症例詳細
Case detail
喫煙を再開してインプラント周囲炎に リカバリー治療 50代男性
- 患者様
 - 50代男性
 
- 治療期間
 - 3年
 
- 治療回数
 - 10-30回
 
- 治療計画
 - 歯がないまま放置しており咬めないことを主訴に来院された患者様です。
仕事が忙しくなかなか自分のことに気が回らなかったそうですが、どんどん歯が抜け落ちて「もう限界だ!」と思い受診を決断したとのことでした。
精査したところ、全顎的な重度の歯周病により上顎前歯はすべて欠損していました。
禁煙指導と歯周病治療後、インプラント治療を行うことにしました。
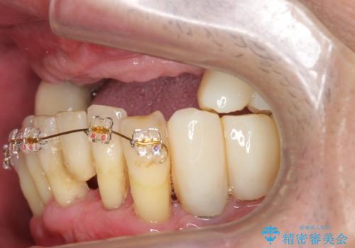
咬合関係がⅢ級(受け口)のため唇側に骨増生を行ったのちインプラント埋入(右上31左上3)を行いました。
治療途中で患者様が喫煙を再開され、最もタバコの影響を受けやすい上顎前歯部(右上31)インプラント周囲の骨吸収と少量の排膿を認めました。
長期的予後不良と判断した右上3フィクスチャーを除去し、人工骨による骨増生及び右上2に埋入を行いました。
保存可能な右上1のフィクスチャーは粘膜下にスリープさせ、左上2の埋入を行いました。
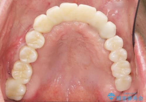
当初は上顎③2①12③ブリッジの予定でしたが、リカバリー手術後上顎3②11②③ブリッジによる補綴を行いました。
 
- 費用(概算)
 - ¥1,738,000 (骨増生、インプラント×3本、リカバリー手術、アバットメント×3本、仮歯×6本、クラウン×6本) ※税込費用は治療当時の料金となります
 
治療について
リカバリー手術により無事に治療が終わりご安心頂けました。
再開してしまった喫煙をやめて頂いたおかげで経過は順調ですが、定期健診の際には禁煙の確認と注意喚起をさせて頂く予定です。
当院のインプラントは保証期間を設けておりますが、喫煙や生活習慣病(高血圧、糖尿病など)・過度のアルコール摂取など条件に当てはまる場合は保証の対象外となることがあります。
喫煙が原因のインプラント周囲炎によるリカバリー手術や再埋入は別途費用がかかる可能性があります。
インプラント治療を受ける場合は禁煙を徹底されることをおすすめします。
インプラントの種類:スプラインツイスト(HAコーティング)
固定様式:セメント固定
クラウンの種類:ベレッツァクラウン
※右下大臼歯部の治療に関してはこちらです。→https://seimitsushinbi.jp/case/71884/
※右下小臼歯部の治療に関してはこちらです。→https://seimitsushinbi.jp/case/71907/
※左下臼歯部の治療に関してはこちらです。→https://seimitsushinbi.jp/case/72027/
※右上臼歯部の治療に関してはこちらです。→https://seimitsushinbi.jp/case/72046/
※下顎前歯部の治療に関してはこちらです。→https://seimitsushinbi.jp/case/72063/
※左上臼歯部の治療に関してはこちらです。→https://seimitsushinbi.jp/case/72337/
インプラント治療の注意事項(リスク・副作用など)
- 外科手術のため、術後に痛みや腫れ、違和感を伴います
 - メンテナンスを怠ったり喫煙により、お口の中に大きな悪影響を及ぼすインプラント周囲炎等にかかる可能性があります
 - 糖尿病、肝硬変、心臓病等の場合、インプラント治療ができない可能性があります
 - 高血圧、貧血・不整脈等の場合、インプラント治療後に治癒不全を招く可能性があります
 - 自費診療(保険適用外治療)となります
 
外科処置の注意事項(リスク・副作用など)
- 外科手術のため、術後に出血、痛みや腫れ、違和感を伴います
 - 口腔内の状態によっては適応できないことがあります
 
セラミック治療の注意事項(リスク・副作用など)
- 天然歯を削ります
 - 硬い素材は天然歯を傷つけてしまう場合があります
 - かみ合わせや歯ぎしりが強すぎる方はセラミックが割れてしまう可能性があります
 - 自費診療(保険適用外治療)となります
 
当サイトの内容、テキスト、画像等の無断転載、複製、複写、盗用を固く禁じます。

                      
                                                          
























