症例詳細
Case detail
著しい叢生と顎骨のズレ ワイヤー装置による抜歯矯正
治療症例の内容
- 担当医
- 藤巻太一朗(ドクタープロフィール)
- 患者様
- 20代女性
- 矯正装置
- 審美装置
- 治療期間
- 3年1ヶ月
- 治療回数
- 10-30回
- 治療計画
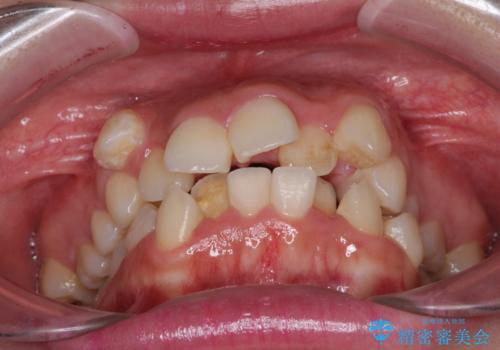
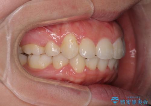
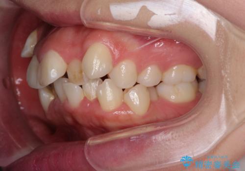
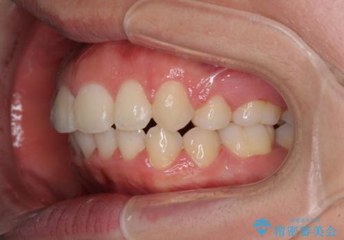
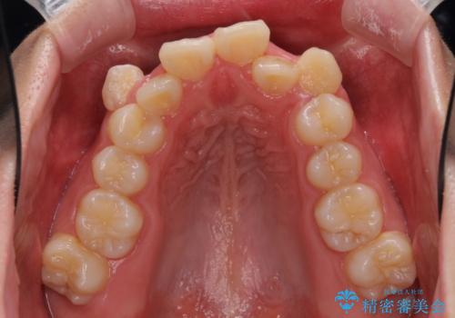
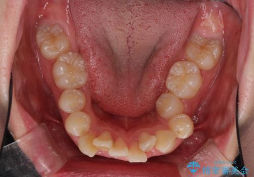
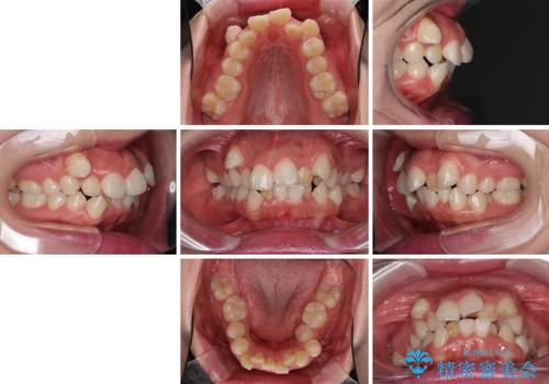
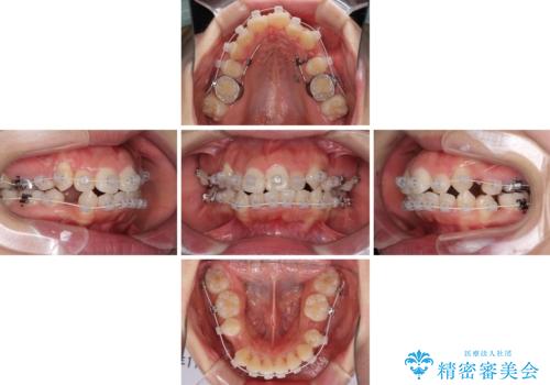
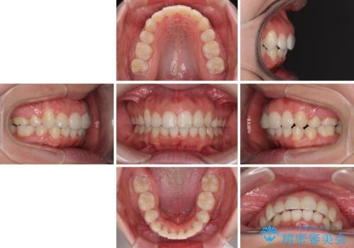
- 前歯の著しい叢生や八重歯を気にして来院された患者様です。
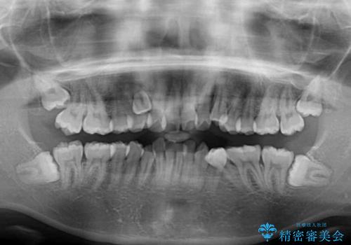
上下の顎がずれており、上下の正中は歯1本分の差がありました。
上下左右の小臼歯4本を抜歯し、極力正中を合わせるように矯正治療を始めていくこととしました。
- 費用(概算)
- 治療費の目安: 105万円費用は治療当時の料金となります
