症例詳細
Case detail
受け口 絶対に顎の手術はしたくない
治療症例の内容
- 担当医
- 井上季実子(ドクタープロフィール)
- 患者様
- 30代男性
- 矯正装置
- 審美装置
- 治療期間
- 6年3ヶ月
- 治療回数
- 30回以上
- 治療計画
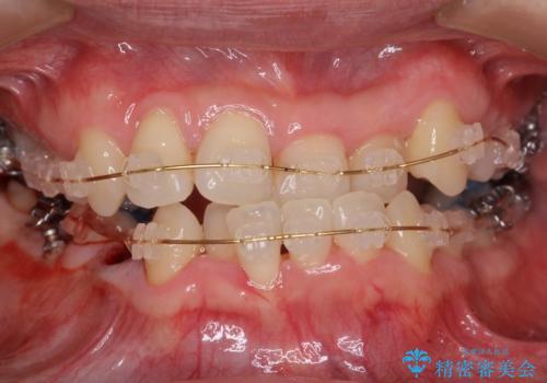
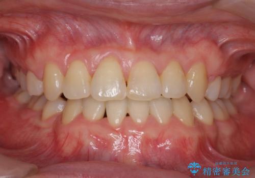
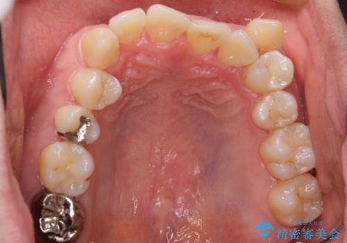
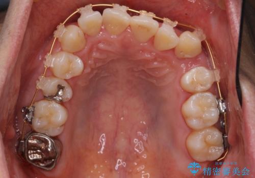
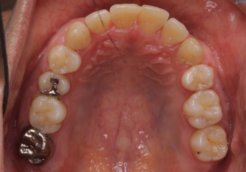
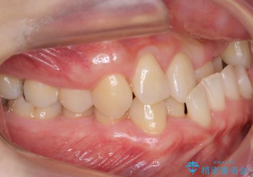
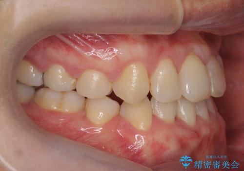
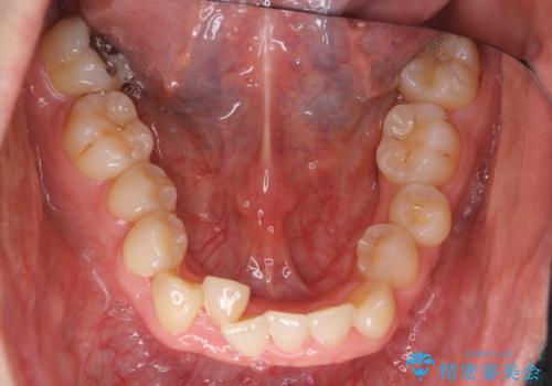
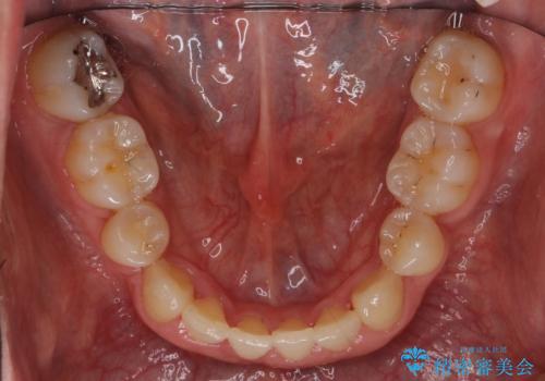
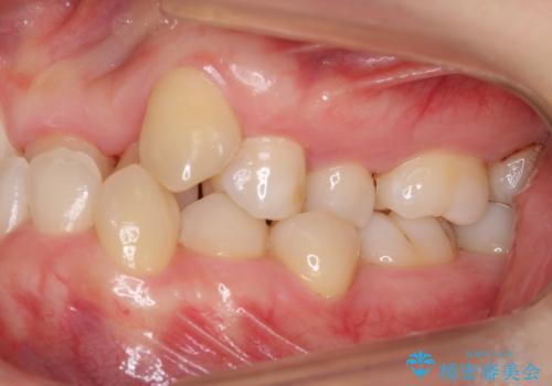
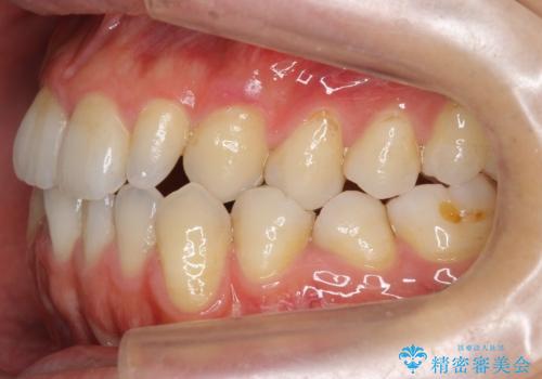
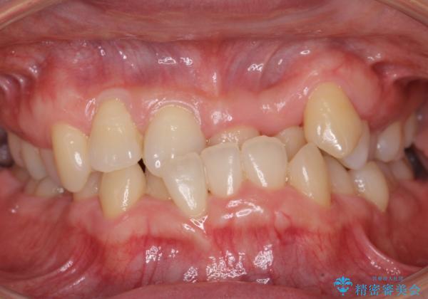
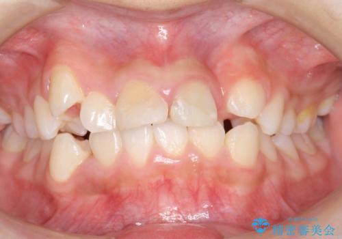
- 受け口を主訴に来院。
下あごが大きく、顎の手術を含めた矯正をおすすめしましたが、手術は怖いので絶対にしたくないとのことでした。
歯並びのみを治す矯正は難しく、長期にわたる治療になるとご説明しました。
- 費用(概算)
- 150万円費用は治療当時の料金となります
治療について
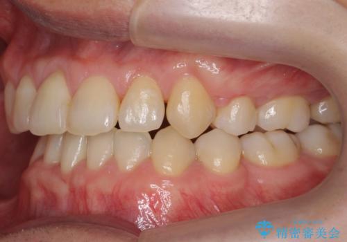
かみしめもあり、骨も固く、歯根も長いためなかなか歯が動かず、患者様も治療する側も忍耐を要する長期戦となりました。
ワイヤー矯正の注意事項(リスク・副作用など)
- 治療中は違和感や痛みが起こることがあります
- 症状により、抜歯が必要な場合があります
- 治療中は歯磨きがしにくくなるため、虫歯や歯周病になりやすくなります
- 矯正治療後の保定が不十分だと後戻り(元の位置に戻ろうとする動き)をします
- 自費診療(保険適用外)となります
当サイトの内容、テキスト、画像等の無断転載、複製、複写、盗用を固く禁じます。















