症例詳細
Case detail
再矯正、後戻りを治したい、マウスピース矯正
治療症例の内容
- 担当医
- 吉﨑ゆりな(ドクタープロフィール)
- 患者様
- 30代男性
- 矯正装置
- マウスピース
- 治療期間
- 1年6ヶ月
- 治療回数
- 10-30回
- 治療計画
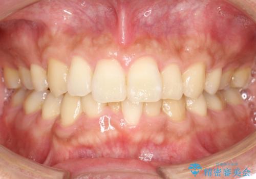
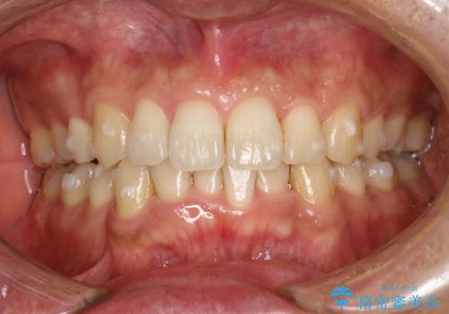
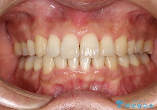
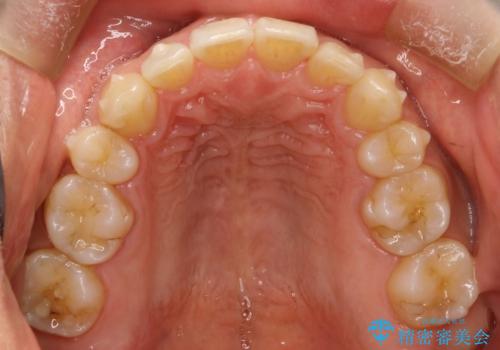
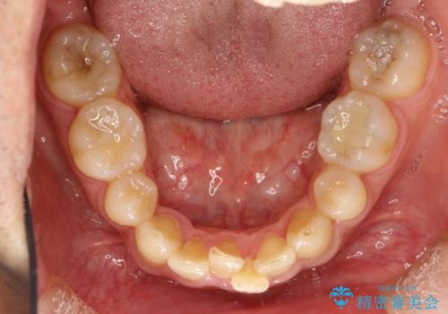
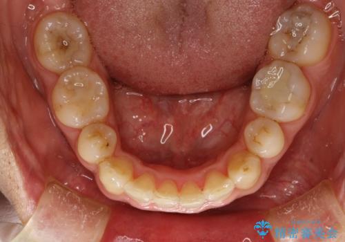
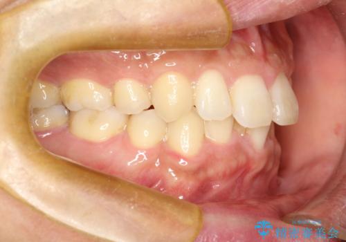
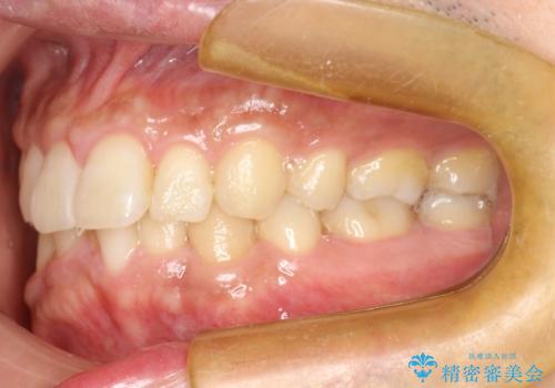
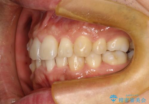
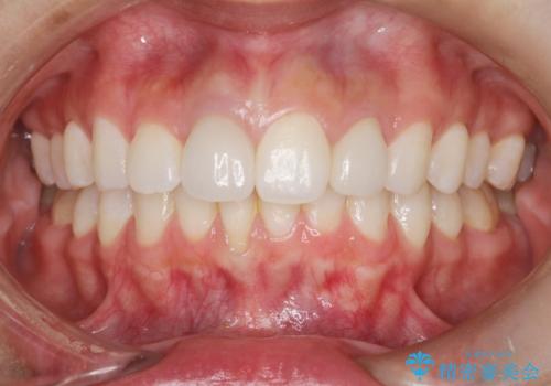
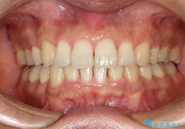
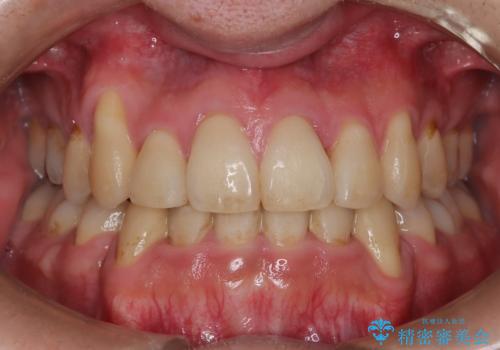
- 以前、上下左右4本抜いてワイヤー矯正をしていた方で、後戻りで下の前歯のガタガタを気にして来院されました。
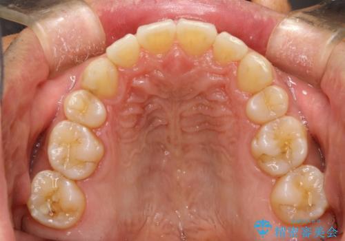
