症例詳細
Case detail
老朽化した前歯のクラウンやりかえ
治療症例の内容
- 診療科目
- 治療カテゴリ
- 担当医
- 大元洋佑(ドクタープロフィール)
- 患者様
- 40代男性
- 治療期間
- 1ヶ月
- 治療回数
- 2-5回
- 治療計画
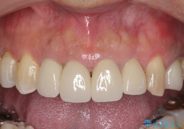
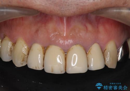
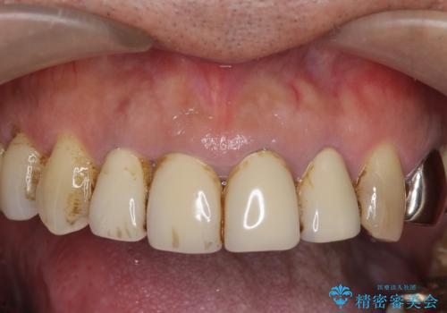
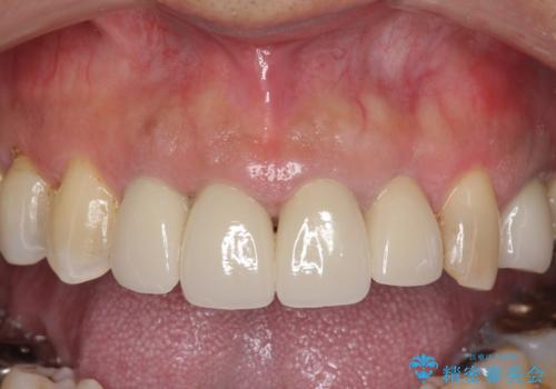
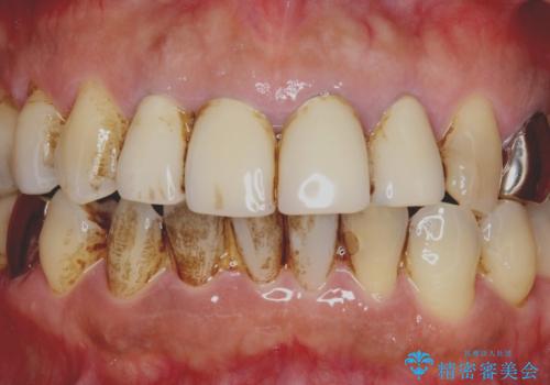
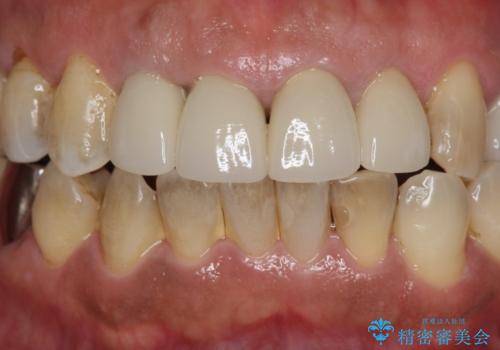
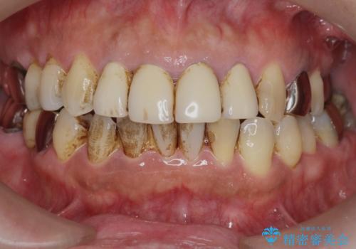
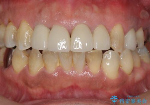
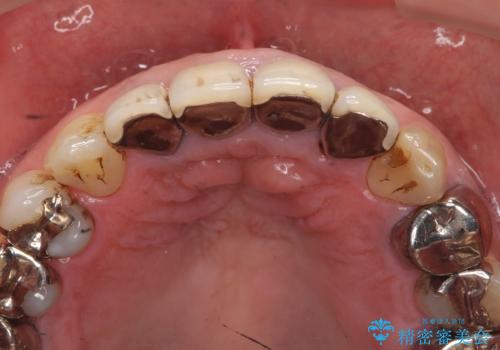
- 10数年前に治療した上顎前歯のクラウンをやり替え、審美性を回復したいと希望され来院されました。
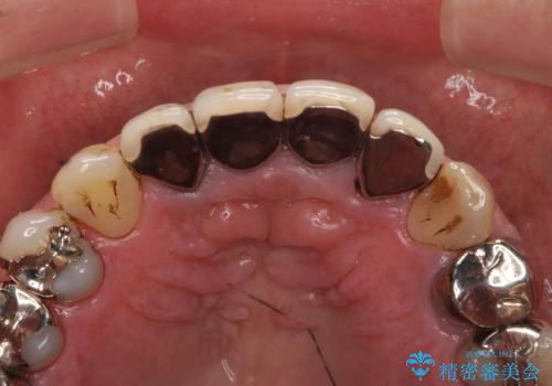
 X線写真より問題のなかった根管治療は行わず、クラウンを除去し仮歯でを装着したのちジルコニアクラウンを製作していきます。
 
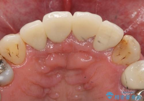
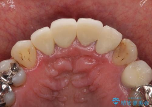
 茶しぶの目立つ下顎前歯はPMTCを行うことで歯の自然な白さを回復しました。
- 費用(概算)
- 48.4万円(税込)(仮歯・ジルコニアクラウン×4)費用は治療当時の料金となります
失活歯の治療について
神経をすでに取られている歯の治療を行う場合、コアを除去したのちの再根管治療を行う場合とクラウンのみやり替えする場合、状況に応じて適切な治療をご提案いたします。
セラミック治療の注意事項(リスク・副作用など)
- 天然歯を削ります
- 硬い素材は天然歯を傷つけてしまう場合があります
- かみ合わせや歯ぎしりが強すぎる方はセラミックが割れてしまう可能性があります
- 自費診療(保険適用外治療)となります
当サイトの内容、テキスト、画像等の無断転載、複製、複写、盗用を固く禁じます。








 
                       
                                                          













![[ 前歯に見られた吸収像 ]セラミックブリッジ製作](https://seimitsushinbi.jp/wp/wp-content/uploads/2020/09/a22b9d669c3756974403dd1d2d7ebe48-500x350.jpg?v=1600565236) 
                   
                   
                  