症例詳細
Case detail
小矯正を伴う臼歯部ブリッジ治療
治療症例の内容
- 担当医
- 大元洋佑(ドクタープロフィール)
- 患者様
- 50代女性
- 治療期間
- 6ヶ月
- 治療回数
- 2-5回
- 治療計画
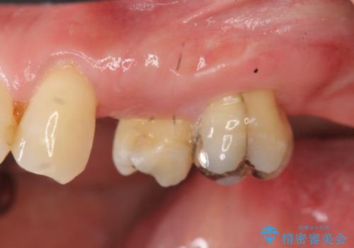
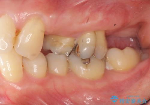
- 左上の歯の喪失し噛みにくいことの改善、歯を入れたいと希望され来院されました。
インプラント治療を行うには隙間が狭すぎるためブリッジか入れ歯をご提案したところ、取り外しの必要な入れ歯は希望されずブリッジを用いて機能・審美性の改善を行っていくこととなりました。
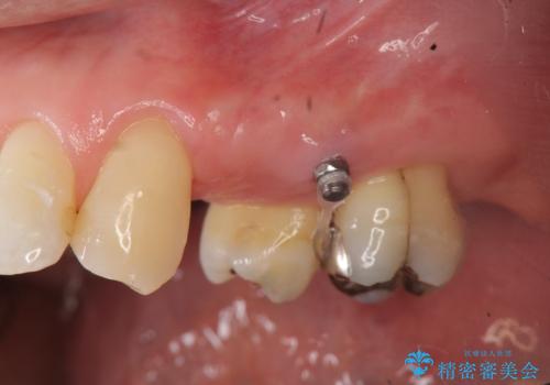
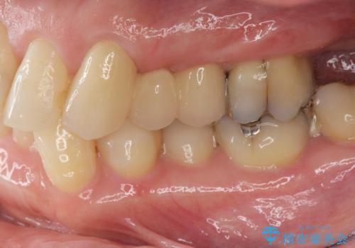
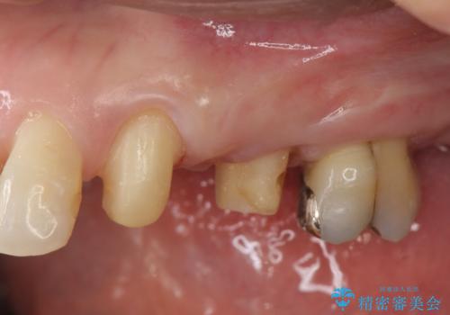
ブリッジの長期的な予後のためには支台となる歯の位置・清掃性が重要となりますが、今回ブリッジを製作するにあたり位置の悪い左上小臼歯を補綴前小矯正を行い位置を改善します。
- 費用(概算)
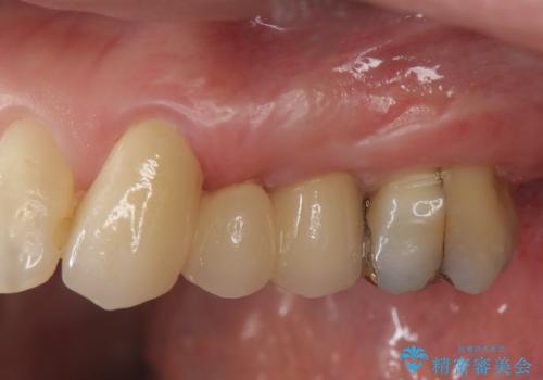
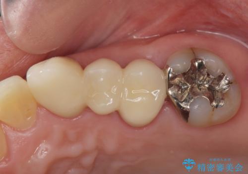
- 47.3万円(仮歯・ジルコニアクラウン×3 ・ 小矯正)費用は治療当時の料金となります
補綴前小矯正について
矯正を行うことで歯を適切な位置に動かすことでより、清掃性に優れ長期的な予後を見込むことのできるブリッジを製作することができました。
セラミック治療の注意事項(リスク・副作用など)
- 天然歯を削ります
- 硬い素材は天然歯を傷つけてしまう場合があります
- かみ合わせや歯ぎしりが強すぎる方はセラミックが割れてしまう可能性があります
- 自費診療(保険適用外治療)となります
ワイヤー矯正の注意事項(リスク・副作用など)
- 治療中は違和感や痛みが起こることがあります
- 症状により、抜歯が必要な場合があります
- 治療中は歯磨きがしにくくなるため、虫歯や歯周病になりやすくなります
- 矯正治療後の保定が不十分だと後戻り(元の位置に戻ろうとする動き)をします
- 自費診療(保険適用外)となります
当サイトの内容、テキスト、画像等の無断転載、複製、複写、盗用を固く禁じます。
