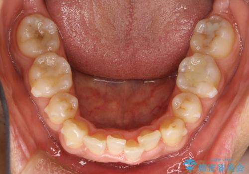
マウスピース矯正にて、下の歯はIPR(歯と歯の間を削る)を入れることでガタガタの改善、咬み合わせの深さも改善をはかる治療計画をたてました。
- 費用(概算)
- 75万円費用は治療当時の料金となります
治療について
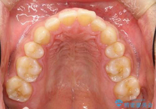
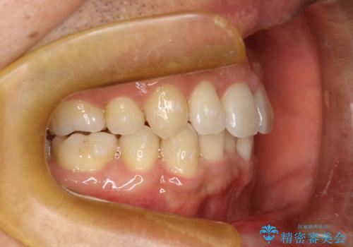
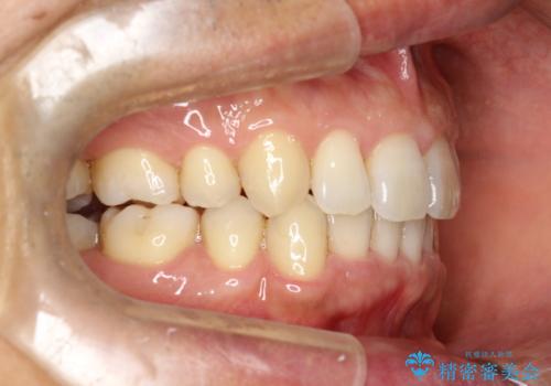
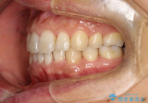
歯と歯の間を削って隙間を作って矯正をしています。
保定装置(後戻り防止のための装置)は、基本的にはマウスピースタイプをお渡ししているのですが、患者様のご希望で取り外ししないタイプを希望されたので、前歯の裏側を細いワイヤーで固定(ボンディングリテーナー)を作成しています。
マウスピース矯正の注意事項(リスク・副作用など)
- 口腔内・歯並びの状態によっては対応できない場合があります
- マウスピース型矯正装置の長時間装着(1日20時間以上)が必須です
- 治療計画通りに進めるためには、患者様の意志が重要になります
- 矯正治療後の保定が不十分だと後戻り(元の位置に戻ろうとする動き)をします
- 薬機法対象外の矯正歯科装置のため医薬品副作用被害救済制度の対象外となる場合があります
- 自費診療(保険適用外)となります
当サイトの内容、テキスト、画像等の無断転載、複製、複写、盗用を固く禁じます。

























