症例詳細
Case detail
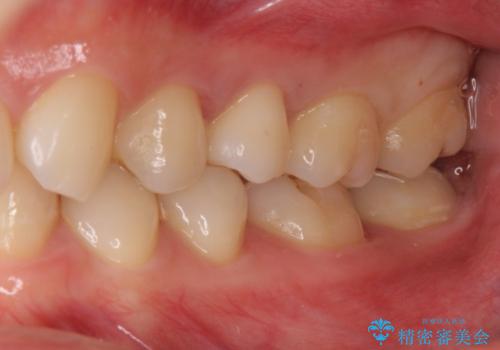
奥歯の虫歯 歯の間を広げてセラミックでしっかり治療
治療症例の内容
- 担当医
- 井上季実子(ドクタープロフィール)
- 患者様
- 20代女性
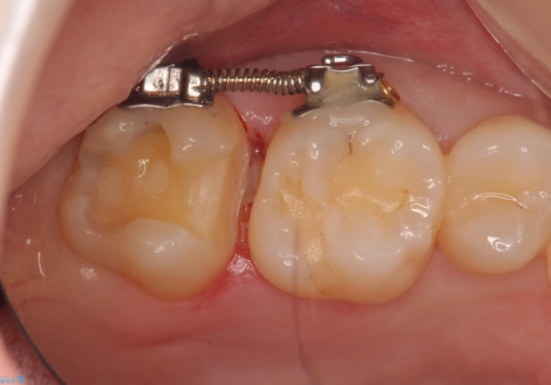
- 矯正装置
- メタル装置
- 治療期間
- 1ヶ月
- 治療回数
- 2-5回
- 治療計画
- マウスピース矯正治療に先立って、虫歯が見つかったため治療を行いました。
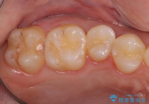
奥歯の虫歯治療でしたが、プラスチック周りと、歯と歯の間が大きな虫歯になっていました。
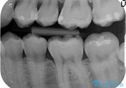
インレーでの修復予定でしたが、歯と歯の間が狭く、正確な型取りが難しい状態でした。
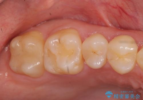
そこで、部分矯正を行い、歯の間を広げてしっかりした歯型を取りました。
広げた期間は2週間ほどです。
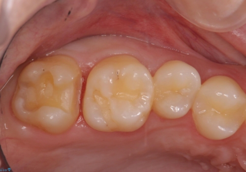
広げた後は歯が接するように修復するため、物が詰まることはありません。
- 費用(概算)
- セラミックインレー:77,000万円、部分矯正:サービス(全体矯正を契約したため)費用は治療当時の料金となります
治療について
全体矯正をする前の虫歯チェックで見つかった虫歯です。
当院は矯正治療、虫歯治療を総合的に行い、対応することが可能です。これは、どちらか専門で偏った病院には難しいクオリティの治療だと思います。
総合的なお悩みをお持ちの方はぜひ一度初診相談にお越しください。
セラミック治療の注意事項(リスク・副作用など)
- 天然歯を削ります
- 硬い素材は天然歯を傷つけてしまう場合があります
- かみ合わせや歯ぎしりが強すぎる方はセラミックが割れてしまう可能性があります
- 自費診療(保険適用外治療)となります
ワイヤー矯正の注意事項(リスク・副作用など)
- 治療中は違和感や痛みが起こることがあります
- 症状により、抜歯が必要な場合があります
- 治療中は歯磨きがしにくくなるため、虫歯や歯周病になりやすくなります
- 矯正治療後の保定が不十分だと後戻り(元の位置に戻ろうとする動き)をします
- 自費診療(保険適用外)となります
当サイトの内容、テキスト、画像等の無断転載、複製、複写、盗用を固く禁じます。













