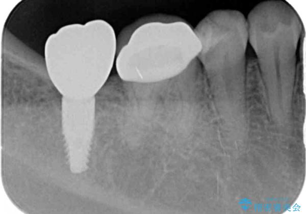
奥歯のインプラント治療
治療症例の内容
- 担当医
- 大元洋佑(ドクタープロフィール)
- 患者様
- 30代女性
- 治療期間
- 6ヶ月
- 治療回数
- 5-10回
- 治療計画
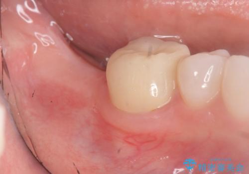
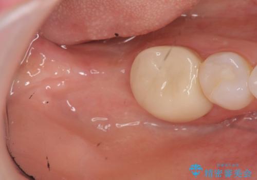
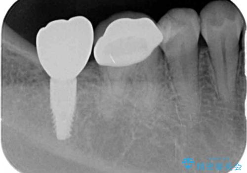
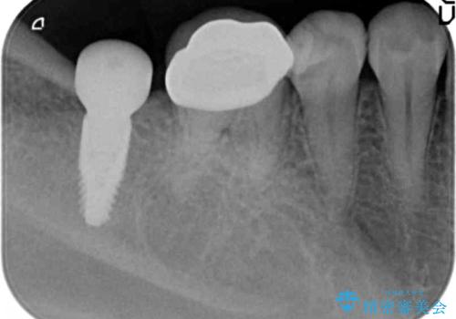
- 右下の奥歯を虫歯で喪失しそれ以来よく物が噛めず、改善を求めて来院されました。
入れ歯かインプラント治療のご提案を行い、よりしっかりとかめるインプラント治療を希望されました。
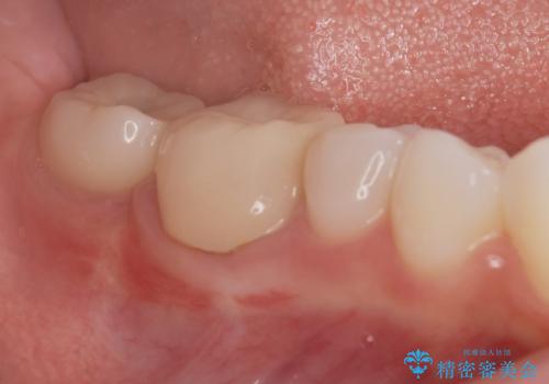
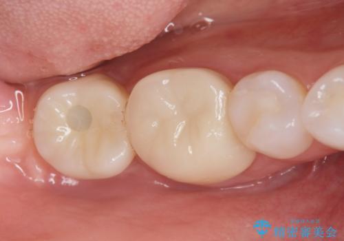
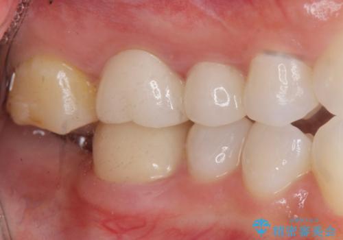
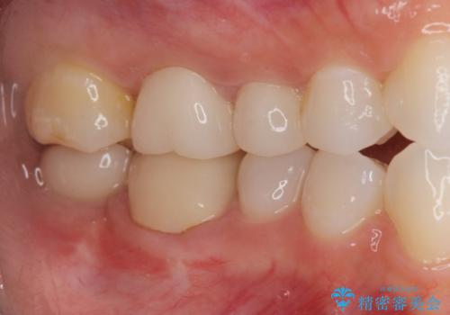
骨との結合する期間が早く、大きな咬合力にもしっかりと耐えることのできるストローマンインプラントを用いた咬合機能回復を計画します。
- 費用(概算)
- 44万円(ストローマンインプラント・チタンカスタムアバットメント・仮歯・フルジルコニアクラウン)費用は治療当時の料金となります
奥歯の欠損治療について
最後方の奥歯を失った場合ブリッジによる咬合機能回復が推奨されないので、インプラント・もしくは入れ歯による機能回復のご提案となります。
インプラント治療の注意事項(リスク・副作用など)
- 外科手術のため、術後に痛みや腫れ、違和感を伴います
- メンテナンスを怠ったり喫煙により、お口の中に大きな悪影響を及ぼすインプラント周囲炎等にかかる可能性があります
- 糖尿病、肝硬変、心臓病等の場合、インプラント治療ができない可能性があります
- 高血圧、貧血・不整脈等の場合、インプラント治療後に治癒不全を招く可能性があります
- 自費診療(保険適用外治療)となります
当サイトの内容、テキスト、画像等の無断転載、複製、複写、盗用を固く禁じます。
