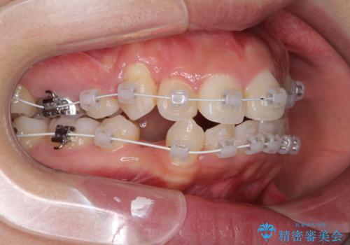
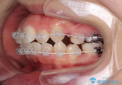
治療について
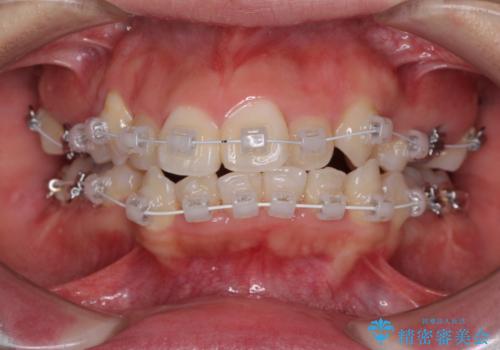
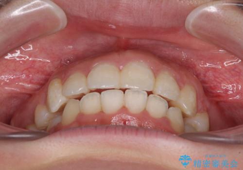
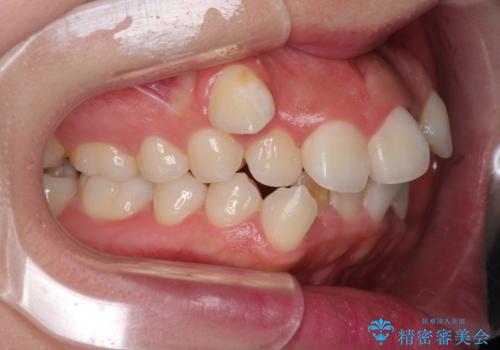
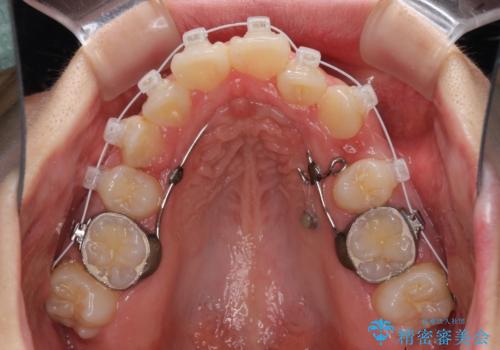
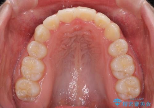
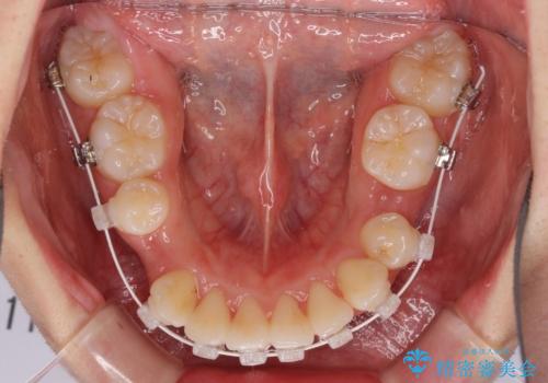
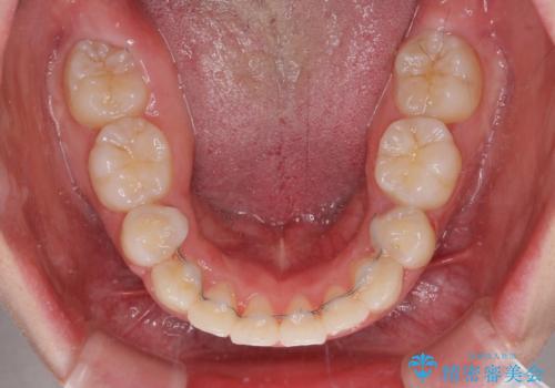
咬み合わせの乱れが著しく、治療途中で一部反対咬合となってしまいました。
アンカーなどをうまく使用して、3年の期間を要してきれいに仕上げることができました。
ワイヤー矯正の注意事項(リスク・副作用など)
- 治療中は違和感や痛みが起こることがあります
- 症状により、抜歯が必要な場合があります
- 治療中は歯磨きがしにくくなるため、虫歯や歯周病になりやすくなります
- 矯正治療後の保定が不十分だと後戻り(元の位置に戻ろうとする動き)をします
- 自費診療(保険適用外)となります
当サイトの内容、テキスト、画像等の無断転載、複製、複写、盗用を固く禁じます。


























