症例詳細
Case detail
前歯が反対になっている マウスピース矯正+奥歯ブリッジ
- 患者様
- 30代女性
- 治療期間
- 1年11ヶ月
- 治療回数
- 10-30回
- 治療計画
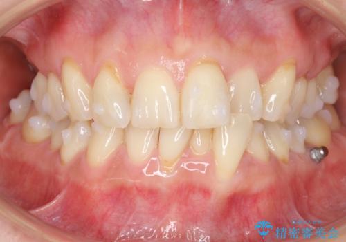
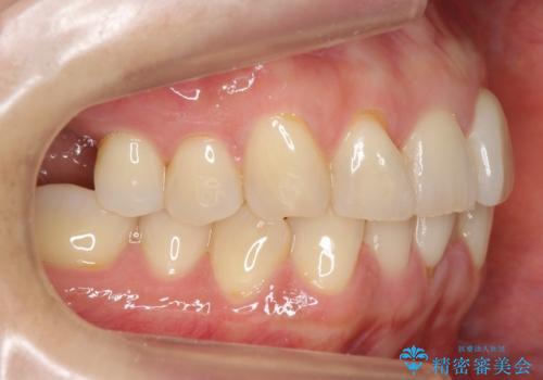
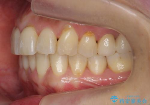
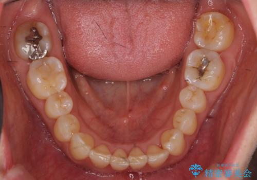
- 前歯のがたつきを主訴に来院。
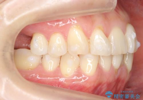
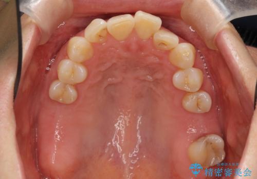
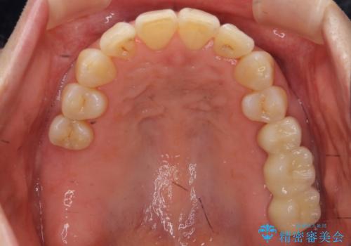
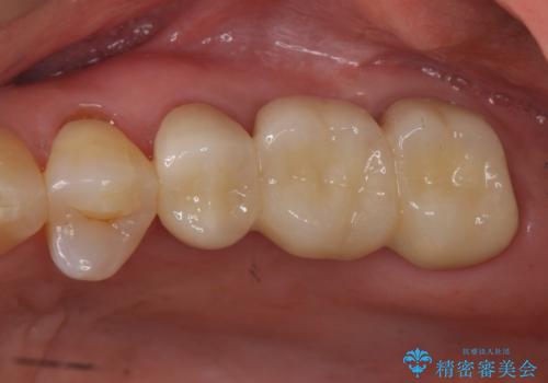
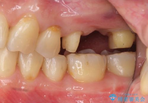
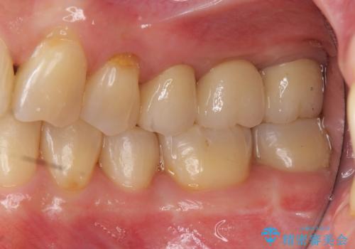
奥歯も少なく、左上奥歯はブリッジにすることになりました。
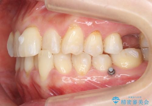
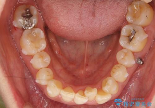
左下の前歯を中に入れるスペースを確保する目的で左下の奥歯を後ろ移動させました。
また、左下の小臼歯の捻転はマウスピースで治りにくいため、
事前にワイヤーによる部分矯正を行い、矯正用ミニスクリューを植立しています。
- 費用(概算)
- 140.8万円(矯正治療:104.5万円、奥歯ブリッジ:36.3万円[ジルコニアクラウン10万円x3 仮歯x1万円x3])費用は治療当時の料金となります
治療について
右上大臼歯2本の欠損については、インプラント治療をお勧めしましたが、ご希望によりそのままとなりました。
セラミック治療の注意事項(リスク・副作用など)
- 天然歯を削ります
- 硬い素材は天然歯を傷つけてしまう場合があります
- かみ合わせや歯ぎしりが強すぎる方はセラミックが割れてしまう可能性があります
- 自費診療(保険適用外治療)となります
マウスピース矯正の注意事項(リスク・副作用など)
- 口腔内・歯並びの状態によっては対応できない場合があります
- マウスピース型矯正装置の長時間装着(1日20時間以上)が必須です
- 治療計画通りに進めるためには、患者様の意志が重要になります
- 矯正治療後の保定が不十分だと後戻り(元の位置に戻ろうとする動き)をします
- 薬機法対象外の矯正歯科装置のため医薬品副作用被害救済制度の対象外となる場合があります
- 自費診療(保険適用外)となります
当サイトの内容、テキスト、画像等の無断転載、複製、複写、盗用を固く禁じます。
























